Suppr超能文献

儿童风湿性二尖瓣狭窄:撒哈拉以南地区患者病情进展更迅速。

Rheumatic mitral stenosis in children: more accelerated course in sub-Saharan patients.

机构信息

Department of Pediatrics & Child Health, School of Medicine, Hawassa University, Hawassa, Ethiopia.

出版信息

BMC Cardiovasc Disord. 2013 Nov 1;13:95. doi: 10.1186/1471-2261-13-95.

Abstract

BACKGROUND

Mitral stenosis, one of the grave consequences of rheumatic heart disease, was generally considered to take decades to evolve. However, several studies from the developing countries have shown that mitral stenosis follows a different course from that seen in the developed countries. This study reports the prevalence, severity and common complications of mitral stenosis in the first and early second decades of life among children referred to a tertiary center for intervention.

METHODS

Medical records of 365 patients aged less than 16 and diagnosed with rheumatic heart disease were reviewed. Mitral stenosis was graded as severe (mitral valve area < 1.0 cm2), moderate (mitral valve area 1.0-1.5 cm2) and mild (mitral valve area > 1.5 cm2).

RESULTS

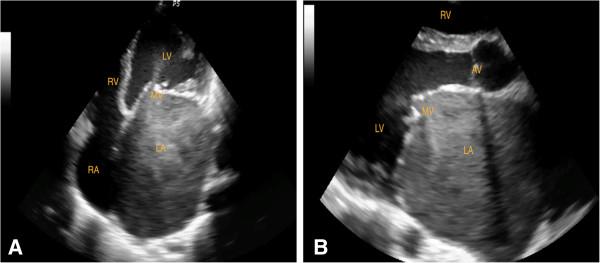
Mean age at diagnosis was 10.1 ± 2.5 (range 3-15) years. Of the 365 patients, 126 (34.5%) were found to have mitral stenosis by echocardiographic criteria. Among children between 6-10 years, the prevalence of mitral stenosis was 26.5%. Mean mitral valve area (n = 126) was 1.1 ± 0.5 cm2 (range 0.4-2.0 cm2). Pure mitral stenosis was present in 35 children. Overall, multi-valvular involvement was present in 330 (90.4%). NYHA functional class was II in 76% and class III or IV in 22%. Only 25% of patients remember having symptoms of acute rheumatic fever. Complications at the time of referral include 16 cases of atrial fibrillation, 8 cases of spontaneous echo contrast in the left atrium, 2 cases of left atrial thrombus, 4 cases of thrombo-embolic events, 2 cases of septic emboli and 3 cases of airway compression by a giant left atrium.

CONCLUSION

Rheumatic mitral stenosis is common in the first and early second decades of life in Ethiopia. The course appeared to be accelerated resulting in complications and disability early in life. Echocardiography-based screening programs are needed to estimate the prevalence and to provide support for strengthening primary and secondary prevention programs.

摘要

背景

二尖瓣狭窄是风湿性心脏病的严重后果之一,通常需要几十年的时间才能发展。然而,来自发展中国家的几项研究表明,二尖瓣狭窄的发展过程与发达国家不同。本研究报告了在一家三级干预中心就诊的儿童中,在生命的最初和第二个十年中,二尖瓣狭窄的患病率、严重程度和常见并发症。

方法

回顾了 365 名年龄小于 16 岁且被诊断为风湿性心脏病的患者的病历。二尖瓣狭窄分为重度(二尖瓣瓣口面积<1.0cm2)、中度(二尖瓣瓣口面积 1.0-1.5cm2)和轻度(二尖瓣瓣口面积>1.5cm2)。

结果

诊断时的平均年龄为 10.1±2.5 岁(范围 3-15 岁)。365 名患者中,126 名(34.5%)经超声心动图标准诊断为二尖瓣狭窄。在 6-10 岁的儿童中,二尖瓣狭窄的患病率为 26.5%。(n=126)平均二尖瓣瓣口面积为 1.1±0.5cm2(范围 0.4-2.0cm2)。35 名儿童单纯二尖瓣狭窄。总体而言,330 名患者(90.4%)存在多瓣膜受累。纽约心脏协会(NYHA)功能分级为 II 级占 76%,III 级或 IV 级占 22%。只有 25%的患者记得有过急性风湿热的症状。转诊时的并发症包括 16 例心房颤动、8 例左心房自发性回声对比、2 例左心房血栓形成、4 例血栓栓塞事件、2 例脓毒性栓子和 3 例左心房巨大导致气道受压。

结论

在埃塞俄比亚,风湿性二尖瓣狭窄在生命的最初和第二个十年中很常见。该疾病的发展过程似乎加速,导致生命早期出现并发症和残疾。需要进行基于超声心动图的筛查项目,以评估患病率,并为加强初级和二级预防项目提供支持。

https://cdn.ncbi.nlm.nih.gov/pmc/blobs/8142/4228389/550f0c0930b0/1471-2261-13-95-1.jpg

文献AI研究员

20分钟写一篇综述,助力文献阅读效率提升50倍。

立即体验

用中文搜PubMed

大模型驱动的PubMed中文搜索引擎

马上搜索

文档翻译

学术文献翻译模型,支持多种主流文档格式。

立即体验