Suppr超能文献

首次使用从冷冻保存在裸鼠中的未成熟睾丸组织中提取的精子生成活仔猪。

Generation of live piglets for the first time using sperm retrieved from immature testicular tissue cryopreserved and grafted into nude mice.

机构信息

Animal Development and Differentiation Research Unit, National Institute of Agrobiological Sciences, Tsukuba, Ibaraki, Japan.

出版信息

PLoS One. 2013 Jul 29;8(7):e70989. doi: 10.1371/journal.pone.0070989. Print 2013.

Abstract

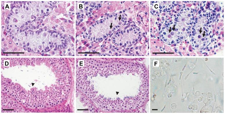
Cryopreservation of immature testicular tissues is essential for increasing the possibilities of offspring generation by testicular xenografting for agricultural or medical purposes. However, successful production of offspring from the sperm involved has never been reported previously. In the present study, therefore, using intracytoplasmic sperm injection (ICSI), we examined whether xenogeneic sperm obtained from immature pig testicular tissue after cryopreservation would have the capacity to produce live piglets. Testicular fragments from 9- to 11-day-old piglets were vitrified after 10- or 20-min immersion in vitrification solution containing ethylene glycol (EG), polyvinyl pyrrolidone (PVP) and trehalose as cryoprotectants, and then stored in liquid nitrogen for more than 140 days. Thirty nude mice were assigned to each immersion-time group. Testicular fragments were transplanted under the back skin of castrated mice immediately after warming and removal of the cryoprotectants. Blood and testicular grafts were then recovered from the recipient mice on days 60, 120, 180 and 230-350 (day 0 =  grafting). Histological assessment of the testicular grafts and analyses of inhibin and testosterone production revealed no significant differences between the two immersion-time groups, indicating equal growth activity of the cryopreserved tissues. A single sperm obtained from a mouse in each group on day 230-350 was injected into an in vitro-matured porcine oocyte, and then the ICSI oocytes were transferred to the oviducts of estrus-synchronized recipient gilts. One out of 4 gilts that had received oocytes fertilized using sperm from the 10-min immersion group delivered 2 live piglets, and one of another 4 gilts from the 20-min group delivered 4 live piglets. Thus, we have successfully generated porcine offspring utilizing sperm from immature testicular tissues after cryopreservation and transplantation into nude mice. The present model using pigs will be applicable to many large animals, since pigs are phylogenetically distant from the murine recipients.

摘要

为了增加通过睾丸异种移植农业或医学目的产生后代的可能性,对未成熟睾丸组织进行冷冻保存至关重要。然而,以前从未有报道过从冷冻保存的未成熟猪睾丸组织中获得的精子成功产生后代。因此,在本研究中,我们通过胞质内精子注射(ICSI)检查了从冷冻保存的 9-11 日龄猪睾丸组织中获得的异种精子是否具有产生活仔猪的能力。将含有乙二醇(EG)、聚乙烯吡咯烷酮(PVP)和海藻糖作为冷冻保护剂的冷冻溶液中浸泡 10 或 20 分钟的 9-11 日龄猪的睾丸片段进行玻璃化冷冻,然后在液氮中储存超过 140 天。每个浸泡时间组将 30 只裸鼠分配。在解冻和去除冷冻保护剂后,立即将睾丸片段移植到去势小鼠的背部皮肤下。然后从受体小鼠中回收血液和睾丸移植物,时间分别为第 60、120、180 和 230-350 天(第 0 天=移植物)。对睾丸移植物的组织学评估以及抑制素和睾酮产生的分析表明,两个浸泡时间组之间没有显着差异,表明冷冻保存组织具有相同的生长活性。在第 230-350 天,从每组中的一只小鼠中获得的单个精子被注射到体外成熟的猪卵母细胞中,然后将 ICSI 卵母细胞转移到发情同步受体母猪的输卵管中。在接受来自 10 分钟浸泡组的精子受精的卵母细胞的 4 头母猪中,有 1 头产下 2 头活仔猪,而在接受来自 20 分钟浸泡组的卵母细胞的另外 4 头母猪中,有 1 头产下 4 头活仔猪。因此,我们成功地利用冷冻保存和移植到裸鼠后的未成熟睾丸组织中的精子产生了猪后代。使用猪的这种模型将适用于许多大型动物,因为猪与鼠受体在系统发育上相距甚远。

https://cdn.ncbi.nlm.nih.gov/pmc/blobs/13e0/3726602/ecdc821d8925/pone.0070989.g001.jpg

文献AI研究员

20分钟写一篇综述,助力文献阅读效率提升50倍。

立即体验

用中文搜PubMed

大模型驱动的PubMed中文搜索引擎

马上搜索

文档翻译

学术文献翻译模型,支持多种主流文档格式。

立即体验