Suppr超能文献

Human keratinocyte culture. Identification and staging of epidermal cell subpopulations.

作者信息

Staiano-Coico L, Higgins P J, Darzynkiewicz Z, Kimmel M, Gottlieb A B, Pagan-Charry I, Madden M R, Finkelstein J L, Hefton J M

出版信息

J Clin Invest. 1986 Feb;77(2):396-404. doi: 10.1172/JCI112317.

Abstract

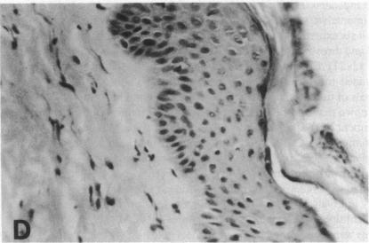
Stratification of human epidermal cells into multilayered sheets composed of basal and suprabasal layers (resembling the stratum germinativum and stratum spinosum of the epidermis) was studied in a dermal component-free culture system. Although no stratum corneum developed in vitro, this culture system provided a method to study early events in human keratinocyte differentiation. Multiparameter flow cytometric analysis of acridine orange-stained epidermal cells from these cultures revealed three distinct subpopulations differing in cell size, RNA content, and cell cycle kinetics. The first subpopulation was composed of small basal keratinocytes with low RNA content and a long generation time. The second subpopulation consisted of larger keratinocytes, having higher RNA content and a significantly shorter generation time. Finally, the third subpopulation contained the largest cells, which did not divide, and represent the more terminally differentiated keratinocytes. This in vitro approach provides discriminating cytochemical parameters by which the maturity of the epidermal cell sheets can be assessed prior to grafting onto human burn patients.

摘要
https://cdn.ncbi.nlm.nih.gov/pmc/blobs/85b4/423359/a0a703eaca7a/jcinvest00105-0071-a.jpg

文献检索

告别复杂PubMed语法,用中文像聊天一样搜索,搜遍4000万医学文献。AI智能推荐,让科研检索更轻松。

立即免费搜索

文件翻译

保留排版,准确专业,支持PDF/Word/PPT等文件格式,支持 12+语言互译。

免费翻译文档

深度研究

AI帮你快速写综述,25分钟生成高质量综述,智能提取关键信息,辅助科研写作。

立即免费体验