Suppr超能文献

锥形束计算机断层扫描在使用耻骨联合阻滞植骨修复创伤性上颌骨牙槽嵴缺损中的作用。

Role of cone beam computed tomography in rehabilitation of a traumatised deficient maxillary alveolar ridge using symphyseal block graft placement.

作者信息

Arora Shipra, Lamba Arundeep Kaur, Faraz Farrukh, Tandon Shruti, Ahad Abdul

机构信息

Department of Periodontics and Oral Implantology, Maulana Azad Institute of Dental Sciences, New Delhi 110002, India.

出版信息

Case Rep Dent. 2013;2013:748405. doi: 10.1155/2013/748405. Epub 2013 May 22.

Abstract

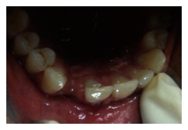
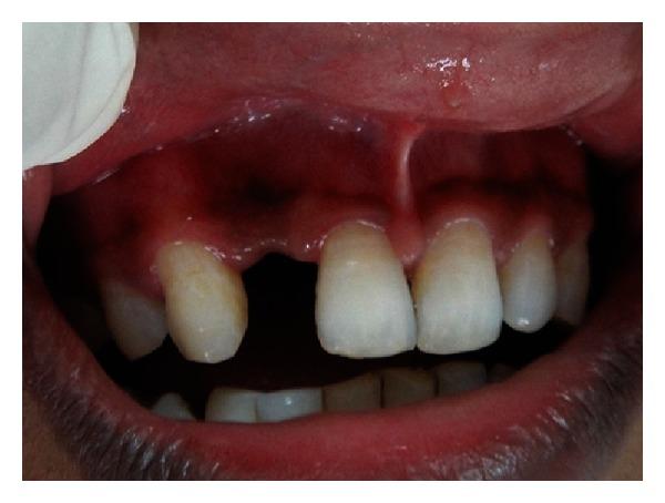
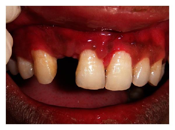
Deficiencies in the alveolar ridges cause multiple problems in achieving aesthetic and functional outcome of implant therapy and are commonly restored by using onlay graft from intraoral source. Careful assessment of the recipient as well as the donor site using cone beam computed tomography (CBCT) is a prerequisite to ideal treatment planning. This paper highlights the critical role of CBCT in planning a successful rehabilitation of traumatised deficient anterior maxillary alveolar ridge using autogenous block graft from mandibular symphysis, followed by implant placement. A 21-year-old male reported with missing right maxillary lateral incisor due to traumatic avulsion 6 months back. A concavity was found on the labial aspect of edentulous area. Serial transplanar images on CBCT revealed gross irregular radiolucency in place of labial cortical plate. Using CBCT, size of the required block was estimated, and mandibular symphyseal area was evaluated for the feasibility of harvesting a graft of suitable dimension. Onlay block graft was harvested from mandibular symphysis and placed at the edentulous site to augment the alveolar ridge. Implants were placed 5 months later and loaded successfully after osseointegration. After 1 year of followup, implant-based prosthesis is working well, without any complications.

摘要

牙槽嵴缺损会在实现种植治疗的美学和功能效果方面引发多种问题,通常采用取自口腔内的嵌体移植来修复。使用锥形束计算机断层扫描(CBCT)仔细评估受植区以及供区是理想治疗计划的前提条件。本文强调了CBCT在下述治疗计划中的关键作用:利用来自下颌骨联合的自体块状移植骨,对上颌前部受创伤的牙槽嵴缺损进行成功修复,随后植入种植体。一名21岁男性患者因6个月前的外伤性牙脱位而缺失右上颌侧切牙。在无牙区的唇侧发现一处凹陷。CBCT上的系列横断面图像显示,唇侧皮质骨板处有大片不规则的透射区。通过CBCT估算所需块状移植骨的大小,并评估下颌联合区获取合适尺寸移植骨的可行性。从下颌联合处获取嵌体块状移植骨,并放置在无牙区以增高牙槽嵴。5个月后植入种植体,骨整合后成功进行加载。随访1年后,种植体支持的修复体运行良好,无任何并发症。

https://cdn.ncbi.nlm.nih.gov/pmc/blobs/fe27/3674654/5ef3a51b33fe/CRIM.DENTISTRY2013-748405.001.jpg

文献AI研究员

20分钟写一篇综述,助力文献阅读效率提升50倍。

立即体验

用中文搜PubMed

大模型驱动的PubMed中文搜索引擎

马上搜索

文档翻译

学术文献翻译模型,支持多种主流文档格式。

立即体验