• 文献检索
  • 文档翻译
  • 深度研究
  • 学术资讯
  • Suppr Zotero 插件Zotero 插件
  • 邀请有礼
  • 套餐&价格
  • 历史记录
应用&插件
Suppr Zotero 插件Zotero 插件浏览器插件Mac 客户端Windows 客户端微信小程序
定价
高级版会员购买积分包购买API积分包
服务
文献检索文档翻译深度研究API 文档MCP 服务
关于我们
关于 Suppr公司介绍联系我们用户协议隐私条款
关注我们

Suppr 超能文献

核心技术专利:CN118964589B侵权必究
粤ICP备2023148730 号-1Suppr @ 2026

文献检索

告别复杂PubMed语法,用中文像聊天一样搜索,搜遍4000万医学文献。AI智能推荐,让科研检索更轻松。

立即免费搜索

文件翻译

保留排版,准确专业,支持PDF/Word/PPT等文件格式,支持 12+语言互译。

免费翻译文档

深度研究

AI帮你快速写综述,25分钟生成高质量综述,智能提取关键信息,辅助科研写作。

立即免费体验

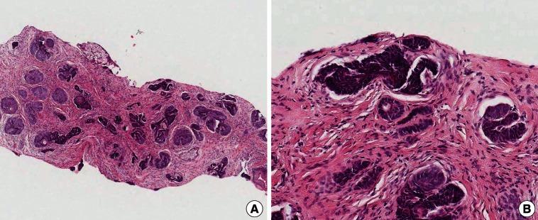
Basal cell carcinoma presenting as a hypertrophic scar.

作者信息

Lim Kwang-Ryeol, Cho Ka-Hyung, Hwang So-Min, Jung Yong-Hui, Kim Song Jennifer

机构信息

Aesthetic, Plastic and Reconstructive Surgery Center, Good Moonhwa Hospital, Busan, Korea.

出版信息

Arch Plast Surg. 2013 May;40(3):289-91. doi: 10.5999/aps.2013.40.3.289. Epub 2013 May 16.

DOI:10.5999/aps.2013.40.3.289
PMID:23730617
原文链接:https://pmc.ncbi.nlm.nih.gov/articles/PMC3665885/
Abstract
摘要
https://cdn.ncbi.nlm.nih.gov/pmc/blobs/3f2b/3665885/5eb40a70b375/aps-40-289-g002.jpg
https://cdn.ncbi.nlm.nih.gov/pmc/blobs/3f2b/3665885/c3bb17848aa8/aps-40-289-g001.jpg
https://cdn.ncbi.nlm.nih.gov/pmc/blobs/3f2b/3665885/5eb40a70b375/aps-40-289-g002.jpg
https://cdn.ncbi.nlm.nih.gov/pmc/blobs/3f2b/3665885/c3bb17848aa8/aps-40-289-g001.jpg
https://cdn.ncbi.nlm.nih.gov/pmc/blobs/3f2b/3665885/5eb40a70b375/aps-40-289-g002.jpg

相似文献

1
Basal cell carcinoma presenting as a hypertrophic scar.表现为肥厚性瘢痕的基底细胞癌。
Arch Plast Surg. 2013 May;40(3):289-91. doi: 10.5999/aps.2013.40.3.289. Epub 2013 May 16.
2
In vitro mechanical compression induces apoptosis and regulates cytokines release in hypertrophic scars.体外机械压迫可诱导肥厚性瘢痕细胞凋亡并调节细胞因子释放。
Wound Repair Regen. 2003 Sep-Oct;11(5):331-6. doi: 10.1046/j.1524-475x.2003.11504.x.
3
Process of Hypertrophic Scar Formation: Expression of Eukaryotic Initiation Factor 6.肥厚性瘢痕形成过程:真核起始因子6的表达
Chin Med J (Engl). 2015 Oct 20;128(20):2787-91. doi: 10.4103/0366-6999.167359.
4
[The expression of melatonin receptor in human hypertrophic scar].[褪黑素受体在人增生性瘢痕中的表达]
Zhonghua Zheng Xing Wai Ke Za Zhi. 2010 May;26(3):203-7.
5
[Characteristics of P38 mitogen-activated protein kinase and c-Jun expression in hypertrophic scar and their effects on scar formation].[增生性瘢痕中P38丝裂原活化蛋白激酶和c-Jun的表达特征及其对瘢痕形成的影响]
Zhongguo Xiu Fu Chong Jian Wai Ke Za Zhi. 2003 Sep;17(5):379-81.
6
[Expression of secretions of hypothalamus-pituitary-adrenal axis in human hypertrophic scar].
Zhonghua Shao Shang Za Zhi. 2011 Dec;27(6):432-5.
7
[Expression of Notch receptors, ligands and downstream target genes in epidermis of hypertrophic scar].[肥厚性瘢痕表皮中Notch受体、配体及下游靶基因的表达]
Zhonghua Zheng Xing Wai Ke Za Zhi. 2009 Jan;25(1):41-5.
8
Differential and exclusive diagnosis of diseases that resemble keloids and hypertrophic scars.与瘢痕疙瘩和增生性瘢痕相似疾病的鉴别诊断与排他性诊断。
Ann Plast Surg. 2009 Jun;62(6):660-4. doi: 10.1097/SAP.0b013e31817e9d67.
9
Effect of in vitro mechanical compression on Epilysin (matrix metalloproteinase-28) expression in hypertrophic scars.体外机械压迫对增生性瘢痕中Epilysin(基质金属蛋白酶-28)表达的影响。
Wound Repair Regen. 2005 May-Jun;13(3):255-61. doi: 10.1111/j.1067-1927.2005.130307.x.
10
[Expression of alpha 1-4 integrins in hypertrophic scar fibroblasts].
Zhonghua Zheng Xing Wai Ke Za Zhi. 2000 Jan;16(1):37-9.

引用本文的文献

1
Nanotechnology as a Promising Method in the Treatment of Skin Cancer.纳米技术作为治疗皮肤癌的有前途的方法。
Int J Mol Sci. 2024 Feb 10;25(4):2165. doi: 10.3390/ijms25042165.
2
Annular Basal Cell Carcinoma Expanding Around Central Hypertrophic Scarring: A Case Report.围绕中央肥厚性瘢痕扩展的环状基底细胞癌:一例报告
Cureus. 2023 Mar 9;15(3):e35934. doi: 10.7759/cureus.35934. eCollection 2023 Mar.
3
Basal Cell Carcinoma in a Dermatosurgery Scar: A Case of Immunocompromised Cutaneous District.皮肤外科手术瘢痕中的基底细胞癌:免疫功能低下皮肤区域的一例病例

本文引用的文献

1
Basal cell carcinoma.基底细胞癌
Arch Plast Surg. 2012 Mar;39(2):166-70. doi: 10.5999/aps.2012.39.2.166. Epub 2012 Mar 14.
2
Periocular basal cell carcinoma arising in a site of previous trauma.发生于既往创伤部位的眼周基底细胞癌。
Can J Ophthalmol. 2007 Jun;42(3):467-8.
3
Previous injuries or scars as risk factors for the development of basal cell carcinoma.既往损伤或瘢痕作为基底细胞癌发生的危险因素。
Indian Dermatol Online J. 2021 Jul 14;12(4):600-602. doi: 10.4103/idoj.IDOJ_355_20. eCollection 2021 Jul-Aug.
4
Cutaneous basal cell carcinoma arising within a keloid scar: a case report.瘢痕疙瘩性瘢痕内发生的皮肤基底细胞癌:一例报告
Onco Targets Ther. 2016 Aug 2;9:4793-6. doi: 10.2147/OTT.S113724. eCollection 2016.
Scand J Plast Reconstr Surg Hand Surg. 2004;38(1):11-5. doi: 10.1080/02844310310005883.
4
Trauma as a possible etiologic factor in basal cell carcinoma.创伤作为基底细胞癌的一种可能病因。
J Dermatol Surg Oncol. 1986 Aug;12(8):841-6. doi: 10.1111/j.1524-4725.1986.tb01991.x.