Suppr超能文献

晚期肾细胞癌靶向治疗期间危及生命的胃肠道出血:病例报告。

Life-threatening gastrointestinal bleeding during targeted therapy for advanced renal cell carcinoma: a case report.

机构信息

Department of Gastroenterology and Neurology, Kagawa University Faculty of Medicine/Graduate School of Medicine, 1750-1 Ikenobe, Miki-cho, Kita-gun, Kagawa Prefecture 761-0793, Japan.

出版信息

BMC Nephrol. 2013 Jul 10;14:141. doi: 10.1186/1471-2369-14-141.

Abstract

BACKGROUND

Temsirolimus has important clinical activity in both untreated and previously treated patients with advanced renal cell carcinoma. Targeted therapy-related stomatitis and mucositis have occurred during targeted therapies, but there is no consensus on which strategy is the most effective. We herein report a case in which several sessions of endoscopic hemostasis with argon plasma coagulation (APC) effectively resolved life-threatening gastrointestinal bleeding that had occurred during targeted therapy. This is the first case report of such an adverse drug reaction in the literature.

CASE PRESENTATION

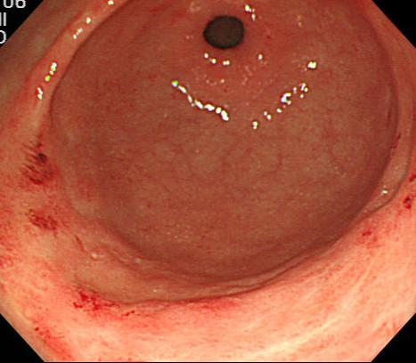
A 47-year-old female patient with advanced renal cell carcinoma was treated with temsirolimus. Eight weeks after starting targeted therapy, the patient was admitted to our hospital for worsened fatigue, pallor, and hematemesis. A complete blood count showed a marked drop in her hemoglobin level from 10.1 g/dl 4 days earlier to 2.9 g/dl. Esophagogastroduodenoscopy revealed diffuse mucosal bleeding of the antrum. Endoscopy revealed diffuse reddish spots that resembled gastric antral vascular ectasia (GAVE) extending from the pylorus into the antrum. One month after endoscopic hemostasis with APC and stopping temsirolimus, significant improvement was shown in the gastric erythema and GAVE like lesions.

CONCLUSION

Minor hemorrhagic events are relatively common in patients treated with targeted agents. Life-threatening hemorrhagic events are rarer than minor hemorrhagic complications. In the present case, endoscopic hemostasis with APC effectively prevented severe anemia and blood loss due to gastrointestinal bleeding.

摘要

背景

替西罗莫司在未经治疗和先前治疗的晚期肾细胞癌患者中具有重要的临床活性。靶向治疗相关的口腔炎和黏膜炎在靶向治疗期间发生,但对于哪种策略最有效尚无共识。我们在此报告一例在靶向治疗期间发生危及生命的胃肠道出血,经多次内镜氩等离子凝固(APC)止血治疗后有效缓解。这是文献中首例此类药物不良反应的病例报告。

病例介绍

一名 47 岁女性患有晚期肾细胞癌,接受替西罗莫司治疗。靶向治疗开始 8 周后,患者因疲劳、苍白和呕血入住我院。全血细胞计数显示其血红蛋白水平从 4 天前的 10.1 g/dl 明显下降至 2.9 g/dl。食管胃十二指肠镜检查显示胃窦弥漫性黏膜出血。内镜检查显示弥漫性红色斑点,类似于从幽门延伸至胃窦的胃窦血管扩张症(GAVE)。APC 内镜止血并停用替西罗莫司 1 个月后,胃红斑和 GAVE 样病变明显改善。

结论

接受靶向药物治疗的患者中,轻微出血事件较为常见。危及生命的出血事件比轻微出血并发症更为罕见。在本例中,APC 内镜止血有效预防了因胃肠道出血导致的严重贫血和失血。

https://cdn.ncbi.nlm.nih.gov/pmc/blobs/6903/3710497/0c9c375510d5/1471-2369-14-141-1.jpg

文献AI研究员

20分钟写一篇综述,助力文献阅读效率提升50倍。

立即体验

用中文搜PubMed

大模型驱动的PubMed中文搜索引擎

马上搜索

文档翻译

学术文献翻译模型,支持多种主流文档格式。

立即体验