• 文献检索
  • 文档翻译
  • 深度研究
  • 学术资讯
  • Suppr Zotero 插件Zotero 插件
  • 邀请有礼
  • 套餐&价格
  • 历史记录
应用&插件
Suppr Zotero 插件Zotero 插件浏览器插件Mac 客户端Windows 客户端微信小程序
定价
高级版会员购买积分包购买API积分包
服务
文献检索文档翻译深度研究API 文档MCP 服务
关于我们
关于 Suppr公司介绍联系我们用户协议隐私条款
关注我们

Suppr 超能文献

核心技术专利:CN118964589B侵权必究
粤ICP备2023148730 号-1Suppr @ 2026

文献检索

告别复杂PubMed语法,用中文像聊天一样搜索,搜遍4000万医学文献。AI智能推荐,让科研检索更轻松。

立即免费搜索

文件翻译

保留排版,准确专业,支持PDF/Word/PPT等文件格式,支持 12+语言互译。

免费翻译文档

深度研究

AI帮你快速写综述,25分钟生成高质量综述,智能提取关键信息,辅助科研写作。

立即免费体验

一名35岁女性患高安动脉炎并出现大面积脑缺血性梗死:病例报告

Takayasu arteritis presenting with massive cerebral ischemic infarction in a 35-year-old woman: a case report.

作者信息

Gao Shan, Wang Ruilan

机构信息

Intensive Care Unit, Shanghai First People's Hospital, School of Medicine, Shanghai Jiao Tong University, 650 Xinsongjiang Road, Shanghai 201620, China.

出版信息

J Med Case Rep. 2013 Jul 5;7:179. doi: 10.1186/1752-1947-7-179.

DOI:10.1186/1752-1947-7-179
PMID:23830048
原文链接:https://pmc.ncbi.nlm.nih.gov/articles/PMC3707746/
Abstract

INTRODUCTION

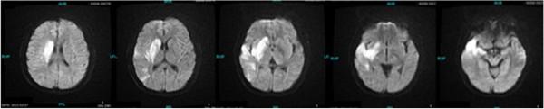
Takayasu arteritis is a relatively rare type of large-vessel arteritis that primarily affects the aorta and its major branches, the coronary arteries, and the pulmonary arteries. Depending on the different groups of blood vessels involved in the disease process, the clinical presentation of Takayasu arteritis varies. Here we report a case of a woman presenting with a debilitating massive cerebral ischemic infarct that turned out to be a relatively rare first presentation of Takayasu arteritis.

CASE PRESENTATION

A 35-year-old Chinese woman presented to the Emergency Department with left hemiparesis, pain and numbness of her arms and weak radial pulses. Her laboratory results showed an elevated C-reactive protein and erythrocyte sedimentation rate, and subsequent digital subtraction angiography demonstrated narrowing and occlusion of the major branches of her aortic arch. We report the case of a patient with Takayasu arteritis presenting with a massive cerebral ischemic infarct and review the current literature on this topic.

CONCLUSION

Takayasu arteritis is a relatively rare disease with various and sometimes devastating clinical manifestations, such as massive cerebral ischemic infarction as in our case. Currently, there are multiple diagnostic tools and treatment options available, and more under investigation. Early, appropriate diagnosis and initiation of proper therapy could avoid further progression and reduce complications of the disease.

摘要

引言

高安动脉炎是一种相对罕见的大血管动脉炎,主要累及主动脉及其主要分支、冠状动脉和肺动脉。根据疾病过程中受累血管组的不同,高安动脉炎的临床表现各异。在此,我们报告一例女性患者,其表现为严重的大面积脑缺血梗死,结果证明这是高安动脉炎一种相对罕见的首发表现。

病例介绍

一名35岁的中国女性因左侧偏瘫、手臂疼痛和麻木以及桡动脉搏动减弱就诊于急诊科。她的实验室检查结果显示C反应蛋白和红细胞沉降率升高,随后的数字减影血管造影显示其主动脉弓主要分支狭窄和闭塞。我们报告一例患有高安动脉炎并出现大面积脑缺血梗死的患者病例,并回顾关于该主题的当前文献。

结论

高安动脉炎是一种相对罕见的疾病,具有多样且有时具有破坏性的临床表现,如我们病例中的大面积脑缺血梗死。目前,有多种诊断工具和治疗选择,还有更多正在研究中。早期、恰当的诊断和启动适当的治疗可以避免疾病的进一步进展并减少并发症。

https://cdn.ncbi.nlm.nih.gov/pmc/blobs/5089/3707746/16ae9078a5f7/1752-1947-7-179-4.jpg
https://cdn.ncbi.nlm.nih.gov/pmc/blobs/5089/3707746/6273c300433f/1752-1947-7-179-1.jpg
https://cdn.ncbi.nlm.nih.gov/pmc/blobs/5089/3707746/28f5081ee58f/1752-1947-7-179-2.jpg
https://cdn.ncbi.nlm.nih.gov/pmc/blobs/5089/3707746/d92f4238dc5e/1752-1947-7-179-3.jpg
https://cdn.ncbi.nlm.nih.gov/pmc/blobs/5089/3707746/16ae9078a5f7/1752-1947-7-179-4.jpg
https://cdn.ncbi.nlm.nih.gov/pmc/blobs/5089/3707746/6273c300433f/1752-1947-7-179-1.jpg
https://cdn.ncbi.nlm.nih.gov/pmc/blobs/5089/3707746/28f5081ee58f/1752-1947-7-179-2.jpg
https://cdn.ncbi.nlm.nih.gov/pmc/blobs/5089/3707746/d92f4238dc5e/1752-1947-7-179-3.jpg
https://cdn.ncbi.nlm.nih.gov/pmc/blobs/5089/3707746/16ae9078a5f7/1752-1947-7-179-4.jpg

相似文献

1
Takayasu arteritis presenting with massive cerebral ischemic infarction in a 35-year-old woman: a case report.一名35岁女性患高安动脉炎并出现大面积脑缺血性梗死:病例报告
J Med Case Rep. 2013 Jul 5;7:179. doi: 10.1186/1752-1947-7-179.
2
Bilateral ocular ischemia-induced blindness as a presenting manifestation of Takayasu arteritis: a case report.双侧眼部缺血性失明作为大动脉炎的首发表现:一例病例报告
J Med Case Rep. 2017 Jun 10;11(1):153. doi: 10.1186/s13256-017-1330-3.
3
An unusual collateral from the sinoatrial nodal artery to the left carotid artery in a patient with Takayasu arteritis: a case report.Takayasu 动脉炎患者中一条来自窦房结动脉至左侧颈动脉的不寻常侧支循环:病例报告。
J Med Case Rep. 2023 Jan 21;17(1):20. doi: 10.1186/s13256-023-03752-0.
4
Takayasu arteritis presenting with large cerebral infarction in a 39-year-old Syrian woman: a case report.一名39岁叙利亚女性患高安动脉炎并出现大面积脑梗死:病例报告
Ann Med Surg (Lond). 2024 Apr 29;86(6):3762-3765. doi: 10.1097/MS9.0000000000002098. eCollection 2024 Jun.
5
Imaging difficulties in Takayasu arteritis - case report and review of the literature.大动脉炎的影像学诊断难点——病例报告及文献综述
Pol J Radiol. 2012 Oct;77(4):67-71. doi: 10.12659/pjr.883633.
6
Early-Onset Takayasu Arteritis in Childhood: A Case Report.儿童早发性大动脉炎:一例报告
Cureus. 2024 Feb 8;16(2):e53885. doi: 10.7759/cureus.53885. eCollection 2024 Feb.
7
Takayasu arteritis in a middle-aged Caucasian woman: clinical course correlated with duplex ultrasound and angiography.一名中年白种女性的高安动脉炎:临床病程与双功超声及血管造影的相关性
Am J Med Sci. 1989 Nov;298(5):324-7. doi: 10.1097/00000441-198911000-00009.
8
Takayasu arteritis of subclavian artery in a Caucasian.一名高加索人的锁骨下动脉高安动脉炎
Int J Cardiol. 2004 Jun;95(2-3):351-4. doi: 10.1016/j.ijcard.2003.04.047.
9
Recurrent Stroke as a Presenting Feature of Takayasu Arteritis in an Adolescent: A Case Report and Literature Review.青少年以复发性卒中为首发表现的 Takayasu 动脉炎:病例报告及文献复习。
Prague Med Rep. 2024;125(1):62-68. doi: 10.14712/23362936.2024.6.
10
Takayasu arteritis: a treatable cause of stroke in infancy.高安动脉炎:婴儿期可治疗的中风病因。
Pediatr Neurol. 1986 May-Jun;2(3):154-8. doi: 10.1016/0887-8994(86)90007-x.

引用本文的文献

1
Takayasu arteritis presenting with large cerebral infarction in a 39-year-old Syrian woman: a case report.一名39岁叙利亚女性患高安动脉炎并出现大面积脑梗死:病例报告
Ann Med Surg (Lond). 2024 Apr 29;86(6):3762-3765. doi: 10.1097/MS9.0000000000002098. eCollection 2024 Jun.
2
Bilateral Takayasu's retinopathy as the initial presentation of Takayasu's arteritis.双侧 Takayasu 视网膜病变作为 Takayasu 动脉炎的初始表现。
BMJ Case Rep. 2024 Apr 29;17(4):e258688. doi: 10.1136/bcr-2023-258688.
3
Multiple occlusions in extracranial arteries in patients with aortic arch syndrome: is minimally invasive treatment still possible? Technical aspects of the treatment based on our own experience and a review of the literature.

本文引用的文献

1
Homocysteine levels in Takayasu arteritis -- a risk factor for arterial ischemic events.Takayasu 动脉炎患者的同型半胱氨酸水平——动脉缺血事件的一个危险因素。
J Rheumatol. 2013 Mar;40(3):303-8. doi: 10.3899/jrheum.121073. Epub 2012 Dec 15.
2
Diagnosis and assessment of Takayasu arteritis by multiple biomarkers.通过多种生物标志物诊断和评估大动脉炎。
Circ J. 2013;77(2):477-83. doi: 10.1253/circj.cj-12-0131. Epub 2012 Oct 26.
3
Inflammation-induced thrombosis: mechanisms, disease associations and management.炎症诱导的血栓形成:机制、疾病相关性及治疗。
主动脉弓综合征患者颅外动脉的多处闭塞:微创治疗是否仍可行?基于我们自身经验及文献回顾的治疗技术要点
Wideochir Inne Tech Maloinwazyjne. 2021 Mar;16(1):183-190. doi: 10.5114/wiitm.2020.94517. Epub 2020 Apr 20.
4
Malignant Ischemic Stroke in a Young Female: A Rare Primary Manifestation of Takayasu Arteritis.年轻女性的恶性缺血性中风:高安动脉炎罕见的主要表现
Case Rep Neurol Med. 2019 Feb 18;2019:7942825. doi: 10.1155/2019/7942825. eCollection 2019.
5
Bilateral ocular ischemia-induced blindness as a presenting manifestation of Takayasu arteritis: a case report.双侧眼部缺血性失明作为大动脉炎的首发表现:一例病例报告
J Med Case Rep. 2017 Jun 10;11(1):153. doi: 10.1186/s13256-017-1330-3.
6
Stroke as the Sole Manifestation of Takayasu Arteritis in a 15-Year-Old Boy with Latent Tuberculosis.一名患有潜伏性结核病的15岁男孩,中风作为高安动脉炎的唯一表现。
Case Rep Neurol Med. 2016;2016:8736248. doi: 10.1155/2016/8736248. Epub 2016 Nov 14.
Curr Pharm Des. 2012;18(11):1478-93. doi: 10.2174/138161212799504731.
4
Association of vascular physical examination findings and arteriographic lesions in large vessel vasculitis.大血管血管炎的血管体格检查结果与血管造影病变的相关性。
J Rheumatol. 2012 Feb;39(2):303-9. doi: 10.3899/jrheum.110652. Epub 2011 Dec 15.
5
[Advances in the diagnosis of large vessel vasculitis: identification of biomarkers and imaging studies].[大血管血管炎诊断的进展:生物标志物的识别与影像学研究]
Reumatol Clin. 2011 Dec;7 Suppl 3:S22-7. doi: 10.1016/j.reuma.2011.09.003. Epub 2011 Nov 25.
6
Surgical bypass vs endovascular treatment for patients with supra-aortic arterial occlusive disease due to Takayasu arteritis.外科旁路手术与血管内治疗用于治疗因多发性大动脉炎导致的主动脉及其以上动脉阻塞性疾病。
J Vasc Surg. 2012 Mar;55(3):693-700. doi: 10.1016/j.jvs.2011.09.051. Epub 2011 Nov 25.
7
Takayasu's arteritis: clinical features and outcomes of 125 patients in China.Takayasu 动脉炎:中国 125 例患者的临床特征和结局。
Clin Rheumatol. 2010 Sep;29(9):973-81. doi: 10.1007/s10067-010-1496-1. Epub 2010 Jun 30.
8
Stroke as a manifestation of Takayasu's arteritis likely due to distal carotid stump embolism.中风作为高安动脉炎的一种表现,可能是由于颈总动脉远端残端栓塞所致。
Intern Med. 2010;49(7):695-9. doi: 10.2169/internalmedicine.49.3033. Epub 2010 Apr 1.
9
Antiphospholipid syndrome: critical analysis of the diagnostic path.抗磷脂综合征:诊断路径的批判性分析。
Lupus. 2010 Apr;19(4):428-31. doi: 10.1177/0961203309360543.
10
Endovascular management of takayasu arteritis: is it a durable option?大动脉炎的血管内治疗:它是一种持久的选择吗?
Vascular. 2009 May-Jun;17(3):138-46. doi: 10.2310/6670.2009.00012.