Suppr超能文献

脊柱骨母细胞瘤的临床特征和手术治疗:18 例回顾性研究。

Clinical features and surgical management of spinal osteoblastoma: a retrospective study in 18 cases.

机构信息

Department of Orthopaedics, First Affiliated Hospital of PLA General Hospital, Beijing, the People's Republic of China.

出版信息

PLoS One. 2013 Sep 18;8(9):e74635. doi: 10.1371/journal.pone.0074635. eCollection 2013.

Abstract

OBJECTIVES

To investigate the clinical manifestation and surgical outcome of spinal osteoblastoma.

METHODS

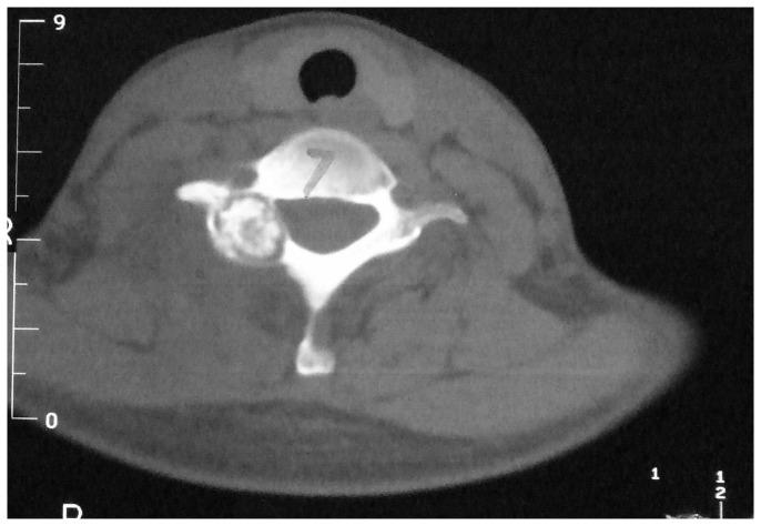
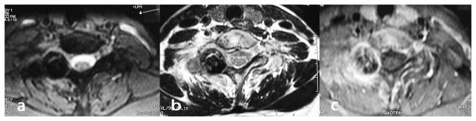
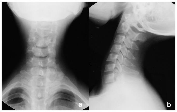
From June 2006 to July 2011, 18 patients with spinal osteoblastoma treated surgically were analyzed retrospectively. There were 11 males and 7 females with an average age of 27.5 years(range, 16-38 years). The tumors were located at C5 in 7, C6 in 6, C7 in 3, C6-T1 1 in 1 and T11 in 1. Based on WBB classification, 16 were 1-3 or 10-12 and 2 were 4-9 and 1-3. 18 operations had been performed with en bloc resection. A posterior approach was used for 16 patients, and a combined posterior and anterior approach was used for 2 patients. Reconstruction using instrumentation and fusion was performed using spinal instrumentation in 13 patients. We used visual analogue scales (VAS) to evaluate the change of pain before and after the operation, and the McCormick System to assess functional status of the spine. Imaging test was used to review the stability and recurrence rate of spine cord, and the confluence of graft bones.

RESULTS

All cases were followed up for 24-80 months (average, 38.4 months). The average surgical time was 120.8 minutes (range, 80-220 minutes), with the average intraoperative blood loss of 520 ml (range, 300-1200 ml). During the follow-up period, the VAS grade reduced from 6.46±1.32 to 2.26±1.05 (P <0.05). 15 patients had neurological function improved and 3 remained no change which was evaluated by McCormick scale for spinal function status at final follow-up.

CONCLUSIONS

Spinal osteoblastoma has its own specific radiographic features. There is some recurrence in simple curettage of tumor lesion. The thoroughly en bloc resection of tumor or spondylectomy, bone fusion and strong in Ter fixation are the key points for successful surgical treatment.

摘要

目的

探讨脊柱骨母细胞瘤的临床表现和手术疗效。

方法

回顾性分析 2006 年 6 月至 2011 年 7 月手术治疗的 18 例脊柱骨母细胞瘤患者的临床资料。男 11 例,女 7 例;年龄 16~38 岁,平均 27.5 岁。肿瘤位于 C5 7 例,C6 6 例,C7 3 例,C6-T1 1 例,T11 1 例。根据 WBB 分类,Ⅰ型 16 例,Ⅱ型 2 例。18 例患者均采用整块切除,其中 16 例采用后路,2 例采用前后联合入路。13 例行脊柱内固定植骨融合术。采用视觉模拟评分(VAS)评估术前、术后疼痛变化,采用 McCormick 系统评估脊柱功能状况。影像学检查评价脊柱脊髓稳定性和肿瘤复发情况,评估植骨融合情况。

结果

本组患者均获随访,随访时间 24~80 个月,平均 38.4 个月。手术时间 80~220 min,平均 120.8 min;术中出血量 300~1200 ml,平均 520 ml。随访期间,VAS 评分由术前的 6.46±1.32 分降至术后的 2.26±1.05 分,差异有统计学意义(P<0.05)。术后 15 例患者神经功能改善,3 例无变化。末次随访时,根据 McCormick 分级评价脊柱功能,优 11 例,良 5 例,可 2 例。

结论

脊柱骨母细胞瘤具有特征性影像学表现,单纯肿瘤刮除有一定复发率。彻底的肿瘤整块切除或肿瘤椎体切除、植骨融合和坚强内固定是手术成功的关键。

https://cdn.ncbi.nlm.nih.gov/pmc/blobs/e8a0/3776745/76b757499130/pone.0074635.g001.jpg

文献AI研究员

20分钟写一篇综述,助力文献阅读效率提升50倍。

立即体验

用中文搜PubMed

大模型驱动的PubMed中文搜索引擎

马上搜索

文档翻译

学术文献翻译模型,支持多种主流文档格式。

立即体验