Suppr超能文献

伴有非特异性囊性退变的单骨型纤维发育不良:一例报告并文献复习

Monostostic fibrous dysplasia with nonspecific cystic degeneration: A case report and review of literature.

作者信息

Nadaf Afreen, Radhika Mb, Paremala K, Srinath N

机构信息

Department of Oral Pathology, Government Dental College, Jammu and Kashmir, India.

出版信息

J Oral Maxillofac Pathol. 2013 May;17(2):274-80. doi: 10.4103/0973-029X.119765.

Abstract

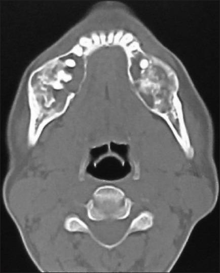
Fibrous dysplasia (FD) has been regarded as a developmental skeletal disorder characterized by replacement of normal bone with benign cellular fibrous connective tissue. It has now become evident that FD is a genetic disease caused by somatic activating mutation of the Gsα subunit of G protein-coupled receptor. Here we report a case of bilateral monostotic FD in a middle-aged female showing a classic histological picture, but radiologically presenting as a mixed radiolucent radiopaque lesion showing nonspecific cystic degeneration.

摘要

骨纤维异常增殖症(FD)被认为是一种发育性骨骼疾病,其特征是正常骨被良性细胞性纤维结缔组织所替代。现在已经明确,FD是一种由G蛋白偶联受体的Gsα亚基的体细胞激活突变引起的遗传性疾病。在此,我们报告一例中年女性双侧单发性FD病例,其组织学表现典型,但放射学上表现为混合性透射线不透射线病变,显示非特异性囊性退变。

https://cdn.ncbi.nlm.nih.gov/pmc/blobs/3662/3830241/02b0587e7d4a/JOMFP-17-274-g001.jpg

文献AI研究员

20分钟写一篇综述,助力文献阅读效率提升50倍。

立即体验

用中文搜PubMed

大模型驱动的PubMed中文搜索引擎

马上搜索

文档翻译

学术文献翻译模型,支持多种主流文档格式。

立即体验