Suppr超能文献

A rare case of stent graft-related endoleak during follow-up of aortic arch aneurysm F/B TEVAR.

作者信息

Li Miao, Liu Chen, Liu Zhao

机构信息

Department of Vascular Surgery, Nanjing Drum Tower Hospital, The Affiliated Hospital of Nanjing University Medical School, #321 Zhongshan Road, Nanjing 210008, China.

出版信息

J Surg Case Rep. 2025 Jun 23;2025(6):rjaf419. doi: 10.1093/jscr/rjaf419. eCollection 2025 Jun.

Abstract

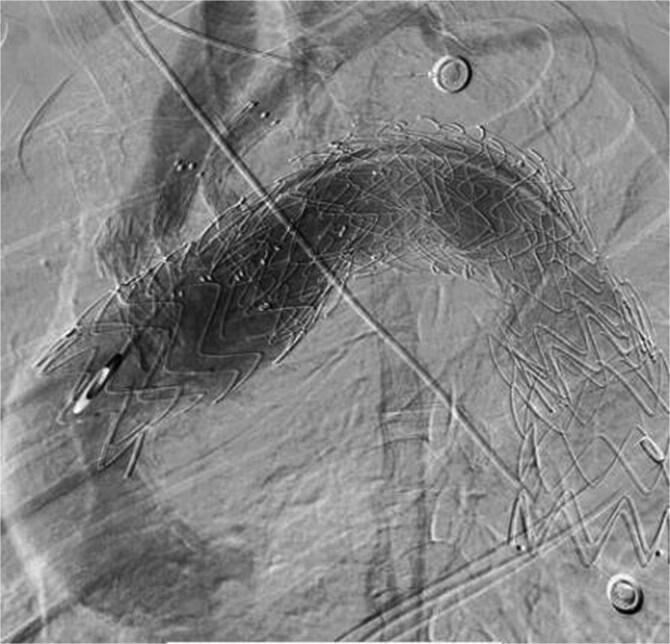
A 68-year-old male patient was hospitalized with a giant arch aneurysm. Using 3D printing guidance, the aneurysm was successfully sealed, but post-surgery, he developed severe complications. He remained in the intensive care unit for 52 days for observation and was discharged for rehabilitation. During follow-up, recurrent blood in sputum prompted a computed tomography scan revealing intracavitary leakage. After multiple treatments and assessments, it was determined that type IV endoleak resulted from the proximal bare stent graft puncturing the membranous portion of the aortic stent. Subsequent stent graft procedures and precise embolization successfully closed the leakage, resolving the symptoms.

摘要
https://cdn.ncbi.nlm.nih.gov/pmc/blobs/b30a/12206087/cd374bf005a2/rjaf419f1.jpg

文献AI研究员

20分钟写一篇综述,助力文献阅读效率提升50倍。

立即体验

用中文搜PubMed

大模型驱动的PubMed中文搜索引擎

马上搜索

文档翻译

学术文献翻译模型,支持多种主流文档格式。

立即体验