Suppr超能文献

1例不寻常的华氏巨球蛋白血症病例表现为鼻咽部受累。

An unusual case of Waldenstrom's macroglobulinemia presented with nasopharyngeal involvement.

作者信息

Sathyanarayanan Vishwanath, Das Umesh, Shankaranand Bs, Gupta Sumit, Anvekar Naveen J, Lakshmaiah Kc

机构信息

Department of Medical Oncology, Kidwai Memorial Institute of Oncology, Bangalore, Karnataka, India.

出版信息

Ecancermedicalscience. 2013 Oct 16;7:362. doi: 10.3332/ecancer.2013.362. eCollection 2013.

Abstract

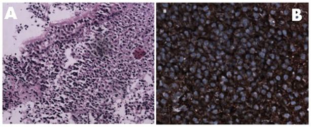
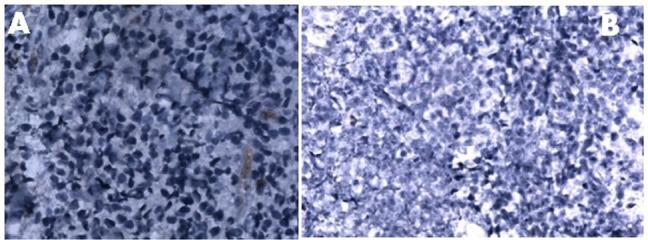
We report a rare case of a 68-year-old male who presented with fever, weight loss, nasal blockage, and epistaxis. Examination revealed cervical and axillary lymphadenopathy with no evidence of organomegaly. On evaluation, bone marrow aspiration showed lymphoplasmacytic infiltration. The computed tomography of the neck showed nasopharyngeal mass and the biopsy of this mass and cervical lymph node showed lymphoplasmacytic lymphoma (LPL) with high serum IgM level. Hence, a diagnosis of Waldenstrom's macroglobulinemia (WM) was made. The patient received six cycles of chemotherapy with a combination of cyclophosphamide, vincristine, and prednisolone (COP regimen). Currently, the patient is under follow-up and in complete remission (CR), one year after completion of therapy. Nasopharyngeal involvement is extremely rare in WM, and hence we report this case.

摘要

我们报告一例罕见病例,一名68岁男性,表现为发热、体重减轻、鼻塞和鼻出血。检查发现颈部和腋窝淋巴结肿大,无器官肿大迹象。评估时,骨髓穿刺显示淋巴细胞浆细胞浸润。颈部计算机断层扫描显示鼻咽部肿块,该肿块及颈部淋巴结活检显示为淋巴细胞浆细胞淋巴瘤(LPL),血清IgM水平升高。因此,诊断为华氏巨球蛋白血症(WM)。患者接受了六个周期的环磷酰胺、长春新碱和泼尼松龙联合化疗(COP方案)。目前,患者在完成治疗一年后正在接受随访,处于完全缓解(CR)状态。WM累及鼻咽部极为罕见,因此我们报告了此病例。

https://cdn.ncbi.nlm.nih.gov/pmc/blobs/f27a/3797644/8c8f589b1b17/can-7-362fig1.jpg

文献AI研究员

20分钟写一篇综述,助力文献阅读效率提升50倍。

立即体验

用中文搜PubMed

大模型驱动的PubMed中文搜索引擎

马上搜索

文档翻译

学术文献翻译模型,支持多种主流文档格式。

立即体验