Suppr超能文献

The diagnostic distinction between malignant mesothelioma of the pleura and adenocarcinoma of the lung as defined by a monoclonal antibody (B72.3).

作者信息

Szpak C A, Johnston W W, Roggli V, Kolbeck J, Lottich S C, Vollmer R, Thor A, Schlom J

出版信息

Am J Pathol. 1986 Feb;122(2):252-60.

Abstract

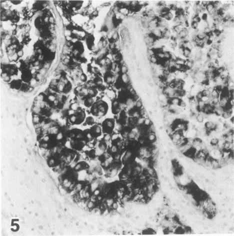
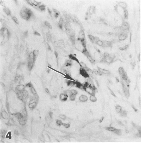
The correct distinction between malignant mesothelioma of the pleura and adenocarcinoma of the lung has become increasingly complex, with a variety of histochemical, immunohistochemical, and ultrastructural studies to be performed on biopsy material. The reliability of immunohistochemical studies has been hampered by the use of polyclonal antisera to "carcinoembryonic antigen (CEA)" and keratin. Hybridoma technology now offers monoclonal antibodies (MAbs) in unlimited quantity and standardized quality to selective ranges of specific antigenic determinants. MAb B72.3, generated against a membrane-enriched fraction of human metastatic breast carcinoma, was used to distinguish malignant mesothelioma of the pleura from adenocarcinoma of the lung in tissue sections and was compared in terms of diagnostic utility with polyclonal anti-keratin and anti-CEA to make the same distinction. Reactivity with MAb B72.3 in at least 10% of tumor cells or more was noted in 19 of 22 adenocarcinomas of the lung (P greater than 0.0001), whereas none of the 20 cases of malignant mesothelioma demonstrated comparable reactivity. Furthermore, MAb B72.3 showed no reactivity with benign mesothelial proliferations. MAb B72.3 thus appears to be an appropriate diagnostic adjunct capable of discriminating between these malignancies.

摘要
https://cdn.ncbi.nlm.nih.gov/pmc/blobs/6223/1888114/64d20e351eab/amjpathol00161-0070-a.jpg

文献AI研究员

20分钟写一篇综述,助力文献阅读效率提升50倍。

立即体验

用中文搜PubMed

大模型驱动的PubMed中文搜索引擎

马上搜索

文档翻译

学术文献翻译模型,支持多种主流文档格式。

立即体验