• 文献检索
  • 文档翻译
  • 深度研究
  • 学术资讯
  • Suppr Zotero 插件Zotero 插件
  • 邀请有礼
  • 套餐&价格
  • 历史记录
应用&插件
Suppr Zotero 插件Zotero 插件浏览器插件Mac 客户端Windows 客户端微信小程序
定价
高级版会员购买积分包购买API积分包
服务
文献检索文档翻译深度研究API 文档MCP 服务
关于我们
关于 Suppr公司介绍联系我们用户协议隐私条款
关注我们

Suppr 超能文献

核心技术专利:CN118964589B侵权必究
粤ICP备2023148730 号-1Suppr @ 2026

文献检索

告别复杂PubMed语法,用中文像聊天一样搜索,搜遍4000万医学文献。AI智能推荐,让科研检索更轻松。

立即免费搜索

文件翻译

保留排版,准确专业,支持PDF/Word/PPT等文件格式,支持 12+语言互译。

免费翻译文档

深度研究

AI帮你快速写综述,25分钟生成高质量综述,智能提取关键信息,辅助科研写作。

立即免费体验

重组无机焦磷酸酶抗原作为一种新的贝氏蛔虫疫苗候选物在小鼠中的潜力。

Potential of recombinant inorganic pyrophosphatase antigen as a new vaccine candidate against Baylisascaris schroederi in mice.

机构信息

Department of Parasitology, College of Veterinary Medicine, Sichuan Agricultural University, Ya'an 625014, China.

出版信息

Vet Res. 2013 Oct 3;44(1):90. doi: 10.1186/1297-9716-44-90.

DOI:10.1186/1297-9716-44-90
PMID:24090087
原文链接:https://pmc.ncbi.nlm.nih.gov/articles/PMC3851530/
Abstract

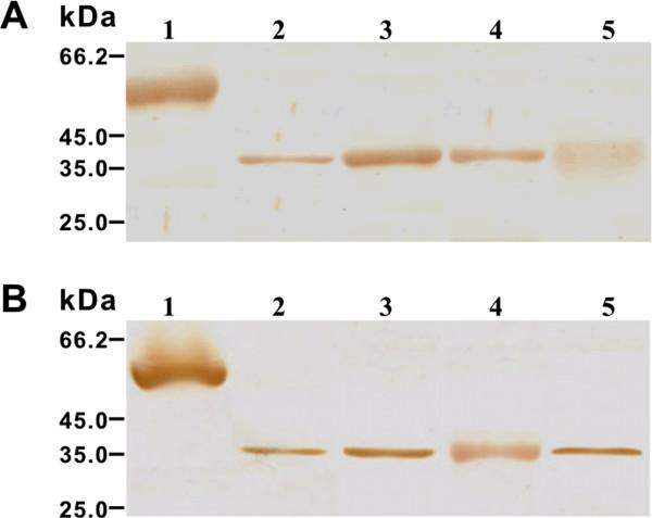
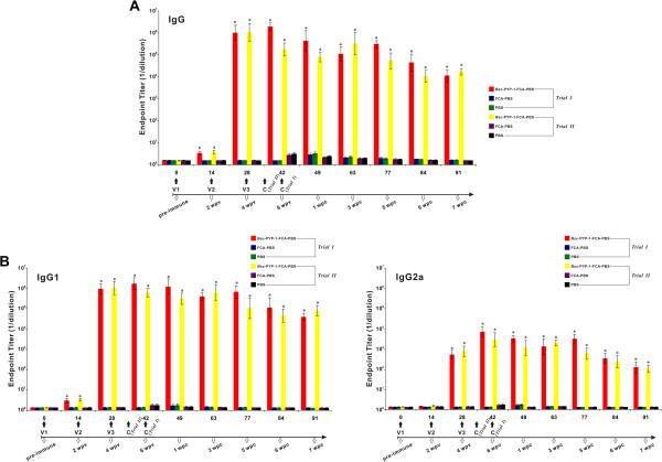
The intestinal nematode Baylisascaris schroederi is an important cause of death for wild and captive giant pandas. Inorganic pyrophosphatases (PPases) are critical for development and molting in nematode parasites and represent potential targets for vaccination. Here, a new PPase homologue, Bsc-PYP-1, from B. schroederi was identified and characterized, and its potential as a vaccine candidate was evaluated in a mouse challenge model. Sequence alignment of PPases from nematode parasites and other organisms show that Bsc-PYP-1 is a nematode-specific member of the family I soluble PPases. Immunohistochemistry revealed strong localization of native Bsc-PYP-1 to the body wall, gut epithelium, ovary and uterus of adult female worms. Additionally, Bsc-PYP-1 homologues were found in roundworms infecting humans (Ascaris lumbricoides), swine (Ascaris suum) and dogs (Toxocara canis). In two vaccine trials, recombinant Bsc-PYP-1 (rBsc-PYP-1) formulated with Freund complete adjuvant induced significantly high antigen-specific immunoglobulin (Ig)G but no IgE or IgM responses. Analysis of IgG-subclass profiles revealed a greater increase of IgG1 than IgG2a. Splenocytes from rBsc-PYP-1/FCA-immunized mice secreted low levels of T helper (Th)1-type cytokines, interferon-γ and interleukin (IL)-2, while producing significantly high levels of IL-10 and significantly elevated levels of IL-4 (Th2 cytokines) after stimulation with rBsc-PYP-1 in vitro. Finally, vaccinated mice had 69.02-71.15% reductions (in 2 experiments) in larval recovery 7 days post-challenge (dpc) and 80% survival at 80 dpc. These results suggest that Th2-mediated immunity elicited by rBsc-PYP-1 provides protection against B. schroederi, and the findings should contribute to further development of Bsc-PYP-1 as a candidate vaccine against baylisascariasis.

摘要

肠道寄生线虫贝氏蛔虫是野生和圈养大熊猫死亡的重要原因。无机焦磷酸酶(PPases)对寄生虫的发育和蜕皮至关重要,是疫苗接种的潜在靶点。本研究鉴定并表征了来自贝氏蛔虫的新的 PPase 同源物 Bsc-PYP-1,并在小鼠攻毒模型中评估了其作为疫苗候选物的潜力。来自线虫寄生虫和其他生物的 PPase 序列比对表明,Bsc-PYP-1 是家族 I 可溶性 PPases 中具有线虫特异性的成员。免疫组织化学显示,天然 Bsc-PYP-1 强烈定位于成年雌性虫体的体壁、肠道上皮、卵巢和子宫。此外,还在感染人类(蛔虫)、猪(猪蛔虫)和狗(犬蛔虫)的圆线虫中发现了 Bsc-PYP-1 同源物。在两项疫苗试验中,与弗氏完全佐剂联合配制的重组 Bsc-PYP-1(rBsc-PYP-1)诱导了显著高水平的抗原特异性免疫球蛋白(Ig)G,但没有 IgE 或 IgM 反应。IgG 亚类谱分析显示 IgG1 的增加大于 IgG2a。rBsc-PYP-1/FCA 免疫小鼠的脾细胞分泌低水平的辅助性 T(Th)1 型细胞因子干扰素-γ和白细胞介素(IL)-2,但在体外刺激 rBsc-PYP-1 后产生显著高水平的 IL-10 和显著升高的 IL-4(Th2 细胞因子)。最后,在两次实验中,攻毒后 7 天(7 dpc)幼虫回收减少 69.02-71.15%,80 dpc 时 80%的小鼠存活。这些结果表明,rBsc-PYP-1 诱导的 Th2 介导免疫提供了对贝氏蛔虫的保护,研究结果应为进一步开发 Bsc-PYP-1 作为贝氏蛔虫病候选疫苗做出贡献。

https://cdn.ncbi.nlm.nih.gov/pmc/blobs/c017/3851530/d1fed088a40b/1297-9716-44-90-8.jpg
https://cdn.ncbi.nlm.nih.gov/pmc/blobs/c017/3851530/0d4c5288e619/1297-9716-44-90-1.jpg
https://cdn.ncbi.nlm.nih.gov/pmc/blobs/c017/3851530/1f847d19c312/1297-9716-44-90-2.jpg
https://cdn.ncbi.nlm.nih.gov/pmc/blobs/c017/3851530/b8bea74402c2/1297-9716-44-90-3.jpg
https://cdn.ncbi.nlm.nih.gov/pmc/blobs/c017/3851530/a5cf940162a9/1297-9716-44-90-4.jpg
https://cdn.ncbi.nlm.nih.gov/pmc/blobs/c017/3851530/0d197b3693aa/1297-9716-44-90-5.jpg
https://cdn.ncbi.nlm.nih.gov/pmc/blobs/c017/3851530/28625863af22/1297-9716-44-90-6.jpg
https://cdn.ncbi.nlm.nih.gov/pmc/blobs/c017/3851530/434c351f2db4/1297-9716-44-90-7.jpg
https://cdn.ncbi.nlm.nih.gov/pmc/blobs/c017/3851530/d1fed088a40b/1297-9716-44-90-8.jpg
https://cdn.ncbi.nlm.nih.gov/pmc/blobs/c017/3851530/0d4c5288e619/1297-9716-44-90-1.jpg
https://cdn.ncbi.nlm.nih.gov/pmc/blobs/c017/3851530/1f847d19c312/1297-9716-44-90-2.jpg
https://cdn.ncbi.nlm.nih.gov/pmc/blobs/c017/3851530/b8bea74402c2/1297-9716-44-90-3.jpg
https://cdn.ncbi.nlm.nih.gov/pmc/blobs/c017/3851530/a5cf940162a9/1297-9716-44-90-4.jpg
https://cdn.ncbi.nlm.nih.gov/pmc/blobs/c017/3851530/0d197b3693aa/1297-9716-44-90-5.jpg
https://cdn.ncbi.nlm.nih.gov/pmc/blobs/c017/3851530/28625863af22/1297-9716-44-90-6.jpg
https://cdn.ncbi.nlm.nih.gov/pmc/blobs/c017/3851530/434c351f2db4/1297-9716-44-90-7.jpg
https://cdn.ncbi.nlm.nih.gov/pmc/blobs/c017/3851530/d1fed088a40b/1297-9716-44-90-8.jpg

相似文献

1
Potential of recombinant inorganic pyrophosphatase antigen as a new vaccine candidate against Baylisascaris schroederi in mice.重组无机焦磷酸酶抗原作为一种新的贝氏蛔虫疫苗候选物在小鼠中的潜力。
Vet Res. 2013 Oct 3;44(1):90. doi: 10.1186/1297-9716-44-90.
2
Sequence analysis of the Bs-Ag1 gene of Baylisascaris schroederi from the giant panda and an evaluation of the efficacy of a recombinant Baylisascaris schroederi Bs-Ag1 antigen in mice.大熊猫贝氏蛔虫 Bs-Ag1 基因序列分析及重组贝氏蛔虫 Bs-Ag1 抗原对小鼠的免疫效果评价。
DNA Cell Biol. 2012 Jul;31(7):1174-81. doi: 10.1089/dna.2011.1395. Epub 2012 Feb 17.
3
Cloning and characterization of a novel sigma-like glutathione S-transferase from the giant panda parasitic nematode, Baylisascaris schroederi.大熊猫寄生线虫斯氏贝蛔虫中一种新型类sigma谷胱甘肽S-转移酶的克隆与特性分析
Parasit Vectors. 2015 Jan 23;8:44. doi: 10.1186/s13071-014-0629-9.
4
Cloning, expression and evaluation of the efficacy of a recombinant Baylisascaris schroederi Bs-Ag3 antigen in mice.重组斯氏狸殖吸虫Bs-Ag3抗原在小鼠中的克隆、表达及疗效评价
Vaccine. 2008 Dec 9;26(52):6919-24. doi: 10.1016/j.vaccine.2008.09.079. Epub 2008 Oct 16.
5
Evaluation of the immunoprotective effects of eight recombinant proteins from Baylisascaris schroederi in mice model.评价八株斯氏狸殖孔线虫重组蛋白在小鼠模型中的免疫保护效果。
Parasit Vectors. 2023 Jul 28;16(1):254. doi: 10.1186/s13071-023-05886-y.
6
Enhanced protective immunity against Baylisascaris schroederi infection in mice through a multi-antigen cocktail vaccine approach.通过多抗原鸡尾酒疫苗方法增强对斯氏狸殖吸虫感染的保护免疫应答。
Parasitol Res. 2023 Dec 11;123(1):20. doi: 10.1007/s00436-023-08016-w.
7
Sequence analysis of Bs-Ag2 gene from Baylisascaris schroederi of giant panda and evaluation of the efficacy of a recombinant Bs-Ag2 antigen in mice.大熊猫斯氏狸殖吸虫Bs-Ag2基因的序列分析及重组Bs-Ag2抗原在小鼠体内的疗效评估
Vaccine. 2009 May 14;27(22):3007-11. doi: 10.1016/j.vaccine.2009.02.077. Epub 2009 Mar 9.
8
Inorganic pyrophosphatase in the roundworm Ascaris and its role in the development and molting process of the larval stage parasites.蛔虫中的无机焦磷酸酶及其在幼虫期寄生虫发育和蜕皮过程中的作用。
Eur J Biochem. 2003 Jul;270(13):2814-26. doi: 10.1046/j.1432-1033.2003.03658.x.
9
Mice intranasally immunized with a recombinant 16-kilodalton antigen from roundworm Ascaris parasites are protected against larval migration of Ascaris suum.用来自蛔虫寄生虫的重组16千道尔顿抗原经鼻内免疫的小鼠对猪蛔虫幼虫移行具有抵抗力。
Infect Immun. 2003 Sep;71(9):5314-23. doi: 10.1128/IAI.71.9.5314-5323.2003.
10
Molecular characterization of thyroid hormone receptor beta from Schistosoma japonicum and assessment of its potential as a vaccine candidate antigen against schistosomiasis in BALB/c mice.日本血吸虫甲状腺素受体β的分子特征及其作为抗日本血吸虫病疫苗候选抗原的潜力评估。
Parasit Vectors. 2012 Aug 13;5:172. doi: 10.1186/1756-3305-5-172.

引用本文的文献

1
Enhanced protective immunity against Baylisascaris schroederi infection in mice through a multi-antigen cocktail vaccine approach.通过多抗原鸡尾酒疫苗方法增强对斯氏狸殖吸虫感染的保护免疫应答。
Parasitol Res. 2023 Dec 11;123(1):20. doi: 10.1007/s00436-023-08016-w.
2
Evaluation of the immunoprotective effects of eight recombinant proteins from Baylisascaris schroederi in mice model.评价八株斯氏狸殖孔线虫重组蛋白在小鼠模型中的免疫保护效果。
Parasit Vectors. 2023 Jul 28;16(1):254. doi: 10.1186/s13071-023-05886-y.
3
promotes cisplatin-induced nephrotoxicity through inflammation mediated by the MAPK/NF-κB signaling pathway.

本文引用的文献

1
Inorganic pyrophosphate content and metabolites in potato and tobacco plants expressing E. coli pyrophosphatase in their cytosol.在细胞质中表达大肠杆菌焦磷酸酶的马铃薯和烟草植物中的无机焦磷酸盐含量和代谢物。
Planta. 1992 Sep;188(2):238-44. doi: 10.1007/BF00216819.
2
Baylisascariosis--infections of animals and humans with 'unusual' roundworms.贝利斯蛔虫病——动物和人类被“不常见”的蛔虫感染。
Vet Parasitol. 2013 Apr 15;193(4):404-12. doi: 10.1016/j.vetpar.2012.12.036. Epub 2012 Dec 27.
3
Determination of Baylisascaris schroederi infection in wild giant pandas by an accurate and sensitive PCR/CE-SSCP method.
通过丝裂原活化蛋白激酶/核因子κB信号通路介导的炎症促进顺铂诱导的肾毒性。
Ann Transl Med. 2021 Oct;9(20):1578. doi: 10.21037/atm-21-5125.
4
Genome of the Giant Panda Roundworm Illuminates Its Host Shift and Parasitic Adaptation.大熊猫蛔虫基因组揭示其宿主转换及寄生适应性
Genomics Proteomics Bioinformatics. 2022 Apr;20(2):366-381. doi: 10.1016/j.gpb.2021.08.002. Epub 2021 Sep 3.
5
NOD-like receptors mediate inflammatory lung injury during plateau hypoxia exposure.NOD 样受体在高原低氧暴露期间介导炎症性肺损伤。
J Physiol Anthropol. 2020 Oct 7;39(1):32. doi: 10.1186/s40101-020-00242-w.
6
Immune responses induced by a combined vaccination with a recombinant chimera of Mycoplasma hyopneumoniae antigens and capsid virus-like particles of porcine circovirus type 2.由肺炎支原体抗原重组嵌合体与猪圆环病毒 2 衣壳病毒样颗粒联合疫苗诱导的免疫应答。
BMC Vet Res. 2020 Sep 16;16(1):342. doi: 10.1186/s12917-020-02560-8.
7
Review on parasites of wild and captive giant pandas (): Diversity, disease and conservation impact.野生和圈养大熊猫的寄生虫综述():多样性、疾病及保护影响
Int J Parasitol Parasites Wildl. 2020 Jul 28;13:38-45. doi: 10.1016/j.ijppaw.2020.07.007. eCollection 2020 Dec.
8
Experimental comparison of definitive host competence between domestic dogs and raccoons ().实验比较家犬和浣熊作为终宿主的能力。
Parasitology. 2020 Oct;147(12):1344-1351. doi: 10.1017/S0031182020001122. Epub 2020 Jul 14.
9
Parasites of the Giant Panda: A Risk Factor in the Conservation of a Species.大熊猫寄生虫:物种保护的风险因素。
Adv Parasitol. 2018;99:1-33. doi: 10.1016/bs.apar.2017.12.003. Epub 2018 Feb 16.
10
Prokaryotic Expression and Serodiagnostic Potential of Glyceraldehyde-3-Phosphate Dehydrogenase and Thioredoxin Peroxidase from Baylisascaris schroederi.斯氏狸殖吸虫甘油醛-3-磷酸脱氢酶和硫氧还蛋白过氧化物酶的原核表达及血清学诊断潜力
Genes (Basel). 2017 Oct 25;8(11):293. doi: 10.3390/genes8110293.
应用准确灵敏的 PCR/CE-SSCP 方法检测野生大熊猫感染贝氏蛔虫。
PLoS One. 2012;7(7):e41995. doi: 10.1371/journal.pone.0041995. Epub 2012 Jul 27.
4
Sequence analysis of the Bs-Ag1 gene of Baylisascaris schroederi from the giant panda and an evaluation of the efficacy of a recombinant Baylisascaris schroederi Bs-Ag1 antigen in mice.大熊猫贝氏蛔虫 Bs-Ag1 基因序列分析及重组贝氏蛔虫 Bs-Ag1 抗原对小鼠的免疫效果评价。
DNA Cell Biol. 2012 Jul;31(7):1174-81. doi: 10.1089/dna.2011.1395. Epub 2012 Feb 17.
5
Vaccination with Strongyloides ratti heat shock protein 60 increases susceptibility to challenge infection by induction of Th1 response.接种罗得岛大鼠热休克蛋白 60 可通过诱导 Th1 反应增加对挑战感染的易感性。
Vaccine. 2012 Jan 20;30(5):862-71. doi: 10.1016/j.vaccine.2011.11.110. Epub 2011 Dec 13.
6
The mitochondrial genome of Baylisascaris procyonis.Baylisascaris procyonis 的线粒体基因组。
PLoS One. 2011;6(10):e27066. doi: 10.1371/journal.pone.0027066. Epub 2011 Oct 28.
7
Characterization of Baylisascaris schroederi from Qinling subspecies of giant panda in China by the first internal transcribed spacer (ITS-1) of nuclear ribosomal DNA.中国秦岭亚种大熊猫体内核糖体 DNA 第一内转录间隔区(ITS-1)对斯氏狸殖孔头线虫的特征描述。
Parasitol Res. 2012 Mar;110(3):1297-303. doi: 10.1007/s00436-011-2618-7. Epub 2011 Aug 26.
8
Complete mitochondrial genomes of Baylisascaris schroederi, Baylisascaris ailuri and Baylisascaris transfuga from giant panda, red panda and polar bear.大熊猫、小熊猫和北极熊体内的斯氏狸殖孔头线虫、蛔虫和转位蛔虫的完整线粒体基因组。
Gene. 2011 Aug 15;482(1-2):59-67. doi: 10.1016/j.gene.2011.05.004. Epub 2011 May 19.
9
Advances in helminth immunology: optimism for future vaccine design?寄生虫免疫学的进展:未来疫苗设计的乐观前景?
Trends Parasitol. 2011 Jul;27(7):288-93. doi: 10.1016/j.pt.2011.03.010. Epub 2011 Apr 30.
10
The parasites of giant pandas: individual-based measurement in wild animals.大熊猫的寄生虫:野生动物个体层面的测量
J Wildl Dis. 2011 Jan;47(1):164-71. doi: 10.7589/0090-3558-47.1.164.