Clostridia Research Group, BBSRC Sustainable BioEnergy Centre, School of Life Sciences, Centre for Biomolecular Sciences, University of Nottingham, University Park, Nottingham, NG7 2RD, UK.
Current address: Centre for Synthetic Biology and Innovation, Division of Molecular Biosciences, Imperial College London, South Kensington Campus, London, SW7 2AZ, UK.
Biotechnol Biofuels. 2013 Aug 20;6(1):117. doi: 10.1186/1754-6834-6-117.
Consolidated bioprocessing (CBP) is reliant on the simultaneous enzyme production, saccharification of biomass, and fermentation of released sugars into valuable products such as butanol. Clostridial species that produce butanol are, however, unable to grow on crystalline cellulose. In contrast, those saccharolytic species that produce predominantly ethanol, such as Clostridium thermocellum and Clostridium cellulolyticum, degrade crystalline cellulose with high efficiency due to their possession of a multienzyme complex termed the cellulosome. This has led to studies directed at endowing butanol-producing species with the genetic potential to produce a cellulosome, albeit by localising the necessary transgenes to unstable autonomous plasmids. Here we have explored the potential of our previously described Allele-Coupled Exchange (ACE) technology for creating strains of the butanol producing species Clostridium acetobutylicum in which the genes encoding the various cellulosome components are stably integrated into the genome.
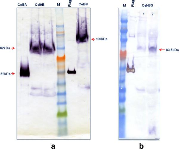
We used BioBrick2 (BB2) standardised parts to assemble a range of synthetic genes encoding C. thermocellum cellulosomal scaffoldin proteins (CipA variants) and glycoside hydrolases (GHs, Cel8A, Cel9B, Cel48S and Cel9K) as well as synthetic cellulosomal operons that direct the synthesis of Cel8A, Cel9B and a truncated form of CipA. All synthetic genes and operons were integrated into the C. acetobutylicum genome using the recently developed ACE technology. Heterologous protein expression levels and mini-cellulosome self-assembly were assayed by western blot and native PAGE analysis.
We demonstrate the successful expression, secretion and self-assembly of cellulosomal subunits by the recombinant C. acetobutylicum strains, providing a platform for the construction of novel cellulosomes.
整合生物加工(CBP)依赖于同时酶的产生、生物质的糖化以及释放的糖发酵成有价值的产品,如丁醇。然而,能够生产丁醇的梭菌不能在结晶纤维素上生长。相比之下,那些主要产生乙醇的糖化种,如热纤维梭菌和纤维梭菌,由于它们拥有一种多酶复合物,称为纤维素酶,能够高效地降解结晶纤维素。这导致了研究工作,旨在赋予生产丁醇的物种产生纤维素酶的遗传潜力,尽管通过将必要的转基因基因定位到不稳定的自主质粒上来实现。在这里,我们探索了我们之前描述的等位基因偶联交换(ACE)技术在创建稳定整合各种纤维素酶组件基因到基因组中的丁醇生产物种丙酮丁醇梭菌菌株中的潜力。
我们使用 BioBrick2(BB2)标准化部件组装了一系列合成基因,编码热纤维梭菌纤维素酶骨架蛋白(CipA 变体)和糖苷水解酶(GHs、Cel8A、Cel9B、Cel48S 和 Cel9K),以及指导 Cel8A、Cel9B 和 CipA 截断形式合成的合成纤维素酶基因簇。所有合成基因和基因簇都使用最近开发的 ACE 技术整合到丙酮丁醇梭菌基因组中。通过 Western blot 和天然 PAGE 分析检测异源蛋白表达水平和微型纤维素酶自组装。
我们证明了重组丙酮丁醇梭菌菌株成功表达、分泌和自组装纤维素酶亚基,为构建新型纤维素酶提供了一个平台。