Corsair Alexander
Private Practice, Rockville Centre, NY, USA.
Clin Cosmet Investig Dent. 2009 Jun 18;1:35-8. Print 2009.
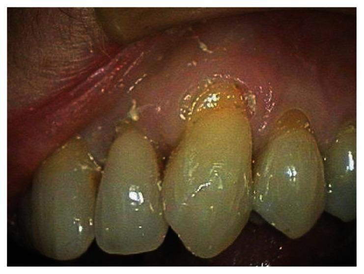
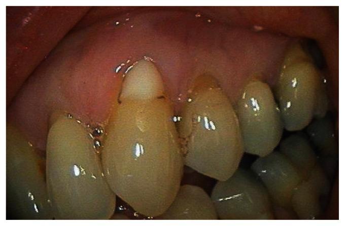
This case report describes the treatment of a maxillary canine that had 4 mm of marginal gingival recession. The exposed root had been previously restored with a composite class 5 restoration. The restoration was removed and the root planed and demineralized. The root was then covered by a subepithelial connective tissue graft harvested from the palate. The flap was coronally positioned to completely cover the graft and exposed root. The healing was photographed post-operatively at one month, six months, and seven years. Root coverage increased to 100% after seven years. The zone of attached gingiva also increased.