Suppr超能文献

胸腔内胃扭转:一种严重的、延迟性手术并发症,发生于行左膈下腹膜切除术和腹腔内热灌注化疗(HIPEC)治疗晚期卵巢癌之后。

Intrathoracic gastric volvulus as a severe, delayed surgical complication after left subphrenic peritonectomy and hyperthermic intraperitoneal chemotherapy (HIPEC) for advanced ovarian cancer.

机构信息

Department of Surgical Sciences "F, Durante", Policlinico Umberto I, Viale del Policlinico 155, 00161 Roma, Italy.

出版信息

World J Surg Oncol. 2013 Sep 23;11:239. doi: 10.1186/1477-7819-11-239.

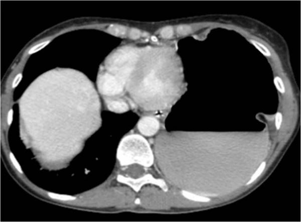
Abstract

Patients with extensive peritoneal spread from advanced ovarian cancer often undergo several upper abdominal surgical procedures including subphrenic peritonectomy to obtain optimal cytoreduction. The most common complications are pleural effusions, pancreatic leakage and endoabdominal collections. This case report describes an unusual complication, a diaphragmatic hernia with an intrathoracic gastric volvulus developing four months after the patient underwent left subphrenic peritonectomy during interval debulking surgery and hyperthermic intraperitoneal chemotherapy for advanced ovarian cancer.

摘要

患有晚期卵巢癌广泛腹膜播散的患者通常需要进行多次上腹部手术,包括膈下腹膜切除术,以获得最佳的减瘤效果。最常见的并发症是胸腔积液、胰漏和腹腔内脓肿。本病例报告描述了一种罕见的并发症,即在接受左膈下腹膜切除术和腹腔内热灌注化疗治疗晚期卵巢癌的间隔减瘤手术后四个月,发生了膈疝和胸腔内胃扭转。

https://cdn.ncbi.nlm.nih.gov/pmc/blobs/7e2a/3850928/648288078baf/1477-7819-11-239-1.jpg

文献AI研究员

20分钟写一篇综述,助力文献阅读效率提升50倍。

立即体验

用中文搜PubMed

大模型驱动的PubMed中文搜索引擎

马上搜索

文档翻译

学术文献翻译模型,支持多种主流文档格式。

立即体验