Suppr超能文献

解整合素金属蛋白酶-9的高表达预示着完全切除的Ⅰ期非小细胞肺癌患者生存时间缩短。

High expression of a disintegrin and metalloproteinase-9 predicts a shortened survival time in completely resected stage I non-small cell lung cancer.

作者信息

Zhang Jun, Qi Juan, Chen Ning, Fu Weineng, Zhou Baosen, He Anguang

机构信息

Department of Molecular Targeted Therapeutics, China Medical University Lung Cancer Center, The First Hospital of China Medical University, Shenyang, P.R. China ; Department of Thoracic Surgery 1, China Medical University Lung Cancer Center, The First Hospital of China Medical University, Shenyang, P.R. China.

出版信息

Oncol Lett. 2013 May;5(5):1461-1466. doi: 10.3892/ol.2013.1209. Epub 2013 Feb 22.

Abstract

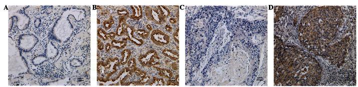
The aim of this study was to investigate the abnormal expression of a disintegrin and metalloproteinase-9 (ADAM9) in human resected non-small cell lung cancer (NSCLC) tissue, in order to evaluate the significance of ADAM9 expression in surgically resected NSCLC. Sixty-four cases of completely resected stage I NSCLC with mediastinal N2 lymph node dissection were immunohistochemically analyzed for ADAM9 protein expression. Survival, univariate and multivariate analyses were conducted to assess the significance of ADAM9 expression and its correlation with other clinicopathological characteristics. ADAM9 was observed to be significantly more highly expressed in NSCLC tissue compared with normal control lung tissue (P=0.001). The 5-year survival rate for patients with NSCLC tissues highly expressing ADAM9 was significantly lower when compared with NSCLC tissues of patients exhibiting low expression of ADAM9 (56.9 vs. 88.9%, P= 0.012). Multivariate analysis identified that high expression of ADAM9 is an independent factor of shortened survival time in resected stage I NSCLC (HR, 3.385; 95% CI, 1.224-9.360; P=0.019). These results clearly demonstrate that ADAM9 is highly expressed in NSCLC and highly expressed ADAM9 correlates with shortened survival time, suggesting that ADAM9 is a novel biomarker for predicting prognosis in resected stage I NSCLC. ADAM9 may also become a useful predictive biomarker for the selection of adjuvant chemotherapy treatment of NSCLC.

摘要

本研究旨在探讨去整合素和金属蛋白酶9(ADAM9)在人非小细胞肺癌(NSCLC)切除组织中的异常表达,以评估ADAM9表达在手术切除的NSCLC中的意义。对64例完全切除的I期NSCLC且行纵隔N2淋巴结清扫的病例进行免疫组化分析,检测ADAM9蛋白表达。进行生存分析、单因素和多因素分析,以评估ADAM9表达的意义及其与其他临床病理特征的相关性。结果显示,与正常对照肺组织相比,ADAM9在NSCLC组织中的表达显著更高(P=0.001)。ADAM9高表达的NSCLC患者的5年生存率显著低于ADAM9低表达患者(56.9%对88.9%,P=0.012)。多因素分析表明,ADAM9高表达是I期NSCLC切除术后生存时间缩短的独立因素(HR,3.385;95%CI,1.224 - 9.360;P=0.019)。这些结果清楚地表明,ADAM9在NSCLC中高表达,且ADAM9高表达与生存时间缩短相关,提示ADAM9是预测I期NSCLC切除术后预后的新型生物标志物。ADAM9也可能成为NSCLC辅助化疗治疗选择的有用预测生物标志物。

https://cdn.ncbi.nlm.nih.gov/pmc/blobs/5cc2/3678878/0b8c0eda6b12/OL-05-05-1461-g00.jpg

文献AI研究员

20分钟写一篇综述,助力文献阅读效率提升50倍。

立即体验

用中文搜PubMed

大模型驱动的PubMed中文搜索引擎

马上搜索

文档翻译

学术文献翻译模型,支持多种主流文档格式。

立即体验