Suppr超能文献

一名脊椎按摩治疗患者因无创伤性硬脊膜动静脉瘘伴脊髓周围高压导致截瘫:病例报告

Paraplegia in a chiropractic patient secondary to atraumatic dural arteriovenous fistula with perimedullary hypertension: case report.

作者信息

Foreman Stephen M, Stahl Michael J, Schultz Gary D

机构信息

Private practice of chiropractic, West Hills, California, USA.

出版信息

Chiropr Man Therap. 2013 Jul 8;21(1):23. doi: 10.1186/2045-709X-21-23.

Abstract

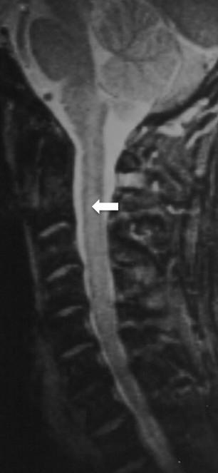
Intracranial dural arteriovenous fistulas are abnormal communications between higher-pressure arterial circulation and lower-pressure venous circulation. This abnormal communication can result in important and frequently misdiagnosed neurological abnormalities.A case of rapid onset paraplegia following cervical chiropractic manipulation is reviewed. The patient's generalized spinal cord edema, lower extremity paraplegia and upper extremity weakness, were initially believed to be a complication of the cervical spinal manipulation that had occurred earlier on the day of admission. Subsequent diagnostic testing determined the patient suffered from impaired circulation of the cervical spinal cord produced by a Type V intracranial arteriovenous fistula and resultant venous hypertension in the pontomesencephalic and anterior spinal veins.The clinical and imaging findings of an intracranial dural arteriovenous fistula with pontomesencephalic venous congestion and paraplegia are reviewed.This case report emphasizes the importance of thorough and serial diagnostic imaging in the presence of sudden onset paraplegia and the potential for error when concluding atypical neurological presentations are the result of therapeutic misadventure.

摘要

颅内硬脑膜动静脉瘘是高压动脉循环与低压静脉循环之间的异常连通。这种异常连通可导致重要且常被误诊的神经学异常。本文回顾了一例颈椎整脊手法治疗后迅速出现截瘫的病例。患者出现全身性脊髓水肿、下肢截瘫和上肢无力,最初被认为是入院当天早些时候进行颈椎手法治疗的并发症。随后的诊断测试确定患者患有由V型颅内动静脉瘘导致的颈段脊髓循环障碍以及脑桥中脑和脊髓前静脉的静脉高压。本文回顾了伴有脑桥中脑静脉淤血和截瘫的颅内硬脑膜动静脉瘘的临床和影像学表现。本病例报告强调了在突然发生截瘫时进行全面和系列诊断性影像学检查的重要性,以及在认定非典型神经学表现是治疗失误所致时可能出现的错误。

https://cdn.ncbi.nlm.nih.gov/pmc/blobs/0406/3710268/87bf441d9819/2045-709X-21-23-1.jpg

文献AI研究员

20分钟写一篇综述,助力文献阅读效率提升50倍。

立即体验

用中文搜PubMed

大模型驱动的PubMed中文搜索引擎

马上搜索

文档翻译

学术文献翻译模型,支持多种主流文档格式。

立即体验