• 文献检索
  • 文档翻译
  • 深度研究
  • 学术资讯
  • Suppr Zotero 插件Zotero 插件
  • 邀请有礼
  • 套餐&价格
  • 历史记录
应用&插件
Suppr Zotero 插件Zotero 插件浏览器插件Mac 客户端Windows 客户端微信小程序
定价
高级版会员购买积分包购买API积分包
服务
文献检索文档翻译深度研究API 文档MCP 服务
关于我们
关于 Suppr公司介绍联系我们用户协议隐私条款
关注我们

Suppr 超能文献

核心技术专利:CN118964589B侵权必究
粤ICP备2023148730 号-1Suppr @ 2026

文献检索

告别复杂PubMed语法,用中文像聊天一样搜索,搜遍4000万医学文献。AI智能推荐,让科研检索更轻松。

立即免费搜索

文件翻译

保留排版,准确专业,支持PDF/Word/PPT等文件格式,支持 12+语言互译。

免费翻译文档

深度研究

AI帮你快速写综述,25分钟生成高质量综述,智能提取关键信息,辅助科研写作。

立即免费体验

铜增强单加氧酶活性和三氯乙烯降解菌:嗜麦芽寡养单胞菌 PM102 生物转化产物的傅里叶变换红外光谱特征。

Copper enhanced monooxygenase activity and FT-IR spectroscopic characterisation of biotransformation products in trichloroethylene degrading bacterium: Stenotrophomonas maltophilia PM102.

机构信息

Department of Biotechnology, Burdwan University, Golapbag, Burdwan, West Bengal, 713104, India.

出版信息

Biomed Res Int. 2013;2013:723680. doi: 10.1155/2013/723680. Epub 2013 Sep 8.

DOI:10.1155/2013/723680
PMID:24083236
原文链接:https://pmc.ncbi.nlm.nih.gov/articles/PMC3780474/
Abstract

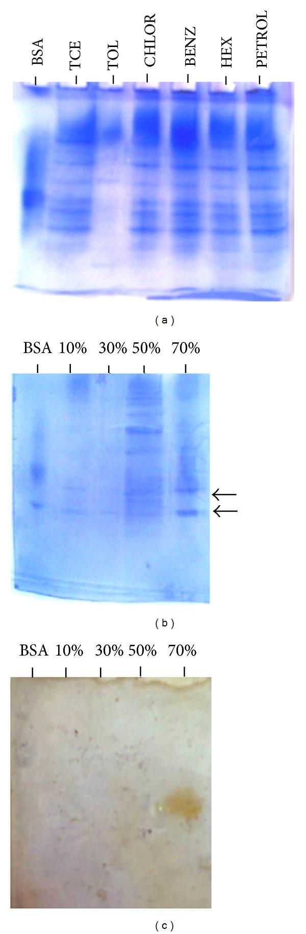
Stenotrophomonas maltophilia PM102 (NCBI GenBank Acc. no. JQ797560) is capable of growth on trichloroethylene as the sole carbon source. In this paper, we report the purification and characterisation of oxygenase present in the PM102 isolate. Enzyme activity was found to be induced 10.3-fold in presence of 0.7 mM copper with a further increment to 14.96-fold in presence of 0.05 mM NADH. Optimum temperature for oxygenase activity was recorded at 36°C. The reported enzyme was found to have enhanced activity at pH 5 and pH 8, indicating presence of two isoforms. Maximum activity was seen on incubation with benzene compared to other substrates like TCE, chloroform, toluene, hexane, and petroleum benzene. K(m) and V(max) for benzene were 3.8 mM and 340 U/mg/min and those for TCE were 2.1 mM and 170 U/mg/min. The crude enzyme was partially purified by ammonium sulphate precipitation followed by dialysis. Zymogram analysis revealed two isoforms in the 70% purified enzyme fraction. The activity stain was more prominent when the native gel was incubated in benzene as substrate in comparison to TCE. Crude enzyme and purified enzyme fractions were assayed for TCE degradation by the Fujiwara test. TCE biotransformation products were analysed by FT-IR spectroscopy.

摘要

嗜麦芽寡养单胞菌 PM102(NCBI GenBank 登录号 JQ797560)能够以三氯乙烯为唯一碳源生长。在本文中,我们报告了 PM102 分离物中存在的加氧酶的纯化和特性。在存在 0.7 mM 铜的情况下,酶活性诱导了 10.3 倍,在存在 0.05 mM NADH 的情况下进一步增加到 14.96 倍。氧合酶活性的最适温度记录在 36°C。报道的酶在 pH 5 和 pH 8 下表现出增强的活性,表明存在两种同工酶。与其他底物如 TCE、氯仿、甲苯、己烷和石油苯相比,与苯孵育时酶的活性最高。苯的 K(m)和 V(max)分别为 3.8 mM 和 340 U/mg/min,TCE 的 K(m)和 V(max)分别为 2.1 mM 和 170 U/mg/min。粗酶通过硫酸铵沉淀和透析进行部分纯化。70%纯化酶级分的同工酶分析显示出两种同工酶。与 TCE 相比,当在苯作为底物孵育时,天然凝胶的活性染色更为明显。用 Fujiwara 试验测定粗酶和纯化酶级分对 TCE 的降解。用傅里叶变换红外光谱法分析 TCE 生物转化产物。

https://cdn.ncbi.nlm.nih.gov/pmc/blobs/5e6b/3780474/d9bc16ebc8f6/BMRI2013-723680.008.jpg
https://cdn.ncbi.nlm.nih.gov/pmc/blobs/5e6b/3780474/eb948d858e0a/BMRI2013-723680.001.jpg
https://cdn.ncbi.nlm.nih.gov/pmc/blobs/5e6b/3780474/0dac225b542d/BMRI2013-723680.002.jpg
https://cdn.ncbi.nlm.nih.gov/pmc/blobs/5e6b/3780474/37451a506187/BMRI2013-723680.003.jpg
https://cdn.ncbi.nlm.nih.gov/pmc/blobs/5e6b/3780474/eec186769f72/BMRI2013-723680.004.jpg
https://cdn.ncbi.nlm.nih.gov/pmc/blobs/5e6b/3780474/e7dcedf1ee4f/BMRI2013-723680.005.jpg
https://cdn.ncbi.nlm.nih.gov/pmc/blobs/5e6b/3780474/dae9b0235577/BMRI2013-723680.006.jpg
https://cdn.ncbi.nlm.nih.gov/pmc/blobs/5e6b/3780474/b0881c4b0700/BMRI2013-723680.007.jpg
https://cdn.ncbi.nlm.nih.gov/pmc/blobs/5e6b/3780474/d9bc16ebc8f6/BMRI2013-723680.008.jpg
https://cdn.ncbi.nlm.nih.gov/pmc/blobs/5e6b/3780474/eb948d858e0a/BMRI2013-723680.001.jpg
https://cdn.ncbi.nlm.nih.gov/pmc/blobs/5e6b/3780474/0dac225b542d/BMRI2013-723680.002.jpg
https://cdn.ncbi.nlm.nih.gov/pmc/blobs/5e6b/3780474/37451a506187/BMRI2013-723680.003.jpg
https://cdn.ncbi.nlm.nih.gov/pmc/blobs/5e6b/3780474/eec186769f72/BMRI2013-723680.004.jpg
https://cdn.ncbi.nlm.nih.gov/pmc/blobs/5e6b/3780474/e7dcedf1ee4f/BMRI2013-723680.005.jpg
https://cdn.ncbi.nlm.nih.gov/pmc/blobs/5e6b/3780474/dae9b0235577/BMRI2013-723680.006.jpg
https://cdn.ncbi.nlm.nih.gov/pmc/blobs/5e6b/3780474/b0881c4b0700/BMRI2013-723680.007.jpg
https://cdn.ncbi.nlm.nih.gov/pmc/blobs/5e6b/3780474/d9bc16ebc8f6/BMRI2013-723680.008.jpg

相似文献

1
Copper enhanced monooxygenase activity and FT-IR spectroscopic characterisation of biotransformation products in trichloroethylene degrading bacterium: Stenotrophomonas maltophilia PM102.铜增强单加氧酶活性和三氯乙烯降解菌:嗜麦芽寡养单胞菌 PM102 生物转化产物的傅里叶变换红外光谱特征。
Biomed Res Int. 2013;2013:723680. doi: 10.1155/2013/723680. Epub 2013 Sep 8.
2
Persistent organic pollutants induced protein expression and immunocrossreactivity by Stenotrophomonas maltophilia PM102: a prospective bioremediating candidate.持久有机污染物诱导嗜麦芽寡养单胞菌 PM102 蛋白表达和免疫交叉反应:一种有前景的生物修复候选菌。
Biomed Res Int. 2013;2013:714232. doi: 10.1155/2013/714232. Epub 2013 Jun 26.
3
Purification and identification of trichloroethylene induced proteins from Stenotrophomonas maltophilia PM102 by immuno-affinity-chromatography and MALDI-TOF Mass spectrometry.通过免疫亲和色谱法和基质辅助激光解吸电离飞行时间质谱法从嗜麦芽窄食单胞菌PM102中纯化和鉴定三氯乙烯诱导蛋白
Springerplus. 2013 May 7;2(1):207. doi: 10.1186/2193-1801-2-207. Print 2013 Dec.
4
Treatment of co-mingled benzene, toluene and TCE in groundwater.地下水混合苯、甲苯和 TCE 的处理。
J Hazard Mater. 2014 Jun 30;275:116-20. doi: 10.1016/j.jhazmat.2014.04.057. Epub 2014 May 2.
5
Modulation of FAD-dependent monooxygenase activity from aromatic compounds-degrading Stenotrophomonas maltophilia strain KB2.嗜麦芽窄食单胞菌KB2菌株对芳香化合物降解过程中FAD依赖的单加氧酶活性的调控
Acta Biochim Pol. 2011;58(3):421-6. Epub 2011 Sep 16.
6
Addition of aromatic substrates restores trichloroethylene degradation activity in Pseudomonas putida F1.添加芳香族底物可恢复恶臭假单胞菌F1中的三氯乙烯降解活性。
Appl Environ Microbiol. 2004 May;70(5):2830-5. doi: 10.1128/AEM.70.5.2830-2835.2004.
7
Degradation characteristics of toluene, benzene, ethylbenzene, and xylene by Stenotrophomonas maltophilia T3-c.嗜麦芽窄食单胞菌T3-c对甲苯、苯、乙苯和二甲苯的降解特性
J Air Waste Manag Assoc. 2002 Apr;52(4):400-6. doi: 10.1080/10473289.2002.10470796.
8
Trichloroethylene oxidation by purified toluene 2-monooxygenase: products, kinetics, and turnover-dependent inactivation.纯化的甲苯2-单加氧酶催化三氯乙烯氧化:产物、动力学及周转依赖性失活
J Bacteriol. 1997 Jan;179(1):90-6. doi: 10.1128/jb.179.1.90-96.1997.
9
Cytotoxicity associated with trichloroethylene oxidation in Burkholderia cepacia G4.洋葱伯克霍尔德菌G4中与三氯乙烯氧化相关的细胞毒性。
Appl Environ Microbiol. 2001 May;67(5):2107-15. doi: 10.1128/AEM.67.5.2107-2115.2001.
10
Bio-removal of mixture of benzene, toluene, ethylbenzene, and xylenes/total petroleum hydrocarbons/trichloroethylene from contaminated water.从受污染水中生物去除苯、甲苯、乙苯、二甲苯/总石油烃/三氯乙烯混合物。
J Environ Sci (China). 2009;21(6):758-63. doi: 10.1016/s1001-0742(08)62337-2.

引用本文的文献

1
Aerobic and Anaerobic Biodegradation of 1,2-Dibromoethane by a Microbial Consortium under Simulated Groundwater Conditions.在模拟地下水条件下微生物共代谢对 1,2-二溴乙烷的好氧和厌氧生物降解作用。
Int J Environ Res Public Health. 2019 Oct 8;16(19):3775. doi: 10.3390/ijerph16193775.
2
Degradation of Chrysene by Enriched Bacterial Consortium.富集细菌群落对屈的降解作用
Front Microbiol. 2018 Jun 26;9:1333. doi: 10.3389/fmicb.2018.01333. eCollection 2018.
3
Metabolism of pyrene through phthalic acid pathway by enriched bacterial consortium composed of Pseudomonas, Burkholderia, and Rhodococcus (PBR).

本文引用的文献

1
Persistent organic pollutants induced protein expression and immunocrossreactivity by Stenotrophomonas maltophilia PM102: a prospective bioremediating candidate.持久有机污染物诱导嗜麦芽寡养单胞菌 PM102 蛋白表达和免疫交叉反应:一种有前景的生物修复候选菌。
Biomed Res Int. 2013;2013:714232. doi: 10.1155/2013/714232. Epub 2013 Jun 26.
2
Purification and identification of trichloroethylene induced proteins from Stenotrophomonas maltophilia PM102 by immuno-affinity-chromatography and MALDI-TOF Mass spectrometry.通过免疫亲和色谱法和基质辅助激光解吸电离飞行时间质谱法从嗜麦芽窄食单胞菌PM102中纯化和鉴定三氯乙烯诱导蛋白
Springerplus. 2013 May 7;2(1):207. doi: 10.1186/2193-1801-2-207. Print 2013 Dec.
3
由假单胞菌、伯克霍尔德菌和红球菌(PBR)组成的富集菌群通过邻苯二甲酸途径对芘进行代谢。
3 Biotech. 2017 May;7(1):29. doi: 10.1007/s13205-017-0598-8. Epub 2017 Apr 11.
4
Genomic Potential of Stenotrophomonas maltophilia in Bioremediation with an Assessment of Its Multifaceted Role in Our Environment.嗜麦芽窄食单胞菌在生物修复中的基因组潜力及其在我们环境中的多方面作用评估
Front Microbiol. 2016 Jun 22;7:967. doi: 10.3389/fmicb.2016.00967. eCollection 2016.
5
Infections Caused by Stenotrophomonas maltophilia in Recipients of Hematopoietic Stem Cell Transplantation.造血干细胞移植受者感染嗜麦芽窄食单胞菌。
Front Oncol. 2014 Aug 25;4:232. doi: 10.3389/fonc.2014.00232. eCollection 2014.
The copper active site of CBM33 polysaccharide oxygenases.
CBM33 多糖氧化酶的铜活性位点。
J Am Chem Soc. 2013 Apr 24;135(16):6069-77. doi: 10.1021/ja402106e. Epub 2013 Apr 10.
4
The putative endoglucanase PcGH61D from Phanerochaete chrysosporium is a metal-dependent oxidative enzyme that cleaves cellulose.里氏木霉来源的假定内切葡聚糖酶 PcGH61D 是一种依赖金属的氧化酶,能够切割纤维素。
PLoS One. 2011;6(11):e27807. doi: 10.1371/journal.pone.0027807. Epub 2011 Nov 23.
5
Crystal structure and characterization of particulate methane monooxygenase from Methylocystis species strain M.晶体结构与颗粒态甲烷单加氧酶的特性分析来自 Methyloctis 种菌株 M.
Biochemistry. 2011 Nov 29;50(47):10231-40. doi: 10.1021/bi200801z. Epub 2011 Nov 3.
6
Rapid characterization of microbial biodegradation pathways by FT-IR spectroscopy.利用傅里叶变换红外光谱法快速表征微生物的生物降解途径
J Microbiol Methods. 2006 Nov;67(2):273-80. doi: 10.1016/j.mimet.2006.04.009. Epub 2006 Jun 5.
7
Oxidation of benzene to phenol, catechol, and 1,2,3-trihydroxybenzene by toluene 4-monooxygenase of Pseudomonas mendocina KR1 and toluene 3-monooxygenase of Ralstonia pickettii PKO1.用门多萨假单胞菌KR1的甲苯4-单加氧酶和皮氏罗尔斯通氏菌PKO1的甲苯3-单加氧酶将苯氧化为苯酚、邻苯二酚和1,2,3-三羟基苯。
Appl Environ Microbiol. 2004 Jul;70(7):3814-20. doi: 10.1128/AEM.70.7.3814-3820.2004.
8
Microbial P450 enzymes in biotechnology.生物技术中的微生物细胞色素P450酶
Appl Microbiol Biotechnol. 2004 Apr;64(3):317-25. doi: 10.1007/s00253-003-1514-1. Epub 2004 Jan 10.
9
A different method of measuring and detecting monoand dioxygenase activities: key enzymes in hydrocarbon biodegradation.一种测量和检测单加氧酶及双加氧酶活性的不同方法:烃类生物降解中的关键酶。
Appl Biochem Biotechnol. 2003 Spring;105 -108:725-36. doi: 10.1385/abab:108:1-3:725.
10
Heme-Containing Oxygenases.含血红素加氧酶
Chem Rev. 1996 Nov 7;96(7):2841-2888. doi: 10.1021/cr9500500.