Suppr超能文献

1型(欧洲基因型)和2型(北美基因型)猪繁殖与呼吸综合征病毒在感染公猪中的比较发病机制

Comparative pathogenesis of type 1 (European genotype) and type 2 (North American genotype) porcine reproductive and respiratory syndrome virus in infected boar.

作者信息

Han Kiwon, Seo Hwi Won, Park Changhoon, Oh Yeonsu, Kang Ikjae, Chae Chanhee

出版信息

Virol J. 2013 May 21;10:156. doi: 10.1186/1743-422X-10-156.

Abstract

BACKGROUND

Porcine reproductive and respiratory syndrome virus (PRRSV) now has two main genotypes, genotype 1 (European) and genotype 2 (North American). There is a lack of data on the comparison of pathogenicity of the two genotypes in boars. The objectives of the present study were to evaluate the amount of PRRSV present in semen over time and compare the viral distribution and microscopic lesions of type 1 and type 2 PRRSV-infected boars.

METHODS

Twenty-four 8-month-old PRRSV-naïve Duroc boars were randomly allocated to 3 treatment groups. The boars in groups 1 (n = 9) and 2 (n = 9) were intranasally inoculated with type 1 or type 2 PRRSV, respectively. The boars in groups 1 (n = 6) served as negative controls. Semen and blood samples were collected up to 35 days post-inoculation (dpi), and necropsies were performed on 14, 21, and 35 dpi.

RESULTS

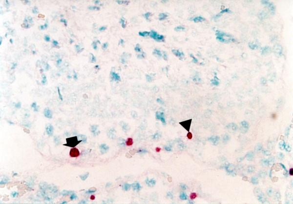
There were no significant differences in the genomic copy number of PRRSV, microscopic testicular lesion score, number of PRRSV-positive germ cells, or number of apoptotic cells between the type 1 and type 2 PRRSV-infected boars throughout the experiment. Histopathological changes were manifested by the desquamation of spermatocytes and the presence of multinucleated giant cells in seminiferous tubules of both type 1 and type 2 PRRSV-infected boars. The distribution of PRRSV-positive cells was focal; the virus was found in single germ cells or small clusters of germ cells, localized to the spermatogonia, spermatocytes, spermatids, and non-sperm cells in type 1 and type 2 PRRSV-infected boars.

CONCLUSIONS

The results of this study demonstrated that two genotypes of PRRSV do not have significantly different virulence toward the male reproductive system of pigs.

摘要

背景

猪繁殖与呼吸综合征病毒(PRRSV)目前有两种主要基因型,即1型(欧洲型)和2型(北美型)。关于这两种基因型在公猪中的致病性比较的数据较少。本研究的目的是评估精液中PRRSV随时间的存在量,并比较1型和2型PRRSV感染公猪的病毒分布及微观病变。

方法

将24头8月龄未感染PRRSV的杜洛克公猪随机分为3个处理组。第1组(n = 9)和第2组(n = 9)的公猪分别经鼻接种1型或2型PRRSV。第1组中的6头公猪(n = 6)作为阴性对照。在接种后35天内收集精液和血液样本,并在接种后14、21和35天进行尸检。

结果

在整个实验过程中,1型和2型PRRSV感染公猪在PRRSV基因组拷贝数、睾丸微观病变评分、PRRSV阳性生殖细胞数量或凋亡细胞数量方面均无显著差异。组织病理学变化表现为1型和2型PRRSV感染公猪的生精细胞脱落以及曲细精管中出现多核巨细胞。PRRSV阳性细胞的分布是局灶性的;在1型和2型PRRSV感染公猪中,病毒存在于单个生殖细胞或小簇生殖细胞中,定位于精原细胞、初级精母细胞、精子细胞和非精子细胞。

结论

本研究结果表明,两种基因型的PRRSV对猪雄性生殖系统的毒力没有显著差异。

https://cdn.ncbi.nlm.nih.gov/pmc/blobs/3c7f/3663669/072cbe659d13/1743-422X-10-156-1.jpg

文献AI研究员

20分钟写一篇综述,助力文献阅读效率提升50倍。

立即体验

用中文搜PubMed

大模型驱动的PubMed中文搜索引擎

马上搜索

文档翻译

学术文献翻译模型,支持多种主流文档格式。

立即体验