• 文献检索
  • 文档翻译
  • 深度研究
  • 学术资讯
  • Suppr Zotero 插件Zotero 插件
  • 邀请有礼
  • 套餐&价格
  • 历史记录
应用&插件
Suppr Zotero 插件Zotero 插件浏览器插件Mac 客户端Windows 客户端微信小程序
定价
高级版会员购买积分包购买API积分包
服务
文献检索文档翻译深度研究API 文档MCP 服务
关于我们
关于 Suppr公司介绍联系我们用户协议隐私条款
关注我们

Suppr 超能文献

核心技术专利:CN118964589B侵权必究
粤ICP备2023148730 号-1Suppr @ 2026

文献检索

告别复杂PubMed语法,用中文像聊天一样搜索,搜遍4000万医学文献。AI智能推荐,让科研检索更轻松。

立即免费搜索

文件翻译

保留排版,准确专业,支持PDF/Word/PPT等文件格式,支持 12+语言互译。

免费翻译文档

深度研究

AI帮你快速写综述,25分钟生成高质量综述,智能提取关键信息,辅助科研写作。

立即免费体验

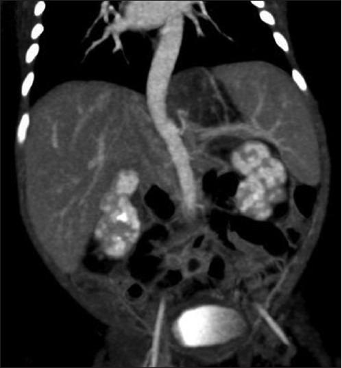
膈下叶外型肺隔离症:伪装成肾上腺肿块。

Infradiaphragmatic extralobar pulmonary sequestration: masquerading as suprarenal mass.

作者信息

Kalenahalli Kiran V, Garg Navneet, Goolahally Lakshmikantha N, Reddy Somasekhara P, Iyengar Jayanth

机构信息

Department of Radiology and Imaging, Sagar Hospitals, Bangalore, Karnataka, India.

出版信息

J Clin Neonatol. 2013 Jul;2(3):146-8. doi: 10.4103/2249-4847.120009.

DOI:10.4103/2249-4847.120009
PMID:24251262
原文链接:https://pmc.ncbi.nlm.nih.gov/articles/PMC3830153/
Abstract

Pulmonary sequestration is a rare malformation, wherein a portion of lung is non-functional and is not in normal continuity with the tracheo-bronchial tree, and may derive its blood supply from systemic vessels. Two types are described: Intralobar and extralobar types. Intralobar sequestration is more common type, which shares visceral pleura of the involved lobe and is localized within the normal pulmonary parenchyma. Whereas extralobar forms are uncommon and are totally separate from the lung and usually have own covering. Infra-diaphragmatic pulmonary sequestration is of extralobar type and is extremely rare, and usually is associated with other congenital malformations. We present an extremely rare case of isolated infra-diaphragmatic pulmonary sequestration which was antenatally detected and followed up with postnatal CT scan, where it masqueraded as suprarenal mass, and was surgically treated. This case emphasises to add a differential diagnosis of malformation in congenital supra-renal masses, which remain stable in size and appearance, and hence avoid immediate surgery.

摘要

肺隔离症是一种罕见的畸形,其中一部分肺组织无功能,与气管支气管树无正常连续性,且其血液供应可能来自体循环血管。可分为两种类型:叶内型和叶外型。叶内型肺隔离症较为常见,与受累肺叶的脏层胸膜相连,位于正常肺实质内。而叶外型较少见,与肺完全分离,通常有自己的被膜。膈下肺隔离症属于叶外型,极为罕见,通常与其他先天性畸形相关。我们报告了一例极其罕见的孤立性膈下肺隔离症病例,该病例在产前被检测到,并在出生后进行CT扫描随访,其在CT上表现为肾上腺肿块,最终接受了手术治疗。该病例强调在先天性肾上腺肿块的鉴别诊断中应增加对畸形的考虑,这类肿块在大小和外观上保持稳定,因此应避免立即手术。

https://cdn.ncbi.nlm.nih.gov/pmc/blobs/c121/3830153/1307100429cb/JCN-3-146-g003.jpg
https://cdn.ncbi.nlm.nih.gov/pmc/blobs/c121/3830153/a095f0224b81/JCN-3-146-g001.jpg
https://cdn.ncbi.nlm.nih.gov/pmc/blobs/c121/3830153/447821093af9/JCN-3-146-g002.jpg
https://cdn.ncbi.nlm.nih.gov/pmc/blobs/c121/3830153/1307100429cb/JCN-3-146-g003.jpg
https://cdn.ncbi.nlm.nih.gov/pmc/blobs/c121/3830153/a095f0224b81/JCN-3-146-g001.jpg
https://cdn.ncbi.nlm.nih.gov/pmc/blobs/c121/3830153/447821093af9/JCN-3-146-g002.jpg
https://cdn.ncbi.nlm.nih.gov/pmc/blobs/c121/3830153/1307100429cb/JCN-3-146-g003.jpg

相似文献

1
Infradiaphragmatic extralobar pulmonary sequestration: masquerading as suprarenal mass.膈下叶外型肺隔离症:伪装成肾上腺肿块。
J Clin Neonatol. 2013 Jul;2(3):146-8. doi: 10.4103/2249-4847.120009.
2
Isolated subdiaphragmatic extralobar pulmonary sequestration: masquerading as suprarenal mass with spontaneous resolution.孤立性膈下叶外型肺隔离症:伪装成肾上腺肿块并自行消退。
Clin Exp Obstet Gynecol. 2016;43(3):457-9.
3
Management of antenatally diagnosed pulmonary sequestration associated with congenital cystic adenomatoid malformation.产前诊断的肺隔离症合并先天性囊性腺瘤样畸形的管理
Thorax. 1999 Aug;54(8):701-6. doi: 10.1136/thx.54.8.701.
4
Pulmonary Sequestration肺隔离症
5
Late revelation of a subphrenic extralobar pulmonary sequestration as a suprarenal mass.下肺叶膈下肺隔离症迟发表现为肾上腺区肿块。
Urology. 2012 Jun;79(6):e88-9. doi: 10.1016/j.urology.2012.02.031. Epub 2012 Apr 17.
6
Case Report: Thoracoscopic treatment of infradiaphragmatic pulmonary sequestration and intrathoracic kidney associated with congenital diaphragmatic hernia.病例报告:胸腔镜治疗与先天性膈疝相关的膈下肺隔离症和胸腔内肾
Front Pediatr. 2024 Aug 14;12:1442347. doi: 10.3389/fped.2024.1442347. eCollection 2024.
7
Intralobar bronchopulmonary sequestration with mixed venous drainage in a 10-year-old girl.一名10岁女孩的叶内型支气管肺隔离症伴混合性静脉引流。
Acta Chir Belg. 2009 Jul-Aug;109(4):501-3. doi: 10.1080/00015458.2009.11680469.
8
[Congenital pulmonary extralobar intra-abdominal sequestration].
J Pediatr (Rio J). 1997 Jan-Feb;73(1):51-3. doi: 10.2223/jped.503.
9
Intralobar bronchopulmonary sequestration in an adult: a case report.成人叶内型支气管肺隔离症:一例报告
Ann Med Surg (Lond). 2024 Mar 18;86(7):4143-4145. doi: 10.1097/MS9.0000000000001969. eCollection 2024 Jul.
10
Adenocarcinoma arising in an extralobar sequestration: a case report and review of the literature.发生于肺隔离症的肺腺癌:病例报告及文献复习。
Lung Cancer. 2014 Apr;84(1):92-5. doi: 10.1016/j.lungcan.2014.01.025. Epub 2014 Feb 3.

引用本文的文献

1
Extralobar Pulmonary Sequestration: A Rare Entity.肺叶外型肺隔离症:一种罕见病症。
Cureus. 2024 Jul 20;16(7):e64977. doi: 10.7759/cureus.64977. eCollection 2024 Jul.
2
Extralobar Supradiaphragmatic Pulmonary Sequestration Arising from the Retroperitoneum Through a Congenital Diaphragmatic Defect.经先天性膈肌缺损起源于腹膜后间隙的叶外型膈上肺隔离症
J Chest Surg. 2021 Jun 5;54(3):224-227. doi: 10.5090/jcs.20.065. Epub 2021 Jan 21.
3
Postnatally diagnosed coexisting congenital diaphragmatic hernia with pulmonary sequestration: a report of two cases.

本文引用的文献

1
Extralobar infradiaphragmatic pulmonary sequestration with a digestive communication.伴有消化道瘘的膈下叶外型肺隔离症
J Thorac Cardiovasc Surg. 2002 Jan;123(1):188-9. doi: 10.1067/mtc.2002.118040.
2
Intralobar sequestration: radiologic-pathologic correlation.叶内型肺隔离症:影像学与病理学的相关性
Radiographics. 1997 May-Jun;17(3):725-45. doi: 10.1148/radiographics.17.3.9153708.
3
From the archives of the AFIP. Extralobar sequestration: radiologic-pathologic correlation.
出生后诊断的先天性膈疝合并肺隔离症:两例报告
Obstet Gynecol Sci. 2020 Jul;63(4):529-533. doi: 10.5468/ogs.20052. Epub 2020 Jul 8.
4
Intradiaphragmatic extralobar pulmonary sequestration in adult.成人膈内肺叶外型肺隔离症
J Cardiothorac Surg. 2014 Jun 20;9:112. doi: 10.1186/1749-8090-9-112.
Radiographics. 1993 Mar;13(2):425-41. doi: 10.1148/radiographics.13.2.8460228.
4
Sequestrations of the lung.肺隔离症
Semin Diagn Pathol. 1986 May;3(2):106-21.
5
Pulmonary sequestration in the neonate.
Chest. 1990 Jan;97(1):244-6. doi: 10.1378/chest.97.1.244.
6
Subdiaphragmatic extralobar pulmonary sequestration.膈下叶外型肺隔离症
Arch Pathol Lab Med. 1991 May;115(5):536-8.
7
Intraabdominal pulmonary sequestration.腹内肺隔离症
J Pediatr Surg. 1991 Dec;26(12):1381-3. doi: 10.1016/0022-3468(91)91038-z.
8
Communicating bronchopulmonary foregut malformations: classification and embryogenesis.交通性支气管肺前肠畸形:分类与胚胎发生
J Pediatr Surg. 1992 Jun;27(6):732-6. doi: 10.1016/s0022-3468(05)80103-4.