• 文献检索
  • 文档翻译
  • 深度研究
  • 学术资讯
  • Suppr Zotero 插件Zotero 插件
  • 邀请有礼
  • 套餐&价格
  • 历史记录
应用&插件
Suppr Zotero 插件Zotero 插件浏览器插件Mac 客户端Windows 客户端微信小程序
定价
高级版会员购买积分包购买API积分包
服务
文献检索文档翻译深度研究API 文档MCP 服务
关于我们
关于 Suppr公司介绍联系我们用户协议隐私条款
关注我们

Suppr 超能文献

核心技术专利:CN118964589B侵权必究
粤ICP备2023148730 号-1Suppr @ 2026

文献检索

告别复杂PubMed语法,用中文像聊天一样搜索,搜遍4000万医学文献。AI智能推荐,让科研检索更轻松。

立即免费搜索

文件翻译

保留排版,准确专业,支持PDF/Word/PPT等文件格式,支持 12+语言互译。

免费翻译文档

深度研究

AI帮你快速写综述,25分钟生成高质量综述,智能提取关键信息,辅助科研写作。

立即免费体验

原发性肾淋巴瘤伴弥漫性大B细胞型淋巴瘤的中枢神经系统受累

Central nervous system involvement of primary renal lymphoma with diffuse large B-cell type lymphoma.

作者信息

Hu Rong, Zhang Rong, Miao Miao, Zhu Ke, Yang Wei, Liu Zhuogang

机构信息

Department of Hematology, Shengjing Hospital, China Medical University, Shenyang, China.

出版信息

Am J Case Rep. 2013 Aug 2;14:292-4. doi: 10.12659/AJCR.889308. Print 2013.

DOI:10.12659/AJCR.889308
PMID:23940823
原文链接:https://pmc.ncbi.nlm.nih.gov/articles/PMC3735374/
Abstract

PATIENT

Female, 27 FINAL DIAGNOSIS: Central nervous system leukemia Symptoms: Abdominal mass • fever • nausea • vomitting

MEDICATION

  • Clinical Procedure: - Specialty: Hematology.

OBJECTIVE

Unusual clinical course.

BACKGROUND

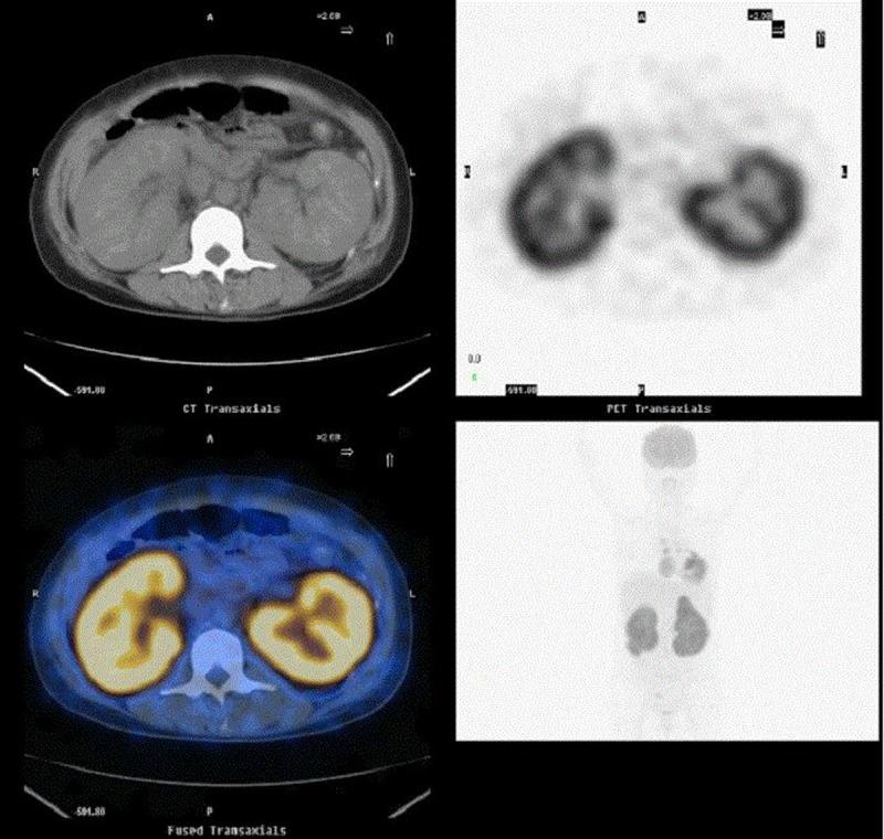
Primary lymphoma of urinary system is an uncommon entity including primary renal lymphoma, primary ureter lymphoma, bladder lymphoma, and urethra (including prostate) lymphoma. The pathology of PRL is usually diffuse large B-cell lymphoma.

CASE REPORT

In this study we describe a 27-year-old Chinese woman with central nervous system leukemia due to PRL. It was classified as diffuse large B-cell lymphoma non-GCB type according to kidney biopsy. We selected R-CHOP as a regimen and it showed good curative effect. However, the patient suffered recurrence involving the central nervous system with complaint of intolerable iliac-sacral pain at 26 days after 6 courses of R-CHOP.

CONCLUSIONS

This case shows that prognosis of PRL is poorer than nodal lymphoma. There is an urgent need for a more effective strategy with higher blood-brain barrier permeability.

摘要

患者

女性,27岁 最终诊断:中枢神经系统白血病 症状:腹部肿块、发热、恶心、呕吐

用药情况

  • 临床操作:- 专业:血液学

目的

不寻常的临床病程

背景

原发性泌尿系统淋巴瘤是一种罕见疾病,包括原发性肾淋巴瘤、原发性输尿管淋巴瘤、膀胱淋巴瘤和尿道(包括前列腺)淋巴瘤。原发性肾淋巴瘤的病理通常为弥漫性大B细胞淋巴瘤。

病例报告

在本研究中,我们描述了一名27岁的中国女性,因原发性肾淋巴瘤导致中枢神经系统白血病。根据肾活检,其被分类为非生发中心B细胞型弥漫性大B细胞淋巴瘤。我们选择R-CHOP方案,显示出良好的疗效。然而,该患者在接受6个疗程的R-CHOP治疗后26天复发,累及中枢神经系统,主诉骶髂部疼痛难忍。

结论

该病例表明,原发性肾淋巴瘤的预后比淋巴结淋巴瘤更差。迫切需要一种具有更高血脑屏障通透性的更有效策略。

https://cdn.ncbi.nlm.nih.gov/pmc/blobs/b5f2/3735374/379198541d62/amjcaserep-14-292-g001.jpg
https://cdn.ncbi.nlm.nih.gov/pmc/blobs/b5f2/3735374/379198541d62/amjcaserep-14-292-g001.jpg
https://cdn.ncbi.nlm.nih.gov/pmc/blobs/b5f2/3735374/379198541d62/amjcaserep-14-292-g001.jpg

相似文献

1
Central nervous system involvement of primary renal lymphoma with diffuse large B-cell type lymphoma.原发性肾淋巴瘤伴弥漫性大B细胞型淋巴瘤的中枢神经系统受累
Am J Case Rep. 2013 Aug 2;14:292-4. doi: 10.12659/AJCR.889308. Print 2013.
2
Diffuse large B-cell lymphoma with involvement of the kidney: outcome and risk of central nervous system relapse.弥漫性大 B 细胞淋巴瘤累及肾脏:结局和中枢神经系统复发风险。
Haematologica. 2011 Jul;96(7):1002-7. doi: 10.3324/haematol.2011.041277. Epub 2011 Apr 12.
3
[CNS involvement and the feasibility of intratecal chemotherapy administration in patients with a nodal form of diffuse large B-cell lymphoma not otherwise specified. Data of prospective study].[中枢神经系统受累情况以及未另行指定的结节型弥漫性大B细胞淋巴瘤患者鞘内化疗给药的可行性。前瞻性研究数据]
Ter Arkh. 2019 Jul 15;91(7):35-40. doi: 10.26442/00403660.2019.07.000323.
4
Primary renal diffuse large B-cell lymphoma with central nervous system involvement: a rare case report and literature review.原发性肾弥漫性大B细胞淋巴瘤伴中枢神经系统受累:1例罕见病例报告及文献复习
Int J Clin Exp Pathol. 2015 Jun 1;8(6):7045-9. eCollection 2015.
5
New risk factors and new tendency for central nervous system relapse in patients with diffuse large B-cell lymphoma: a retrospective study.弥漫性大B细胞淋巴瘤患者中枢神经系统复发的新危险因素及新趋势:一项回顾性研究
Chin J Cancer. 2016 Sep 13;35(1):87. doi: 10.1186/s40880-016-0150-y.
6
Primary central nervous system diffuse large B-cell lymphoma shows an activated B-cell-like phenotype with co-expression of C-MYC, BCL-2, and BCL-6.原发性中枢神经系统弥漫性大B细胞淋巴瘤表现为活化B细胞样表型,同时共表达C-MYC、BCL-2和BCL-6。
Pathol Res Pract. 2017 Jun;213(6):659-665. doi: 10.1016/j.prp.2017.02.012. Epub 2017 Feb 24.
7
Primary lymphoma of the kidney. Report of a case and update of the literature.原发性肾淋巴瘤。1例报告及文献综述
Arch Ital Urol Androl. 2002 Mar;74(1):44-7.
8
[Comparison the efficacy and prognosis of different first-line treatment for elderly diffuse large B-cell lymphoma].[比较老年弥漫性大B细胞淋巴瘤不同一线治疗的疗效及预后]
Zhonghua Zhong Liu Za Zhi. 2020 Mar 23;42(3):234-241. doi: 10.3760/cma.j.cn112152-20190705-00413.
9
Extranodal Diffuse Large B Cell Lymphoma: Molecular Features, Prognosis, and Risk of Central Nervous System Recurrence.结外弥漫性大 B 细胞淋巴瘤:分子特征、预后和中枢神经系统复发风险。
Curr Treat Options Oncol. 2018 Jun 21;19(8):38. doi: 10.1007/s11864-018-0555-8.
10
Cerebellar large B-cell lymphoma: a case report.小脑大B细胞淋巴瘤:一例报告
J Med Case Rep. 2018 Nov 17;12(1):341. doi: 10.1186/s13256-018-1880-z.

引用本文的文献

1
Molecular profiling of primary renal marginal zone lymphoma reveals overlapping features with extranodal marginal zone lymphoma.原发性肾边缘区淋巴瘤的分子谱分析揭示了与结外边缘区淋巴瘤重叠的特征。
Blood Adv. 2025 Jul 22;9(14):3658-3663. doi: 10.1182/bloodadvances.2025016263.
2
Primary renal lymphoma presenting as renal failure: A case report and review of literature from 1989.以肾衰竭为表现的原发性肾淋巴瘤:一例病例报告及1989年以来的文献综述
World J Clin Cases. 2023 Oct 16;11(29):7113-7126. doi: 10.12998/wjcc.v11.i29.7113.
3
Renal involvement of lymphomas proven by kidney biopsy: report of 10 cases from a tertiary care center and comparison with the literature.

本文引用的文献

1
Novel therapies for aggressive B-cell lymphoma.侵袭性B细胞淋巴瘤的新型疗法。
Adv Hematol. 2012;2012:302570. doi: 10.1155/2012/302570. Epub 2012 Mar 25.
2
Central nervous system (CNS) relapse in diffuse large B cell lymphoma (DLBCL): pre- and post-rituximab.中枢神经系统(CNS)复发弥漫性大 B 细胞淋巴瘤(DLBCL):利妥昔单抗治疗前后。
Ann Hematol. 2011 Jul;90(7):809-18. doi: 10.1007/s00277-010-1150-7. Epub 2011 Jan 13.
3
Renal cell carcinoma with non-Hodgkin's lymphoma infiltration: a case report.肾细胞癌伴非霍奇金淋巴瘤浸润:一例报告
肾活检证实的淋巴瘤肾脏受累:来自一家三级医疗中心的 10 例报告并与文献比较。
Int J Hematol. 2022 Nov;116(5):678-695. doi: 10.1007/s12185-022-03411-y. Epub 2022 Jul 13.
4
Systemic vs. intrathecal central nervous system prophylaxis in primary adrenal/renal diffuse large b-cell LYMPHOMA: A multi-institution retrospective analysis and systematic review.原发性肾上腺/肾弥漫性大B细胞淋巴瘤中全身与鞘内中枢神经系统预防:一项多机构回顾性分析与系统评价
Leuk Res Rep. 2021 Aug 3;16:100263. doi: 10.1016/j.lrr.2021.100263. eCollection 2021.
5
Enormous primary renal diffuse large B-cell lymphoma: A case report and literature review.巨大原发性肾弥漫性大B细胞淋巴瘤:一例报告及文献复习
J Int Med Res. 2019 Jun;47(6):2728-2739. doi: 10.1177/0300060519842049. Epub 2019 May 8.
6
Concomitant occurrence of primary renal non-Hodgkin lymphoma and a colon cancer: A rare case report.原发性肾非霍奇金淋巴瘤与结肠癌同时发生:一例罕见病例报告。
Medicine (Baltimore). 2019 Mar;98(10):e14802. doi: 10.1097/MD.0000000000014802.
7
Primary renal lymphoma: A case report and literature review.原发性肾淋巴瘤:一例报告及文献综述。
Oncol Lett. 2016 Nov;12(5):4001-4008. doi: 10.3892/ol.2016.5173. Epub 2016 Sep 22.
8
Primary Renal Lymphoma - A Case Report and Review of Literature.原发性肾淋巴瘤——一例报告及文献综述
J Clin Diagn Res. 2016 Sep;10(9):XD05-XD07. doi: 10.7860/JCDR/2016/20901.8577. Epub 2016 Sep 1.
9
Primary renal diffuse large B-cell lymphoma with central nervous system involvement: a rare case report and literature review.原发性肾弥漫性大B细胞淋巴瘤伴中枢神经系统受累:1例罕见病例报告及文献复习
Int J Clin Exp Pathol. 2015 Jun 1;8(6):7045-9. eCollection 2015.
10
Central nervous system prophylaxis in non-Hodgkin lymphoma: who, what, and when?非霍奇金淋巴瘤的中枢神经系统预防:对象、措施及时机?
Curr Oncol Rep. 2015 Jun;17(6):25. doi: 10.1007/s11912-015-0450-4.
Pathol Res Pract. 2007;203(8):625-7. doi: 10.1016/j.prp.2007.06.004. Epub 2007 Jul 26.
4
Lymphoma of the kidney: primary or initial manifestation of rapidly progressive systemic disease?肾淋巴瘤:快速进展性全身性疾病的原发性或初始表现?
Int Urol Nephrol. 2006;38(3-4):775-8. doi: 10.1007/s11255-005-4030-7.
5
Primary renal lymphoma does exist: case report and review of the literature.原发性肾淋巴瘤确实存在:病例报告及文献综述
J Nephrol. 2000 Sep-Oct;13(5):367-72.