Suppr超能文献

感染经典牛海绵状脑病的牛骨骼肌中存在与疾病相关的朊病毒蛋白。

The presence of disease-associated prion protein in skeletal muscle of cattle infected with classical bovine spongiform encephalopathy.

作者信息

Okada Hiroyuki, Miyazawa Kohtaro, Fukuda Shigeo, Iwamaru Yoshifumi, Imamura Morikazu, Masujin Kentaro, Matsuura Yuichi, Fujii Takashi, Fujii Kei, Kageyama Soichi, Yoshioka Miyako, Murayama Yuichi, Yokoyama Takashi

机构信息

National Institute of Animal Health, National Agriculture and Food Research Organization, Tsukuba, Ibaraki 305-0856, Japan.

出版信息

J Vet Med Sci. 2014 Jan;76(1):103-7. doi: 10.1292/jvms.13-0363. Epub 2013 Aug 27.

Abstract

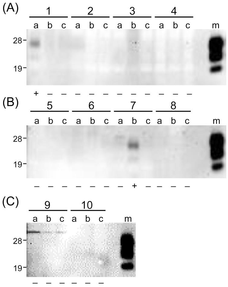
The aim of this study was to investigate the presence of disease-associated prion protein (PrP(Sc)) in the skeletal muscle of cattle infected with classical bovine spongiform encephalopathy (C-BSE). The study was carried out systematically in 12 different muscle samples from 43 (3 field and 40 experimental) cases of C-BSE; however, muscle spindles were not available in many of these cases. Therefore, analysis became restricted to a total of 31 muscles in 23 cattle. Even after this restriction, low levels of PrP(Sc) were detected in the muscle spindles of the masseter, intercostal, triceps brachii, psoas major, quadriceps femoris and semitendinosus muscles from 3 field and 6 experimental clinical-stage cases. The present data indicate that small amounts of PrP(Sc) are detectable by immunohistochemistry in the skeletal muscles of animals terminally affected with C-BSE.

摘要

本研究的目的是调查感染经典牛海绵状脑病(C-BSE)的牛骨骼肌中是否存在疾病相关朊病毒蛋白(PrP(Sc))。该研究对43例(3例田间病例和40例实验病例)C-BSE病例的12种不同肌肉样本进行了系统检测;然而,许多病例中没有肌肉纺锤体。因此,分析仅限于23头牛的总共31块肌肉。即使经过这种限制,在3例田间病例和6例实验临床阶段病例的咬肌、肋间肌、肱三头肌、腰大肌、股四头肌和半腱肌的肌肉纺锤体中仍检测到低水平的PrP(Sc)。目前的数据表明,通过免疫组织化学在终末期感染C-BSE的动物骨骼肌中可检测到少量PrP(Sc)。

https://cdn.ncbi.nlm.nih.gov/pmc/blobs/9b3a/3979948/2cdabc931bc3/jvms-76-103-g001.jpg

文献AI研究员

20分钟写一篇综述,助力文献阅读效率提升50倍。

立即体验

用中文搜PubMed

大模型驱动的PubMed中文搜索引擎

马上搜索

文档翻译

学术文献翻译模型,支持多种主流文档格式。

立即体验