Department of Immunology and Microbial Science, The Scripps Research Institute, La Jolla, California, USA.
Nat Immunol. 2013 Aug;14(8):849-57. doi: 10.1038/ni.2648. Epub 2013 Jun 30.
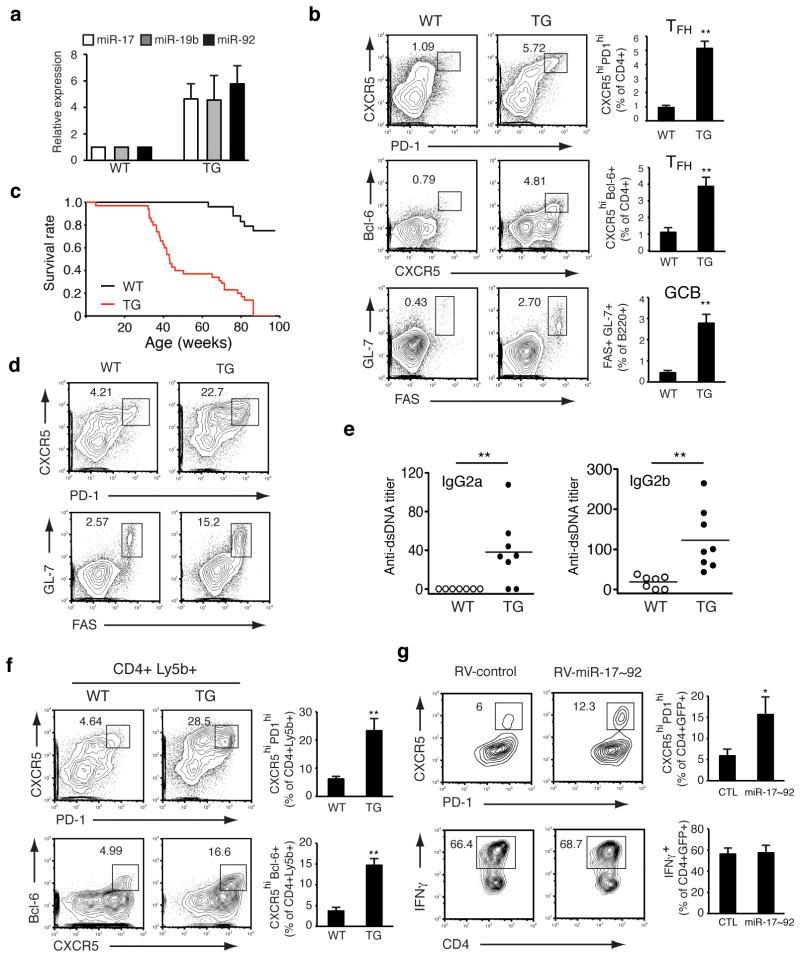
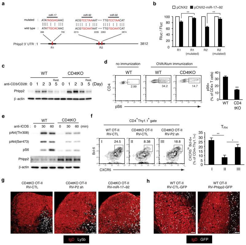
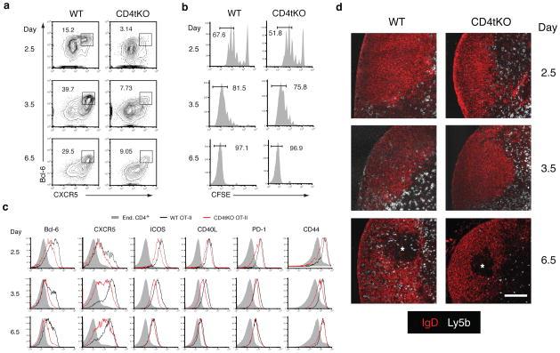
Follicular helper T cells (T(FH) cells) provide critical help to B cells during humoral immune responses. Here we report that mice with T cell-specific deletion of the miR-17∼92 family of microRNAs (miRNAs) had substantially compromised T(FH) differentiation, germinal-center formation and antibody responses and failed to control chronic viral infection. Conversely, mice with T cell-specific expression of a transgene encoding miR-17∼92 spontaneously accumulated T(FH) cells and developed a fatal immunopathology. Mechanistically, the miR-17∼92 family controlled the migration of CD4(+) T cells into B cell follicles by regulating signaling intensity from the inducible costimulator ICOS and kinase PI(3)K by suppressing expression of the phosphatase PHLPP2. Our findings demonstrate an essential role for the miR-17∼92 family in T(FH) differentiation and establish PHLPP2 as an important mediator of their function in this process.
滤泡辅助 T 细胞(T(FH) 细胞)在体液免疫反应中为 B 细胞提供关键帮助。在这里,我们报告说,在 T 细胞中特异性缺失 miR-17∼92 微 RNA(miRNA)家族的小鼠,其 T(FH) 细胞分化、生发中心形成和抗体反应受到严重损害,并且无法控制慢性病毒感染。相反,在 T 细胞中特异性表达编码 miR-17∼92 的转基因的小鼠会自发地积累 T(FH)细胞,并发展出致命的免疫病理学。从机制上讲,miR-17∼92 家族通过抑制磷酸酶 PHLPP2 的表达来调节诱导共刺激分子 ICOS 和激酶 PI(3)K 的信号强度,从而控制 CD4(+)T 细胞向 B 细胞滤泡的迁移。我们的研究结果表明,miR-17∼92 家族在 T(FH) 细胞分化中起着重要作用,并确立了 PHLPP2 作为其在该过程中功能的重要介质。