Suppr超能文献

FBX8作为一种侵袭和转移抑制因子,与肝细胞癌的不良预后相关。

FBX8 Acts as an Invasion and Metastasis Suppressor and Correlates with Poor Survival in Hepatocellular Carcinoma.

作者信息

Wang Feifei, Qiao Yudan, Yu Jiang, Ren Xiaoli, Wang Jianmei, Ding Yi, Zhang Xiaojing, Ma Wenhui, Ding Yanqing, Liang Li

机构信息

Department of Pathology, Nanfang Hospital, Southern Medical University, Guangzhou City, Guangdong Province, People's Republic of China ; Department of Pathology, School of Basic Medical Sciences, Southern Medical University, Guangzhou City, Guangdong Province, People's Republic of China.

出版信息

PLoS One. 2013 Jun 27;8(6):e65495. doi: 10.1371/journal.pone.0065495. Print 2013.

Abstract

BACKGROUND

F-box only protein 8 (FBX8), a novel component of F-box proteins, is lost in several cancers and has been associated with invasiveness of cancer cells. However, its expression pattern and role in the progression of hepatocellular carcinoma remain unclear. This study investigated the prognostic significance of FBX8 in hepatocellular carcinoma samples and analyzed FBX8 function in hepatocellular carcinoma cells by gene manipulation.

METHODOLOGY

The expression of FBX8 was detected in 120 cases of clinical paraffin-embedded hepatocellular carcinoma tissues, 20 matched pairs of fresh tissues and five hepatocellular carcinoma cell lines by immunohistochemistry with clinicopathological analyses, real-time RT-PCR or Western blot. The correlation of FBX8 expression with cell proliferation and invasion in five HCC cell lines was analyzed. Moreover, loss of function and gain of function assays were performed to evaluate the effect of FBX8 on cell proliferation, motility, invasion in vitro and metastasis in vivo.

CONCLUSIONS

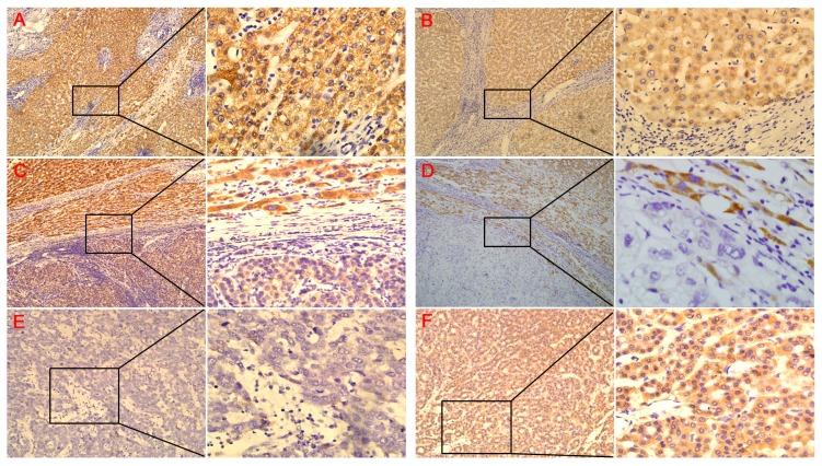
We found that FBX8 was obviously down-regulated in HCC tissues and cell lines (P<0.05). The FBX8 down-regulation correlated significantly with poor prognosis, and FBX8 status was identified as an independent significant prognostic factor. Over-expression of FBX8 decreased proliferation, migration and invasion in HepG2 and 97H cells, while knock-down of FBX8 in 7721 cells showed the opposite effect. FBX8 negatively correlated with cell proliferation and invasion in 7701, M3, HepG2 and 97H cell lines. In vivo functional assays showed FBX8 suppressed tumor growth and pulmonary metastatic potential in mice. Our results indicate that down-regulation of FBX8 significantly correlates with invasion, metastasis and poor survival in hepatocellular carcinoma patients. It may be a useful biomarker for therapeutic strategy and control in hepatocellular carcinoma treatment.

摘要

背景

F-box仅蛋白8(FBX8)是F-box蛋白的一个新组分,在多种癌症中缺失,并与癌细胞的侵袭性相关。然而,其在肝细胞癌进展中的表达模式和作用仍不清楚。本研究调查了FBX8在肝细胞癌样本中的预后意义,并通过基因操作分析了FBX8在肝癌细胞中的功能。

方法

通过免疫组织化学结合临床病理分析、实时逆转录聚合酶链反应(RT-PCR)或蛋白质免疫印迹法,检测120例临床石蜡包埋的肝细胞癌组织、20对匹配的新鲜组织以及5种肝癌细胞系中FBX8的表达。分析FBX8表达与5种肝癌细胞系中细胞增殖和侵袭的相关性。此外,进行功能缺失和功能获得实验,以评估FBX8对细胞增殖、运动性、体外侵袭和体内转移的影响。

结论

我们发现FBX8在肝癌组织和细胞系中明显下调(P<0.05)。FBX8下调与不良预后显著相关,且FBX8状态被确定为一个独立的显著预后因素。FBX8过表达降低了HepG2和97H细胞的增殖、迁移和侵袭,而在7721细胞中敲低FBX8则显示出相反的效果。在7701、M3、HepG2和97H细胞系中,FBX8与细胞增殖和侵袭呈负相关。体内功能实验表明FBX8抑制小鼠肿瘤生长和肺转移潜能。我们的结果表明,FBX8下调与肝细胞癌患者的侵袭、转移及不良生存显著相关。它可能是肝细胞癌治疗中治疗策略和控制的一个有用生物标志物。

https://cdn.ncbi.nlm.nih.gov/pmc/blobs/39aa/3694991/273151e7ddcd/pone.0065495.g001.jpg

相似文献

1
FBX8 Acts as an Invasion and Metastasis Suppressor and Correlates with Poor Survival in Hepatocellular Carcinoma.
PLoS One. 2013 Jun 27;8(6):e65495. doi: 10.1371/journal.pone.0065495. Print 2013.
2
Significance of FBX8 in progression of gastric cancer.
Exp Mol Pathol. 2015 Jun;98(3):360-6. doi: 10.1016/j.yexmp.2015.03.015. Epub 2015 Mar 20.
6
Numb promotes cell proliferation and correlates with poor prognosis in hepatocellular carcinoma.
PLoS One. 2014 Apr 25;9(4):e95849. doi: 10.1371/journal.pone.0095849. eCollection 2014.
9
FBX8 is a metastasis suppressor downstream of miR-223 and targeting mTOR for degradation in colorectal carcinoma.
Cancer Lett. 2017 Mar 1;388:85-95. doi: 10.1016/j.canlet.2016.11.031. Epub 2016 Dec 1.
10
EYA4 serves as a prognostic biomarker in hepatocellular carcinoma and suppresses tumour angiogenesis and metastasis.
J Cell Mol Med. 2019 Jun;23(6):4208-4216. doi: 10.1111/jcmm.14309. Epub 2019 Apr 7.

引用本文的文献

1
Ubiquitination and ALL: Identifying FBXO8 as a prognostic biomarker and therapeutic target.
Front Immunol. 2025 May 1;16:1554231. doi: 10.3389/fimmu.2025.1554231. eCollection 2025.
3
The miR-216/miR-217 Cluster Regulates Lipid Metabolism in Laying Hens With Fatty Liver Syndrome PPAR/SREBP Signaling Pathway.
Front Vet Sci. 2022 May 31;9:913841. doi: 10.3389/fvets.2022.913841. eCollection 2022.
4
FBX8 degrades GSTP1 through ubiquitination to suppress colorectal cancer progression.
Cell Death Dis. 2019 Apr 25;10(5):351. doi: 10.1038/s41419-019-1588-z.
7
A CULLINary ride across the secretory pathway: more than just secretion.
Trends Cell Biol. 2014 Jul;24(7):389-99. doi: 10.1016/j.tcb.2014.02.001. Epub 2014 Mar 11.
8
The suppressive role and aberrent promoter methylation of BTG3 in the progression of hepatocellular carcinoma.
PLoS One. 2013 Oct 17;8(10):e77473. doi: 10.1371/journal.pone.0077473. eCollection 2013.

本文引用的文献

1
Tumor suppressor functions of FBW7 in cancer development and progression.
FEBS Lett. 2012 May 21;586(10):1409-18. doi: 10.1016/j.febslet.2012.03.017. Epub 2012 Mar 21.
2
Copy number loss of FBXW7 is related to gene expression and poor prognosis in esophageal squamous cell carcinoma.
Int J Oncol. 2012 Jul;41(1):253-9. doi: 10.3892/ijo.2012.1436. Epub 2012 Apr 19.
3
Rictor regulates FBXW7-dependent c-Myc and cyclin E degradation in colorectal cancer cells.
Biochem Biophys Res Commun. 2012 Feb 10;418(2):426-32. doi: 10.1016/j.bbrc.2012.01.054. Epub 2012 Jan 20.
4
MicroRNA-223 functions as an oncogene in human gastric cancer by targeting FBXW7/hCdc4.
J Cancer Res Clin Oncol. 2012 May;138(5):763-74. doi: 10.1007/s00432-012-1154-x. Epub 2012 Jan 22.
5
The effect of postoperative TACE on prognosis of HCC with microscopic venous invasion.
Hepatogastroenterology. 2012 Sep;59(118):1944-6. doi: 10.5754/hge11845.
6
Role of the ubiquitin ligase Fbw7 in cancer progression.
Cancer Metastasis Rev. 2012 Jun;31(1-2):75-87. doi: 10.1007/s10555-011-9330-z.
7
FBXO11 targets BCL6 for degradation and is inactivated in diffuse large B-cell lymphomas.
Nature. 2012 Jan 5;481(7379):90-3. doi: 10.1038/nature10688.
9
The Fbx4 tumor suppressor regulates cyclin D1 accumulation and prevents neoplastic transformation.
Mol Cell Biol. 2011 Nov;31(22):4513-23. doi: 10.1128/MCB.05733-11. Epub 2011 Sep 12.
10
The tumour suppressor C/EBPδ inhibits FBXW7 expression and promotes mammary tumour metastasis.
EMBO J. 2010 Dec 15;29(24):4106-17. doi: 10.1038/emboj.2010.280. Epub 2010 Nov 12.

文献AI研究员

20分钟写一篇综述,助力文献阅读效率提升50倍。

立即体验

用中文搜PubMed

大模型驱动的PubMed中文搜索引擎

马上搜索

文档翻译

学术文献翻译模型,支持多种主流文档格式。

立即体验