• 文献检索
  • 文档翻译
  • 深度研究
  • 学术资讯
  • Suppr Zotero 插件Zotero 插件
  • 邀请有礼
  • 套餐&价格
  • 历史记录
应用&插件
Suppr Zotero 插件Zotero 插件浏览器插件Mac 客户端Windows 客户端微信小程序
定价
高级版会员购买积分包购买API积分包
服务
文献检索文档翻译深度研究API 文档MCP 服务
关于我们
关于 Suppr公司介绍联系我们用户协议隐私条款
关注我们

Suppr 超能文献

核心技术专利:CN118964589B侵权必究
粤ICP备2023148730 号-1Suppr @ 2026

文献检索

告别复杂PubMed语法,用中文像聊天一样搜索,搜遍4000万医学文献。AI智能推荐,让科研检索更轻松。

立即免费搜索

文件翻译

保留排版,准确专业,支持PDF/Word/PPT等文件格式,支持 12+语言互译。

免费翻译文档

深度研究

AI帮你快速写综述,25分钟生成高质量综述,智能提取关键信息,辅助科研写作。

立即免费体验

静脉内给予非离子型低渗造影剂行冠状动脉造影后出现迟发、不常见的非心源性肺水肿。

A delayed, unusual non-cardiogenic pulmonary edema after intravascular administration of non-ionic, low osmolar radiocontrast media for coronary angiography.

机构信息

Division of Cardiology, Department of Medicine, Seoul Paik Hospital, Inje University School of Medicine, Seoul, Korea.

出版信息

Korean Circ J. 2013 Jul;43(7):500-3. doi: 10.4070/kcj.2013.43.7.500. Epub 2013 Jul 31.

DOI:10.4070/kcj.2013.43.7.500
PMID:23964299
原文链接:https://pmc.ncbi.nlm.nih.gov/articles/PMC3744740/
Abstract

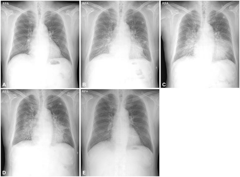
Non-cardiogenic pulmonary edema (NCPE) is a rare adverse reaction to iodinated radiocontrast media (RCM), in which all previous cases were immediate reactions. A 56-year-old male was given iopamidol, a non-ionic, low osmolar RCM, during coronary artery angiography. He developed pulmonary edema and fever a day after the procedure. Despite diuretic therapy, the patient's pulmonary edema worsened and his high fever persisted. The patient's pulmonary edema was eventually resolved with intravenous steroid treatment. We interpreted the patient's condition as NCPE manifesting as a delayed reaction to RCM. To our knowledge, our case is the first to show NCPE as a delayed hypersensitivity reaction.

摘要

非心源性肺水肿(NCPE)是碘造影剂(RCM)罕见的不良反应,此前所有病例均为即刻反应。一名 56 岁男性在冠状动脉造影期间使用了一种非离子型、低渗的 RCM 碘帕醇。在操作后一天,他出现肺水肿和发热。尽管给予利尿剂治疗,但患者的肺水肿仍恶化,高热持续。患者的肺水肿最终通过静脉注射类固醇治疗得到缓解。我们将患者的病情解释为 RCM 迟发性过敏反应引起的 NCPE。据我们所知,我们的病例是首例显示 NCPE 为迟发性过敏反应的病例。

https://cdn.ncbi.nlm.nih.gov/pmc/blobs/b2a9/3744740/0f90addec153/kcj-43-500-g003.jpg
https://cdn.ncbi.nlm.nih.gov/pmc/blobs/b2a9/3744740/39a8827f514f/kcj-43-500-g001.jpg
https://cdn.ncbi.nlm.nih.gov/pmc/blobs/b2a9/3744740/0df756ff36fc/kcj-43-500-g002.jpg
https://cdn.ncbi.nlm.nih.gov/pmc/blobs/b2a9/3744740/0f90addec153/kcj-43-500-g003.jpg
https://cdn.ncbi.nlm.nih.gov/pmc/blobs/b2a9/3744740/39a8827f514f/kcj-43-500-g001.jpg
https://cdn.ncbi.nlm.nih.gov/pmc/blobs/b2a9/3744740/0df756ff36fc/kcj-43-500-g002.jpg
https://cdn.ncbi.nlm.nih.gov/pmc/blobs/b2a9/3744740/0f90addec153/kcj-43-500-g003.jpg

相似文献

1
A delayed, unusual non-cardiogenic pulmonary edema after intravascular administration of non-ionic, low osmolar radiocontrast media for coronary angiography.静脉内给予非离子型低渗造影剂行冠状动脉造影后出现迟发、不常见的非心源性肺水肿。
Korean Circ J. 2013 Jul;43(7):500-3. doi: 10.4070/kcj.2013.43.7.500. Epub 2013 Jul 31.
2
Acute pulmonary edema induced by non-ionic low-osmolar radiographic contrast media.非离子型低渗性造影剂所致急性肺水肿
Open Access Emerg Med. 2018 Jun 14;10:75-79. doi: 10.2147/OAEM.S154081. eCollection 2018.
3
Fatal noncardiogenic pulmonary edema related to nonionic, iso-osmolar iodine contrast medium: one case report.与非离子型等渗碘造影剂相关的非心源性肺水肿致死病例报告。
BMC Pulm Med. 2022 Mar 31;22(1):118. doi: 10.1186/s12890-022-01908-0.
4
Radiocontrast Media Hypersensitivity: Skin Testing Differentiates Allergy From Nonallergic Reactions and Identifies a Safe Alternative as Proven by Intravenous Provocation.放射性对比剂超敏反应:皮肤试验可区分过敏反应与非过敏反应,并通过静脉激发试验证实安全替代药物。
J Allergy Clin Immunol Pract. 2019 Sep-Oct;7(7):2218-2224. doi: 10.1016/j.jaip.2019.04.005. Epub 2019 Apr 10.
5
Immediate and delayed hypersensitivity reactions to intravascular iodine based radiocontrast media -- an update.血管内碘基造影剂的速发型和迟发型超敏反应——最新进展
Pneumologia. 2013 Jan-Mar;62(1):47-51.
6
Varied incidence of immediate adverse reactions to low-osmolar non-ionic iodide radiocontrast media used in computed tomography.计算机断层扫描中使用的低渗非离子碘造影剂立即出现不良反应的发生率各异。
Clin Exp Allergy. 2017 Jan;47(1):106-112. doi: 10.1111/cea.12803. Epub 2016 Oct 12.
7
Water Lung: An Interesting Case of Non-cardiogenic Pulmonary Edema in a Heart Failure Patient.水肺:心力衰竭患者非心源性肺水肿的一个有趣病例。
Cureus. 2023 Nov 14;15(11):e48814. doi: 10.7759/cureus.48814. eCollection 2023 Nov.
8
Pharmacological prevention of delayed hypersensitivity reactions caused by iodinated contrast media.碘化造影剂所致迟发型超敏反应的药理学预防。
World Allergy Organ J. 2021 Jul 1;14(7):100561. doi: 10.1016/j.waojou.2021.100561. eCollection 2021 Jul.
9
Radiocontrast media-associated exanthema: identification of cross-reactivity and tolerability by allergologic testing.放射性对比剂相关性发疹:通过过敏试验鉴定交叉反应性和耐受性。
Eur J Radiol. 2009 Oct;72(1):167-71. doi: 10.1016/j.ejrad.2008.06.010. Epub 2008 Jul 14.
10
Immediate and delayed hypersensitivity after intra-arterial injection of iodinated contrast media: a prospective study in patients with coronary angiography.经动脉内注射碘造影剂后的即刻和迟发性超敏反应:冠状动脉造影患者的前瞻性研究。
Eur Radiol. 2019 Oct;29(10):5314-5321. doi: 10.1007/s00330-019-06138-3. Epub 2019 Apr 1.

引用本文的文献

1
Fatal noncardiogenic pulmonary edema related to nonionic, iso-osmolar iodine contrast medium: one case report.与非离子型等渗碘造影剂相关的非心源性肺水肿致死病例报告。
BMC Pulm Med. 2022 Mar 31;22(1):118. doi: 10.1186/s12890-022-01908-0.
2
Non-cardiogenic pulmonary oedema caused by iodine contrast medium.碘造影剂所致非心源性肺水肿
BMJ Case Rep. 2020 Dec 9;13(12):e239016. doi: 10.1136/bcr-2020-239016.
3
Acute pulmonary edema induced by non-ionic low-osmolar radiographic contrast media.非离子型低渗性造影剂所致急性肺水肿

本文引用的文献

1
Late adverse reactions to intravascular iodine based contrast media: an update.静脉碘造影剂的迟发不良反应:最新进展。
Eur Radiol. 2011 Nov;21(11):2305-10. doi: 10.1007/s00330-011-2200-9. Epub 2011 Jul 16.
2
Anaphylactoid reactions to radiocontrast agents: prevention and treatment in the cardiac catheterization laboratory.造影剂类过敏反应:心脏导管室中的预防与治疗
J Invasive Cardiol. 2009 Oct;21(10):548-51.
3
Immediate and delayed reactions to radiocontrast media: is there an allergic mechanism?放射性造影剂的即刻和延迟反应:是否存在过敏机制?
Open Access Emerg Med. 2018 Jun 14;10:75-79. doi: 10.2147/OAEM.S154081. eCollection 2018.
4
Non-cardiogenic acute pulmonary edema in elderly patient with Dressler syndrome associated pulmonary embolism.老年患者患德雷斯勒综合征合并肺栓塞时的非心源性急性肺水肿
J Geriatr Cardiol. 2016 Dec;13(12):998-1001. doi: 10.11909/j.issn.1671-5411.2016.12.009.
Immunol Allergy Clin North Am. 2009 Aug;29(3):453-68. doi: 10.1016/j.iac.2009.04.001.
4
Adverse reactions to intravenous iodinated contrast media: a primer for radiologists.静脉注射碘造影剂的不良反应:放射科医生入门指南
Emerg Radiol. 2006 Jul;12(5):210-5. doi: 10.1007/s10140-006-0488-6. Epub 2006 May 11.
5
[Non-cardiogenic pulmonary edema induced by non-ionic radiographic contrast media during the coil embolization for a ruptured cerebral aneurysm].[脑动脉瘤破裂弹簧圈栓塞术中非离子型造影剂诱发非心源性肺水肿]
No Shinkei Geka. 2005 Jul;33(7):703-7.
6
Management of hypersensitivity reactions to iodinated contrast media.碘化造影剂过敏反应的管理。
Allergy. 2005 Feb;60(2):150-8. doi: 10.1111/j.1398-9995.2005.00745.x.
7
Late adverse reactions to intravascular iodinated contrast media.血管内碘化造影剂的迟发不良反应。
Eur Radiol. 2003 Jan;13(1):181-4. doi: 10.1007/s00330-002-1650-5. Epub 2002 Sep 10.
8
Late-onset allergy-like reactions to X-ray contrast media.对X线造影剂的迟发性过敏样反应。
Curr Opin Allergy Clin Immunol. 2002 Aug;2(4):333-9. doi: 10.1097/00130832-200208000-00007.
9
Fatal non-cardiogenic pulmonary oedema after intravenous non-ionic radiographic contrast.静脉注射非离子型放射造影剂后发生的致命性非心源性肺水肿。
Lancet. 2002 Mar 23;359(9311):1037-8. doi: 10.1016/s0140-6736(02)08068-6.
10
Delayed adverse reaction to nonionic contrast agents.非离子型造影剂的迟发性不良反应。
Pediatr Radiol. 2001 Aug;31(8):597-9. doi: 10.1007/s002470100483.