Suppr超能文献

IL-6 通过 JAK/PI3K/Akt/CREB 信号通路调节肝细胞中 Mcl-1L 的表达:在肝再生过程中发挥抗细胞凋亡作用的意义。

IL-6 regulates Mcl-1L expression through the JAK/PI3K/Akt/CREB signaling pathway in hepatocytes: implication of an anti-apoptotic role during liver regeneration.

机构信息

Department of Surgery, National Taiwan University Hospital and National Taiwan University College of Medicine, Taipei, Taiwan.

出版信息

PLoS One. 2013 Jun 25;8(6):e66268. doi: 10.1371/journal.pone.0066268. Print 2013.

Abstract

AIMS

To investigate the role and the regulation of the long variant of myeloid cell leukemia-1 protein (Mcl-1L) during liver regeneration.

BACKGROUND

Liver regeneration is an important phenomenon after liver injury. The rat partial hepatectomy (PH) model was used to characterize liver regeneration and Mcl-1L expression after PH.

METHODS

Male Wistar rats were subjected to 70% PH. The expression of mcl-1L mRNA was determined by quantitative RT-PCR, and protein levels were analyzed by Western blot analysis and immunohistochemistry during liver regeneration. Functional evaluations of Mcl-1L were tested using chemical inhibition (flavopiridol), genetic inhibition (siRNA) of Mcl-1L production, and by assaying for annexin V levels and DNA ladder formation. Serum IL-6 levels were determined by enzyme immunoassays; signal transduction of IL-6-regulated Mcl-1L expression was verified by chemical inhibitors and decoy double-stranded oligodeoxynucleotides.

RESULTS

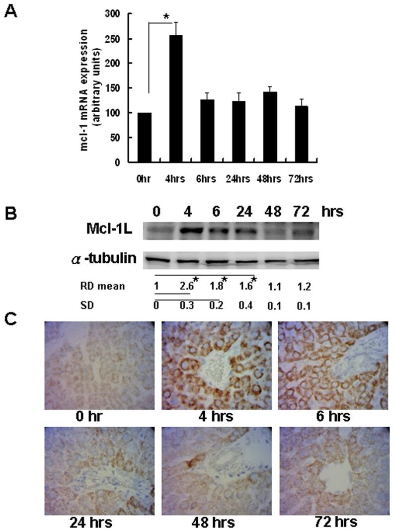
High levels of Mcl-1L were observed in remnant tissue at 4 h after PH. Administration of flavopiridol decreased Mcl-1L accumulation and also inhibited liver regeneration. IL-6 administration promoted the accumulation of Mcl-1L in rat hepatocytes, an effect that was impaired by siRNA treatments that reduced Mcl-1L production. Chemical inhibition and decoy oligonucleotide competition demonstrated that IL-6-induced Mcl-1L production required signaling mediated by JAK kinase, phosphoinositide 3-kinase (PI3K), and cAMP response-element-binding (CREB) proteins.

CONCLUSION

Mcl-1L is an anti-apoptotic protein induced during liver regeneration after PH in rats. The expression of Mcl-1L is induced by IL-6 through the JAK/PI3K/Akt/CREB signaling pathway. Chemotherapy drugs that depend on Mcl-1L- or IL-6-related signaling should be considered carefully before use in patients undergoing hepatectomy for malignant tumor resection.

摘要

目的

研究髓样细胞白血病-1 蛋白(Mcl-1L)长变体在肝再生过程中的作用和调节机制。

背景

肝再生是肝损伤后重要的现象。我们使用大鼠部分肝切除术(PH)模型来描述 PH 后肝再生和 Mcl-1L 表达的情况。

方法

雄性 Wistar 大鼠接受 70% PH。通过定量 RT-PCR 测定 mcl-1L mRNA 的表达,通过 Western blot 分析和免疫组化检测在肝再生过程中蛋白水平。使用化学抑制(flavopiridol)、Mcl-1L 产生的基因抑制(siRNA)以及检测 Annexin V 水平和 DNA 梯形成来测试 Mcl-1L 的功能。通过酶免疫测定法测定血清 IL-6 水平;通过化学抑制剂和诱饵双链寡脱氧核苷酸验证 IL-6 调节 Mcl-1L 表达的信号转导。

结果

PH 后 4 小时,残肝组织中观察到高水平的 Mcl-1L。给予 flavopiridol 可减少 Mcl-1L 积累并抑制肝再生。IL-6 给药促进了大鼠肝细胞中 Mcl-1L 的积累,而降低 Mcl-1L 产生的 siRNA 处理则削弱了这一作用。化学抑制和诱饵寡核苷酸竞争表明,IL-6 诱导的 Mcl-1L 产生需要 JAK 激酶、磷酸肌醇 3-激酶(PI3K)和 cAMP 反应元件结合(CREB)蛋白介导的信号转导。

结论

Mcl-1L 是大鼠 PH 后肝再生过程中的一种抗凋亡蛋白。Mcl-1L 的表达通过 JAK/PI3K/Akt/CREB 信号通路被 IL-6 诱导。在因恶性肿瘤切除而行肝切除术的患者中使用依赖于 Mcl-1L 或 IL-6 相关信号的化疗药物时应慎重考虑。

https://cdn.ncbi.nlm.nih.gov/pmc/blobs/8f21/3692501/6b5e87142190/pone.0066268.g001.jpg

文献AI研究员

20分钟写一篇综述,助力文献阅读效率提升50倍。

立即体验

用中文搜PubMed

大模型驱动的PubMed中文搜索引擎

马上搜索

文档翻译

学术文献翻译模型,支持多种主流文档格式。

立即体验