Suppr超能文献

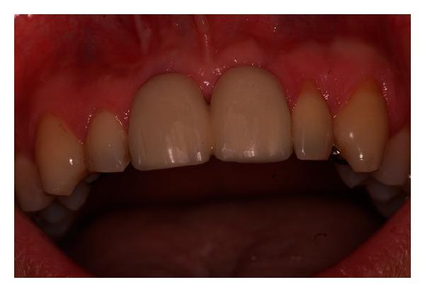
上颌中切牙骨折后采用骨再生技术进行种植修复康复治疗。

Implant prosthetic rehabilitation with bone regenerative techniques after fracture of the upper central incisors.

作者信息

Amato Massimo, Bruno Vincenzo, Pantaleo Giuseppe, Cerutti Antonio, Spagnuolo Gianrico, Sammartino Gilberto

机构信息

Department of Medicine and Surgery, University of Salerno, Fisciano, 84084 Salerno, Italy.

出版信息

Case Rep Dent. 2013;2013:387206. doi: 10.1155/2013/387206. Epub 2013 May 12.

Abstract

A case of implant-bone prosthetic rehabilitation, after the fracture of the maxillary central incisors, which had been treated with grafting of a bone substitute, is reported. This case was followed by the normal procedures of implantology within the traditional timeframe for bone regeneration. However, a barrier membrane was not used which shows that even along with the use of graft material a sufficient amount of bone could be achieved for a subsequent rehabilitation. Therefore, after a five-year follow-up period, osseointegration was maintained with no marginal bone loss.

摘要

本文报告了一例上颌中切牙骨折后采用骨替代物移植治疗,随后进行种植体-骨修复的病例。该病例按照传统骨再生时间框架内的种植牙常规程序进行治疗。然而,未使用屏障膜,这表明即使不使用屏障膜,仅使用移植材料也能获得足够的骨量用于后续修复。因此,经过五年的随访期,种植体保持了骨结合,且无边缘骨吸收。

https://cdn.ncbi.nlm.nih.gov/pmc/blobs/4053/3665228/bbd542c84c22/CRIM.DENTISTRY2013-387206.001.jpg

文献AI研究员

20分钟写一篇综述,助力文献阅读效率提升50倍。

立即体验

用中文搜PubMed

大模型驱动的PubMed中文搜索引擎

马上搜索

文档翻译

学术文献翻译模型,支持多种主流文档格式。

立即体验