• 文献检索
  • 文档翻译
  • 深度研究
  • 学术资讯
  • Suppr Zotero 插件Zotero 插件
  • 邀请有礼
  • 套餐&价格
  • 历史记录
应用&插件
Suppr Zotero 插件Zotero 插件浏览器插件Mac 客户端Windows 客户端微信小程序
定价
高级版会员购买积分包购买API积分包
服务
文献检索文档翻译深度研究API 文档MCP 服务
关于我们
关于 Suppr公司介绍联系我们用户协议隐私条款
关注我们

Suppr 超能文献

核心技术专利:CN118964589B侵权必究
粤ICP备2023148730 号-1Suppr @ 2026

文献检索

告别复杂PubMed语法,用中文像聊天一样搜索,搜遍4000万医学文献。AI智能推荐,让科研检索更轻松。

立即免费搜索

文件翻译

保留排版,准确专业,支持PDF/Word/PPT等文件格式,支持 12+语言互译。

免费翻译文档

深度研究

AI帮你快速写综述,25分钟生成高质量综述,智能提取关键信息,辅助科研写作。

立即免费体验

唾液链球菌黏附缺陷突变体的负染色和免疫电子显微镜观察表明,黏附蛋白抗原是细胞表面纤丝的不同类别。

Negative staining and immunoelectron microscopy of adhesion-deficient mutants of Streptococcus salivarius reveal that the adhesive protein antigens are separate classes of cell surface fibril.

作者信息

Weerkamp A H, Handley P S, Baars A, Slot J W

出版信息

J Bacteriol. 1986 Mar;165(3):746-55. doi: 10.1128/jb.165.3.746-755.1986.

DOI:10.1128/jb.165.3.746-755.1986
PMID:2419308
原文链接:https://pmc.ncbi.nlm.nih.gov/articles/PMC214492/
Abstract

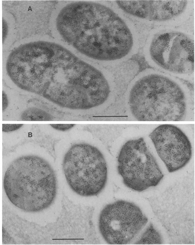
The subcellular distribution of the cell wall-associated protein antigens of Streptococcus salivarius HB, which are involved in specific adhesive properties of the cells, was studied. Mutants which had lost the adhesive properties and lacked the antigens at the cell surface were compared with the parent strain. Immunoelectron microscopy of cryosections of cells labeled with affinity-purified, specific antisera and colloidal gold-protein A complexes was used to locate the antigens. Antigen C (AgC), a glycoprotein involved in attachment to host surfaces, was mainly located in the fibrillar layer outside the cell wall. A smaller amount of label was also found throughout the cytoplasmic area in the form of small clusters of gold particles, which suggests a macromolecular association. Mutant HB-7, which lacks the wall-associated AgC, accumulated AgC reactivity intracellularly. Intracellular AgC was often found associated with isolated areas of increased electron density, but sometimes seemed to fill the entire interior of the cell. Antigen B (AgB), a protein responsible for interbacterial coaggregation, was also located in the fibrillar layer, although its distribution differed from that of the wall-associated AgC since AgB was found predominantly in the peripheral areas. A very small amount of label was also found in the cytoplasmic area as discrete gold particles. Mutant HB-V5, which lacks wall-associated AgB, was not labeled in the fibrillar coat, but showed the same weak intracellular label as the parent strain. Immunolabeling with serum against AgD, another wall-associated protein but of unknown function, demonstrated its presence in the fibrillar layer of strain HB. Negatively stained preparations of whole cells of wild-type S. salivarius and mutants that had lost wall-associated AgB or AgC revealed that two classes of short fibrils are carried on the cell surface at the same time. AgB and AgC are probably located on separate classes of short, protease-sensitive fibrils 91 and 72 nm in length, respectively. A third class of only very sparsely distributed short fibrils (63 nm) was observed on mutant HB-V51, which lacks both wall-associated AgB and AgC antigens. The identity of these fibrils and whether they are present on the wild type are not clear. The function of long, protease-resistant fibrils of 178 nm, which are also present on the wild-type strain, remains unknown.

摘要

研究了参与唾液链球菌HB细胞特异性黏附特性的细胞壁相关蛋白抗原的亚细胞分布。将失去黏附特性且细胞表面缺乏抗原的突变体与亲本菌株进行了比较。使用用亲和纯化的特异性抗血清和胶体金-蛋白A复合物标记的细胞冷冻切片的免疫电子显微镜来定位抗原。抗原C(AgC)是一种参与附着于宿主表面的糖蛋白,主要位于细胞壁外的纤维层中。还发现少量标记物以小金颗粒簇的形式分布在整个细胞质区域,这表明存在大分子缔合。缺乏与壁相关的AgC的突变体HB-7在细胞内积累了AgC反应性。细胞内的AgC常与电子密度增加的孤立区域相关,但有时似乎充满了整个细胞内部。抗原B(AgB)是一种负责细菌间共聚集的蛋白质,也位于纤维层中,尽管其分布与壁相关的AgC不同,因为AgB主要存在于周边区域。在细胞质区域也发现极少量标记物呈离散的金颗粒。缺乏壁相关AgB的突变体HB-V5在纤维外衣中未被标记,但显示出与亲本菌株相同的微弱细胞内标记。用针对AgD(另一种壁相关蛋白,功能未知)的血清进行免疫标记,证明其存在于菌株HB的纤维层中。野生型唾液链球菌和失去壁相关AgB或AgC的突变体的全细胞负染制剂显示,细胞表面同时存在两类短纤维。AgB和AgC可能分别位于长度为91和72nm的不同类别的短蛋白酶敏感纤维上。在缺乏壁相关AgB和AgC抗原的突变体HB-V51上观察到第三类仅非常稀疏分布的短纤维(63nm)。这些纤维的身份以及它们是否存在于野生型上尚不清楚。野生型菌株上也存在的178nm长的蛋白酶抗性纤维的功能仍然未知。

https://cdn.ncbi.nlm.nih.gov/pmc/blobs/ab51/214492/f2e475a357d4/jbacter00214-0098-a.jpg
https://cdn.ncbi.nlm.nih.gov/pmc/blobs/ab51/214492/76ceb8e4956d/jbacter00214-0093-a.jpg
https://cdn.ncbi.nlm.nih.gov/pmc/blobs/ab51/214492/639da628b72d/jbacter00214-0094-a.jpg
https://cdn.ncbi.nlm.nih.gov/pmc/blobs/ab51/214492/698d00e38da8/jbacter00214-0095-a.jpg
https://cdn.ncbi.nlm.nih.gov/pmc/blobs/ab51/214492/1ac26bcfd14e/jbacter00214-0096-a.jpg
https://cdn.ncbi.nlm.nih.gov/pmc/blobs/ab51/214492/3564b13df66c/jbacter00214-0097-a.jpg
https://cdn.ncbi.nlm.nih.gov/pmc/blobs/ab51/214492/f2e475a357d4/jbacter00214-0098-a.jpg
https://cdn.ncbi.nlm.nih.gov/pmc/blobs/ab51/214492/76ceb8e4956d/jbacter00214-0093-a.jpg
https://cdn.ncbi.nlm.nih.gov/pmc/blobs/ab51/214492/639da628b72d/jbacter00214-0094-a.jpg
https://cdn.ncbi.nlm.nih.gov/pmc/blobs/ab51/214492/698d00e38da8/jbacter00214-0095-a.jpg
https://cdn.ncbi.nlm.nih.gov/pmc/blobs/ab51/214492/1ac26bcfd14e/jbacter00214-0096-a.jpg
https://cdn.ncbi.nlm.nih.gov/pmc/blobs/ab51/214492/3564b13df66c/jbacter00214-0097-a.jpg
https://cdn.ncbi.nlm.nih.gov/pmc/blobs/ab51/214492/f2e475a357d4/jbacter00214-0098-a.jpg

相似文献

1
Negative staining and immunoelectron microscopy of adhesion-deficient mutants of Streptococcus salivarius reveal that the adhesive protein antigens are separate classes of cell surface fibril.唾液链球菌黏附缺陷突变体的负染色和免疫电子显微镜观察表明,黏附蛋白抗原是细胞表面纤丝的不同类别。
J Bacteriol. 1986 Mar;165(3):746-55. doi: 10.1128/jb.165.3.746-755.1986.
2
Structural properties of fibrillar proteins isolated from the cell surface and cytoplasm of Streptococcus salivarius (K+) cells and nonadhesive mutants.从唾液链球菌(K+)细胞以及非粘附突变体的细胞表面和细胞质中分离出的纤维状蛋白质的结构特性。
J Bacteriol. 1986 Mar;165(3):756-62. doi: 10.1128/jb.165.3.756-762.1986.
3
Relationship of cell surface morphology and composition of Streptococcus salivarius K+ to adherence and hydrophobicity.唾液链球菌K+的细胞表面形态及组成与黏附性和疏水性的关系
Infect Immun. 1987 Feb;55(2):438-45. doi: 10.1128/iai.55.2.438-445.1987.
4
Ruthenium red staining reveals surface fibrils and a layer external to the cell wall in Streptococcus salivarius HB and adhesion deficient mutants.钌红染色显示唾液链球菌HB及其黏附缺陷突变体表面的纤丝和细胞壁外的一层结构。
J Gen Microbiol. 1988 Dec;134(12):3165-72. doi: 10.1099/00221287-134-12-3165.
5
Expression of the surface properties of the fibrillar Streptococcus salivarius HB and its adhesion deficient mutants grown in continuous culture under glucose limitation.在葡萄糖限制条件下连续培养的丝状唾液链球菌HB及其黏附缺陷突变体的表面特性表达。
J Gen Microbiol. 1989 Oct;135(10):2611-21. doi: 10.1099/00221287-135-10-2611.
6
Cell wall-associated protein antigens of Streptococcus salivarius: purification, properties, and function in adherence.唾液链球菌细胞壁相关蛋白抗原:纯化、特性及黏附中的功能
Infect Immun. 1982 Oct;38(1):233-42. doi: 10.1128/iai.38.1.233-242.1982.
7
Depth profiling of the elemental surface composition of the oral microorganism S. salivarius HB and fibrillar mutants by X-ray photoelectron spectroscopy.通过X射线光电子能谱对口腔微生物唾液链球菌HB及其丝状突变体的元素表面组成进行深度剖析。
Cell Biophys. 1992 Feb;20(1):99-110. doi: 10.1007/BF02782657.
8
Identification of a Streptococcus salivarius cell wall component mediating coaggregation with Veillonella alcalescens V1.鉴定唾液链球菌与产碱韦荣球菌V1共聚集的细胞壁成分。
Infect Immun. 1981 May;32(2):723-30. doi: 10.1128/iai.32.2.723-730.1981.
9
A comparison of the adhesion, coaggregation and cell-surface hydrophobicity properties of fibrillar and fimbriate strains of Streptococcus salivarius.唾液链球菌丝状和菌毛状菌株的黏附、共聚及细胞表面疏水性特性比较
J Gen Microbiol. 1987 Nov;133(11):3207-17. doi: 10.1099/00221287-133-11-3207.
10
A comparison of the adhesive properties and surface ultrastructure of the fibrillar Streptococcus sanguis 12 and an adhesion deficient non-fibrillar mutant 12 na.
J Appl Bacteriol. 1989 Apr;66(4):291-9. doi: 10.1111/j.1365-2672.1989.tb02481.x.

引用本文的文献

1
Bacterial cell surface deformation under external loading.细菌细胞在外力作用下的表面变形。
mBio. 2012 Dec 18;3(6):e00378-12. doi: 10.1128/mBio.00378-12.
2
Protective mechanisms of respiratory tract Streptococci against Streptococcus pyogenes biofilm formation and epithelial cell infection.呼吸道链球菌对抗酿脓链球菌生物膜形成和上皮细胞感染的保护机制。
Appl Environ Microbiol. 2013 Feb;79(4):1265-76. doi: 10.1128/AEM.03350-12. Epub 2012 Dec 14.
3
Streptococcus adherence and colonization.链球菌的黏附和定植。

本文引用的文献

1
Ultrastructure of Mutants of Streptococcus mutans with Reference to Agglutination, Adhesion, and Extracellular Polysaccharide.变形链球菌突变株的超微结构与凝集、黏附及细胞外多糖的关系
Infect Immun. 1974 Nov;10(5):1170-9. doi: 10.1128/iai.10.5.1170-1179.1974.
2
Immunochemistry on ultrathin frozen sections.超薄冰冻切片的免疫化学
Histochem J. 1980 Jul;12(4):381-403. doi: 10.1007/BF01011956.
3
Identification of a Streptococcus salivarius cell wall component mediating coaggregation with Veillonella alcalescens V1.鉴定唾液链球菌与产碱韦荣球菌V1共聚集的细胞壁成分。
Microbiol Mol Biol Rev. 2009 Sep;73(3):407-50, Table of Contents. doi: 10.1128/MMBR.00014-09.
4
A group B streptococcal pilus protein promotes phagocyte resistance and systemic virulence.B族链球菌菌毛蛋白可增强吞噬细胞抗性及全身毒力。
FASEB J. 2008 Jun;22(6):1715-24. doi: 10.1096/fj.07-093963. Epub 2008 Jan 15.
5
Selective Adhesion of Thiobacillus ferrooxidans to Pyrite.嗜酸硫杆菌对黄铁矿的选择性附着。
Appl Environ Microbiol. 1993 Dec;59(12):4044-50. doi: 10.1128/aem.59.12.4044-4050.1993.
6
Association of a novel high molecular weight, serine-rich protein (SrpA) with fibril-mediated adhesion of the oral biofilm bacterium Streptococcus cristatus.一种新型高分子量富含丝氨酸蛋白(SrpA)与口腔生物膜细菌嵴链球菌的纤维介导黏附的关联。
Oral Microbiol Immunol. 2005 Jun;20(3):131-40. doi: 10.1111/j.1399-302X.2004.00190.x.
7
Streptococcus salivarius fimbriae are composed of a glycoprotein containing a repeated motif assembled into a filamentous nondissociable structure.唾液链球菌菌毛由一种糖蛋白组成,该糖蛋白含有一个重复基序,组装成丝状不可解离结构。
J Bacteriol. 2001 May;183(9):2724-32. doi: 10.1128/JB.183.9.2724-2732.2001.
8
Cell wall-anchored CshA polypeptide (259 kilodaltons) in Streptococcus gordonii forms surface fibrils that confer hydrophobic and adhesive properties.戈登链球菌中细胞壁锚定的CshA多肽(259千道尔顿)形成具有疏水和粘附特性的表面纤丝。
J Bacteriol. 1999 May;181(10):3087-95. doi: 10.1128/JB.181.10.3087-3095.1999.
9
Genetic analysis of adherence by oral streptococci.口腔链球菌黏附的遗传分析。
J Ind Microbiol. 1995 Sep;15(3):186-92. doi: 10.1007/BF01569824.
10
Structural properties of fibrillar proteins isolated from the cell surface and cytoplasm of Streptococcus salivarius (K+) cells and nonadhesive mutants.从唾液链球菌(K+)细胞以及非粘附突变体的细胞表面和细胞质中分离出的纤维状蛋白质的结构特性。
J Bacteriol. 1986 Mar;165(3):756-62. doi: 10.1128/jb.165.3.756-762.1986.
Infect Immun. 1981 May;32(2):723-30. doi: 10.1128/iai.32.2.723-730.1981.
4
Characterization of the adherence properties of Streptococcus salivarius.唾液链球菌黏附特性的表征
Infect Immun. 1980 Aug;29(2):459-68. doi: 10.1128/iai.29.2.459-468.1980.
5
Cell wall-associated protein antigens of Streptococcus salivarius: purification, properties, and function in adherence.唾液链球菌细胞壁相关蛋白抗原:纯化、特性及黏附中的功能
Infect Immun. 1982 Oct;38(1):233-42. doi: 10.1128/iai.38.1.233-242.1982.
6
Lipoteichoic acid-binding and biological properties of T protein of group A streptococcus.A 群链球菌 T 蛋白的脂磷壁酸结合及生物学特性
Infect Immun. 1980 Aug;29(2):791-8. doi: 10.1128/iai.29.2.791-798.1980.
7
Subcellular localization of alkaline phosphatase in Bacillus licheniformis 749/C by immunoelectron microscopy with colloidal gold.用胶体金免疫电子显微镜技术对地衣芽孢杆菌749/C中碱性磷酸酶进行亚细胞定位
J Bacteriol. 1984 Aug;159(2):668-77. doi: 10.1128/jb.159.2.668-677.1984.
8
Purification and characterization of galactosephilic component present on the cell surfaces of Streptococcus sanguis ATCC 10557.血链球菌ATCC 10557细胞表面存在的嗜半乳糖成分的纯化与特性分析
J Periodontol. 1983 Mar;54(3):163-72. doi: 10.1902/jop.1983.54.3.163.
9
Immunocytochemical localization of the elongation factor Tu in E. coli cells.
FEBS Lett. 1984 Jan 9;165(2):175-9. doi: 10.1016/0014-5793(84)80164-7.
10
Streptococcus salivarius strains carry either fibrils or fimbriae on the cell surface.唾液链球菌菌株在细胞表面带有纤丝或菌毛。
J Bacteriol. 1984 Jan;157(1):64-72. doi: 10.1128/jb.157.1.64-72.1984.