Suppr超能文献

低氧预处理钴染骨髓间充质干细胞增强细胞迁移能力并提高治疗缺血性急性肾损伤的疗效。

Hypoxic preconditioning with cobalt of bone marrow mesenchymal stem cells improves cell migration and enhances therapy for treatment of ischemic acute kidney injury.

机构信息

Department of Nephrology, Zhongshan Hospital, Shanghai Medical College, Fudan University, Shanghai, China.

出版信息

PLoS One. 2013 May 9;8(5):e62703. doi: 10.1371/journal.pone.0062703. Print 2013.

Abstract

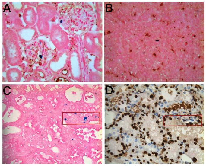
Mesenchymal stem cell (MSC) administration is known to enhance the recovery of the kidney following injury. Here we tested the potential of hypoxic-preconditioned-MSC transplantation to enhance the efficacy of cell therapy on acute kidney injury (AKI) by improving MSC migration to the injured kidney. Cobalt was used as hypoxia mimetic preconditioning (HMP). MSC were subjected to HMP through 24 h culture in 200 µmol/L cobalt. Compared to normoxia cultured MSC (NP-MSC), HMP significantly increased the expression of HIF-1α and CXCR4 in MSC and enhanced the migration of MSC in vitro. This effect was lost when MSC were treated with siRNA targeting HIF-1α or CXCR4 antagonist. SPIO labeled MSC were administered to rats with I/R injury followed immediately by magnetic resonance imaging. Imaging clearly showed that HMP-MSC exhibited greater migration and a longer retention time in the ischemic kidney than NP-MSC. Histological evaluation showed more HMP-MSC in the glomerular capillaries of ischemic kidneys than in the kidneys receiving NP-MSC. Occasional tubules showed iron labeling in the HMP group, while no tubules had iron labeling in NP group, indicating the possibility of tubular transdifferentiation after HMP. These results were also confirmed by fluorescence microscopy study using CM-DiI labeling. The increased recruitment of HMP-MSC was associated with reduced kidney injury and enhanced functional recovery. This effect was also related to the increased paracrine action by HMP-MSC. Thus we suggest that by enhancing MSC migration and prolonging kidney retention, hypoxic preconditioning of MSC may be a useful approach for developing AKI cell therapy.

摘要

间充质干细胞(MSC)的移植可以促进受损肾脏的恢复。在这里,我们通过改善 MSC 向受损肾脏的迁移来测试缺氧预处理 MSC 移植增强细胞疗法对急性肾损伤(AKI)疗效的潜力。钴被用作缺氧模拟预处理(HMP)。MSC 在 200µmol/L 钴中培养 24 小时,使其经历 HMP。与常氧培养的 MSC(NP-MSC)相比,HMP 显著增加了 MSC 中 HIF-1α 和 CXCR4 的表达,并增强了 MSC 的体外迁移。当 MSC 用靶向 HIF-1α 或 CXCR4 拮抗剂的 siRNA 处理时,这种作用消失了。将 SPIO 标记的 MSC 给予 I/R 损伤的大鼠,然后立即进行磁共振成像。成像清楚地表明,HMP-MSC 在缺血肾脏中的迁移能力更强,保留时间更长。组织学评估显示,HMP 组缺血肾脏的肾小球毛细血管中有更多的 HMP-MSC,而接受 NP-MSC 的肾脏中则没有。HMP 组偶尔有肾小管出现铁标记,而 NP 组则没有肾小管出现铁标记,这表明 HMP 后可能发生了肾小管转分化。使用 CM-DiI 标记的荧光显微镜研究也证实了这一点。HMP-MSC 的募集增加与肾脏损伤减少和功能恢复增强有关。这种作用也与 HMP-MSC 的旁分泌作用增加有关。因此,我们认为通过增强 MSC 的迁移并延长肾脏的保留时间,MSC 的缺氧预处理可能是开发 AKI 细胞疗法的一种有用方法。

https://cdn.ncbi.nlm.nih.gov/pmc/blobs/72e9/3650042/b2bcea70ab3b/pone.0062703.g001.jpg

文献AI研究员

20分钟写一篇综述,助力文献阅读效率提升50倍。

立即体验

用中文搜PubMed

大模型驱动的PubMed中文搜索引擎

马上搜索

文档翻译

学术文献翻译模型,支持多种主流文档格式。

立即体验