Suppr超能文献

胰体尾切除术后胰瘘的发生率及内镜治疗的疗效:来自三级医疗中心的结果

Incidence of pancreatic fistula after distal pancreatectomy and efficacy of endoscopic therapy for its management: results from a tertiary care center.

作者信息

Reddymasu Savio C, Pakseresht Kavous, Moloney Brian, Alsop Benjamin, Oropezia-Vail Melissa, Olyaee Mojtaba

机构信息

Division of Gastroenterology and Hepatology, Department of Internal Medicine, Creighton University Medical Center, Omaha, Nebr., USA.

出版信息

Case Rep Gastroenterol. 2013 Aug 16;7(2):332-9. doi: 10.1159/000354136. eCollection 2013.

Abstract

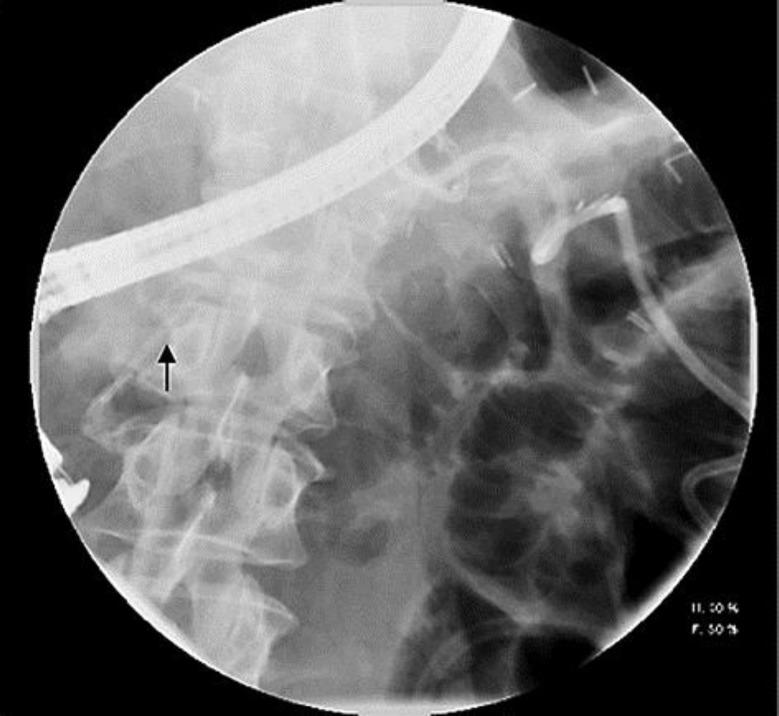
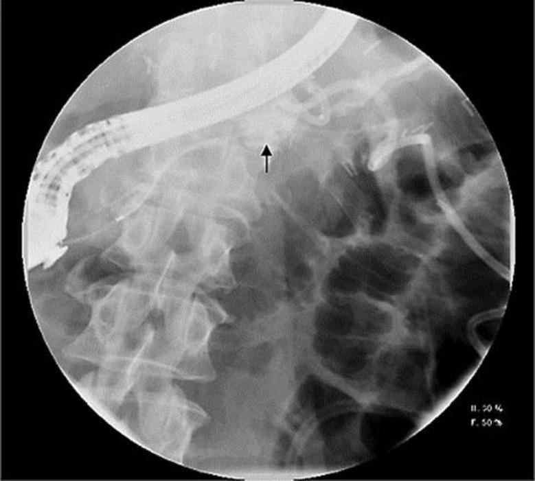
Pancreatic fistula is a known complication of distal pancreatectomy. Endotherapy with pancreatic duct stent placement and pancreatic sphincterotomy has been shown to be effective in its management; however, experience of endotherapy in the management of this complication has not been extensively reported from the United States. Preoperative endoscopic retrograde cholangiopancreatography (ERCP) with pancreatic stent placement has also been proposed to prevent this complication after distal pancreatectomy. In our cohort of 59 patients who underwent distal pancreatectomy, 13 (22%) developed a pancreatic fistula in the immediate postoperative period, of whom 8 (14%) patients (5 female, mean age 52 years) were referred for an ERCP because of ongoing symptoms related to the pancreatic fistula. The pancreatic fistula resolved in all patients after a median duration of 62 days from the index ERCP. The median number of ERCPs required to document resolution of the pancreatic fistula was 2. Although a sizeable percentage of patients develop a pancreatic fistula after distal pancreatectomy, only a small percentage of patients require ERCP for management of this complication. Given the high success rate of endotherapy in resolving pancreatic fistula and the fact that the majority of patients who undergo distal pancreatectomy never require an ERCP, performing ERCP for prophylactic pancreatic duct stent prior to distal pancreatectomy might not be necessary.

摘要

胰瘘是胰体尾切除术已知的并发症。胰管支架置入和胰管括约肌切开术的内镜治疗已被证明对其治疗有效;然而,美国尚未广泛报道内镜治疗该并发症的经验。术前内镜逆行胰胆管造影(ERCP)并放置胰管支架也被提议用于预防胰体尾切除术后的这种并发症。在我们的59例接受胰体尾切除术的患者队列中,13例(22%)在术后即刻发生了胰瘘,其中8例(14%)患者(5例女性,平均年龄52岁)因与胰瘘相关的持续症状而接受ERCP检查。自首次ERCP起,所有患者的胰瘘在中位时间62天后均得到解决。记录胰瘘解决所需的ERCP中位次数为2次。尽管相当比例的患者在胰体尾切除术后发生胰瘘,但只有一小部分患者需要ERCP来处理这种并发症。鉴于内镜治疗解决胰瘘的成功率很高,且大多数接受胰体尾切除术的患者从未需要ERCP,在胰体尾切除术前行ERCP预防性放置胰管支架可能没有必要。

https://cdn.ncbi.nlm.nih.gov/pmc/blobs/72bc/3764947/695801ec0411/crg-0007-0332-g01.jpg

文献AI研究员

20分钟写一篇综述,助力文献阅读效率提升50倍。

立即体验

用中文搜PubMed

大模型驱动的PubMed中文搜索引擎

马上搜索

文档翻译

学术文献翻译模型,支持多种主流文档格式。

立即体验