Suppr超能文献

咯血作为胸主动脉腔内修复术后内漏的首发症状,导致主动脉破裂,需要进行复杂的处理。

Hemoptysis as a first symptom of endoleak after thoracic endovascular aortic repair, which caused aortic rupture and required complex management.

作者信息

Synowiec Tomasz, Warot Marcin, Burchard Paweł, Paschke Lukasz, Lysiak Zuzanna, Chęciński Paweł

机构信息

Department of General and Vascular Surgery and Angiology, Poznan University of Medical Sciences, Poznan, Poland.

出版信息

Wideochir Inne Tech Maloinwazyjne. 2013 Jun;8(2):178-81. doi: 10.5114/wiitm.2011.33453. Epub 2013 Feb 28.

Abstract

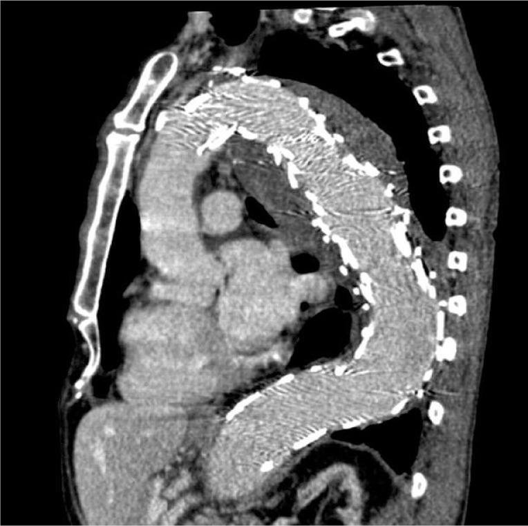
Thoracic endovascular aortic repair (TEVAR) has become the most common procedure in the treatment of thoracic aorta aneurysms. However, potential long-term complications of this technique could be life-threatening. Hemoptysis is a common symptom of lung tumor, especially cancer. On the other hand, hemoptysis can also be caused by bronchitis, tuberculosis, mycosis, and trauma. In this case report, we present a patient with hemoptysis and lung tumor suggesting lung cancer, which was a unique symptom of type IA endoleak after TEVAR and led to rupture of the thoracic aneurysm. It was decided to perform next an endovascular procedure due to the severe state of the patient. Next the thoracotomy was performed because drainage of the left pleural cavity was unsuccessful. In the last stage bronchoscopy was needed to remove the thrombus, which occluded the left main bronchi. Successful management has led to the patient's full recovery. Despite justified popularity of endovascular procedures in the treatment of thoracic aorta aneurysms, we should remember about potential long-term complications. Hemoptysis could be a unique symptom of the endoleak after TEVAR and treatment of such complications could be complex and demanding.

摘要

胸主动脉腔内修复术(TEVAR)已成为治疗胸主动脉瘤最常用的手术方法。然而,该技术潜在的长期并发症可能危及生命。咯血是肺部肿瘤尤其是癌症的常见症状。另一方面,咯血也可能由支气管炎、肺结核、真菌病和外伤引起。在本病例报告中,我们介绍了一名咯血且肺部有肿瘤提示肺癌的患者,咯血是TEVAR术后IA型内漏的独特症状,并导致胸主动脉瘤破裂。由于患者病情严重,决定接下来进行血管内手术。由于左胸腔引流不成功,接下来进行了开胸手术。在最后阶段,需要进行支气管镜检查以清除阻塞左主支气管的血栓。成功的治疗使患者完全康复。尽管血管内手术在治疗胸主动脉瘤方面有合理的应用,但我们应牢记潜在的长期并发症。咯血可能是TEVAR术后内漏的独特症状,此类并发症的治疗可能复杂且要求高。

https://cdn.ncbi.nlm.nih.gov/pmc/blobs/7c58/3699777/74d9f2759c12/WIITM-8-20339-g001.jpg

文献AI研究员

20分钟写一篇综述,助力文献阅读效率提升50倍。

立即体验

用中文搜PubMed

大模型驱动的PubMed中文搜索引擎

马上搜索

文档翻译

学术文献翻译模型,支持多种主流文档格式。

立即体验