Suppr超能文献

1例胃内翻增生性息肉合并深部囊性胃炎及早期胃癌。

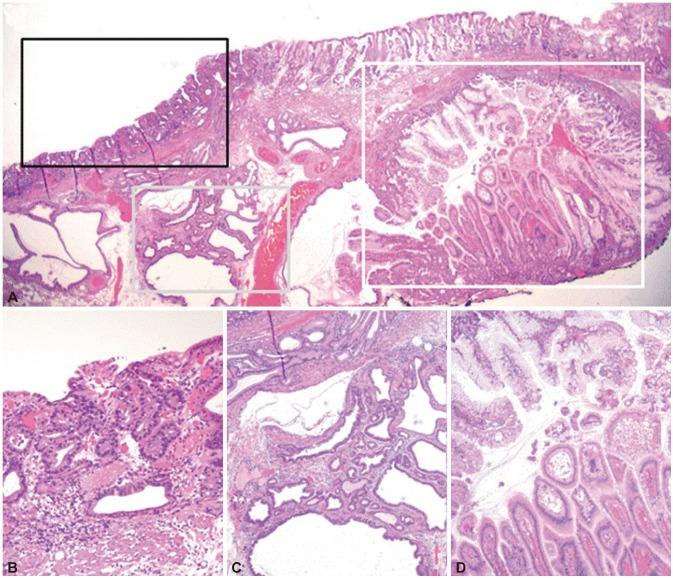
A case of gastric inverted hyperplastic polyp found with gastritis cystica profunda and early gastric cancer.

作者信息

Lee Sang Jin, Park Jong Kyu, Seo Hyun Il, Han Koon Hee, Kim Young Don, Jeong Woo Jin, Cheon Gab Jin, Eom Dae-Woon

机构信息

Department of Internal Medicine, Gangneung Asan Hospital, University of Ulsan College of Medicine, Gangneung, Korea.

出版信息

Clin Endosc. 2013 Sep;46(5):568-71. doi: 10.5946/ce.2013.46.5.568. Epub 2013 Sep 30.

Abstract

A gastric inverted hyperplastic polyp is a rare type of gastric polyp and is characterized by downward growth of a variety of mucosal components into the submucosa. The polyp consists of columnar cells resembling foveolar epithelium and pyloric gland epithelium and can coexist with gastritis cystica profunda. Frequently, adenocarcinoma can coexist, but the relation is not clear. A 77-year-old male underwent endoscopic submucosal dissection due to early gastric cancer. A gastric inverted hyperplastic polyp was found in the removed specimen and gastric cystica profunda was also found. We report a case of gastric inverted hyperplastic polyp coexisting with gastric cystica profunda and gastric adenocarcinoma.

摘要

胃内翻性增生性息肉是一种罕见的胃息肉,其特征是多种黏膜成分向下生长至黏膜下层。该息肉由类似于胃小凹上皮和幽门腺上皮的柱状细胞组成,可与深部囊性胃炎共存。腺癌常可与之并存,但关系尚不清楚。一名77岁男性因早期胃癌接受了内镜黏膜下剥离术。在切除标本中发现了胃内翻性增生性息肉,同时也发现了深部囊性胃炎。我们报告一例胃内翻性增生性息肉与深部囊性胃炎及胃腺癌并存的病例。

https://cdn.ncbi.nlm.nih.gov/pmc/blobs/cb6d/3797945/339defbe4eac/ce-46-568-g001.jpg

文献AI研究员

20分钟写一篇综述,助力文献阅读效率提升50倍。

立即体验

用中文搜PubMed

大模型驱动的PubMed中文搜索引擎

马上搜索

文档翻译

学术文献翻译模型,支持多种主流文档格式。

立即体验