• 文献检索
  • 文档翻译
  • 深度研究
  • 学术资讯
  • Suppr Zotero 插件Zotero 插件
  • 邀请有礼
  • 套餐&价格
  • 历史记录
应用&插件
Suppr Zotero 插件Zotero 插件浏览器插件Mac 客户端Windows 客户端微信小程序
定价
高级版会员购买积分包购买API积分包
服务
文献检索文档翻译深度研究API 文档MCP 服务
关于我们
关于 Suppr公司介绍联系我们用户协议隐私条款
关注我们

Suppr 超能文献

核心技术专利:CN118964589B侵权必究
粤ICP备2023148730 号-1Suppr @ 2026

文献检索

告别复杂PubMed语法,用中文像聊天一样搜索,搜遍4000万医学文献。AI智能推荐,让科研检索更轻松。

立即免费搜索

文件翻译

保留排版,准确专业,支持PDF/Word/PPT等文件格式,支持 12+语言互译。

免费翻译文档

深度研究

AI帮你快速写综述,25分钟生成高质量综述,智能提取关键信息,辅助科研写作。

立即免费体验

转移性透明细胞肾细胞癌的组织学变异及免疫组化特征

Histologic variations and immunohistochemical features of metastatic clear cell renal cell carcinoma.

作者信息

Lee Cheol, Park Jeong-Whan, Suh Ja Hee, Nam Kyung Han, Moon Kyung Chul

机构信息

Department of Pathology, Seoul National University College of Medicine, Seoul, Korea.

出版信息

Korean J Pathol. 2013 Oct;47(5):426-32. doi: 10.4132/KoreanJPathol.2013.47.5.426. Epub 2013 Oct 25.

DOI:10.4132/KoreanJPathol.2013.47.5.426
PMID:24255630
原文链接:https://pmc.ncbi.nlm.nih.gov/articles/PMC3830989/
Abstract

BACKGROUND

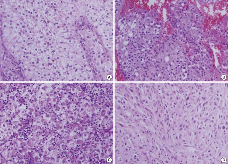
Due to advancements in treatment of metastatic and advanced renal cell carcinoma (RCC), it has become increasingly important to diagnose metastatic RCC and the specific subtype. In this study, we investigated the diverse histologic features of metastatic clear cell renal cell carcinoma (CCRCC) cases in comparison with corresponding primary lesions.

METHODS

We identified 119 metastatic CCRCC cases from 81 corresponding primary lesions diagnosed between 1995 and 2010 and evaluated the diverse histologic and immunohistochemical features of these lesions.

RESULTS

A total of 44 primary lesions (54.3%) had a non-clear cell component in addition to a typical clear cell component. Of the 119 metastatic lesions, 63 lesions (52.9%) contained a non-clear cell component, and 29 metastatic lesions were composed of a non-clear cell component only. Rhabdoid features were the most frequent non-clear cell histology among the metastatic lesions. Metastatic CCRCCs mainly showed positive CD10 and epithelial membrane antigen staining and negative cytokeratin 7 staining.

CONCLUSIONS

Metastatic CCRCC commonly showed a variety of histologic features. If there is a difficulty to diagnose metastatic CCRCC due to a variety of histologic features or small biopsy specimen, histologic review of the primary lesion and immunohistochemical analysis can help determine the correct diagnosis.

摘要

背景

由于转移性和晚期肾细胞癌(RCC)治疗方法的进步,诊断转移性RCC及其特定亚型变得越来越重要。在本研究中,我们调查了转移性透明细胞肾细胞癌(CCRCC)病例与相应原发灶相比的多种组织学特征。

方法

我们从1995年至2010年诊断的81个相应原发灶中确定了119例转移性CCRCC病例,并评估了这些病变的多种组织学和免疫组化特征。

结果

共有44个原发灶(54.3%)除典型透明细胞成分外还具有非透明细胞成分。在119个转移灶中,63个病灶(52.9%)含有非透明细胞成分,29个转移灶仅由非透明细胞成分组成。横纹肌样特征是转移灶中最常见的非透明细胞组织学类型。转移性CCRCC主要表现为CD10和上皮膜抗原染色阳性,细胞角蛋白7染色阴性。

结论

转移性CCRCC通常表现出多种组织学特征。如果由于多种组织学特征或活检标本较小而难以诊断转移性CCRCC,对原发灶进行组织学复查和免疫组化分析有助于确定正确诊断。

https://cdn.ncbi.nlm.nih.gov/pmc/blobs/3899/3830989/9538847228eb/kjpathol-47-426-g002.jpg
https://cdn.ncbi.nlm.nih.gov/pmc/blobs/3899/3830989/1d05866310ba/kjpathol-47-426-g001.jpg
https://cdn.ncbi.nlm.nih.gov/pmc/blobs/3899/3830989/9538847228eb/kjpathol-47-426-g002.jpg
https://cdn.ncbi.nlm.nih.gov/pmc/blobs/3899/3830989/1d05866310ba/kjpathol-47-426-g001.jpg
https://cdn.ncbi.nlm.nih.gov/pmc/blobs/3899/3830989/9538847228eb/kjpathol-47-426-g002.jpg

相似文献

1
Histologic variations and immunohistochemical features of metastatic clear cell renal cell carcinoma.转移性透明细胞肾细胞癌的组织学变异及免疫组化特征
Korean J Pathol. 2013 Oct;47(5):426-32. doi: 10.4132/KoreanJPathol.2013.47.5.426. Epub 2013 Oct 25.
2
The distinction of clear cell carcinoma of the female genital tract, clear cell renal cell carcinoma, and translocation-associated renal cell carcinoma: an immunohistochemical study using tissue microarray.女性生殖道透明细胞癌、透明细胞肾细胞癌和易位相关性肾细胞癌的鉴别:应用组织微阵列的免疫组织化学研究。
Int J Gynecol Pathol. 2011 Sep;30(5):425-30. doi: 10.1097/PGP.0b013e318214dd4f.
3
Renal Neoplasms With Overlapping Features of Clear Cell Renal Cell Carcinoma and Clear Cell Papillary Renal Cell Carcinoma: A Clinicopathologic Study of 37 Cases From a Single Institution.具有透明细胞肾细胞癌和透明细胞乳头状肾细胞癌重叠特征的肾肿瘤:来自单一机构的37例临床病理研究
Am J Surg Pathol. 2016 Feb;40(2):141-54. doi: 10.1097/PAS.0000000000000583.
4
Metastatic renal cell carcinoma to the oral cavity and clear cell mucoepidermoid carcinoma: comparative clinicopathologic and immunohistochemical study.口腔转移性肾细胞癌与透明细胞黏液表皮样癌:临床病理及免疫组化对比研究
Oral Surg Oral Med Oral Pathol Oral Radiol Endod. 2010 Apr;109(4):e22-7. doi: 10.1016/j.tripleo.2009.12.006.
5
Distinguishing clear cell renal cell carcinoma, retroperitoneal paraganglioma, and adrenal cortical lesions on limited biopsy material: utility of immunohistochemical markers.在有限的活检材料上鉴别透明细胞肾细胞癌、腹膜后副神经节瘤和肾上腺皮质病变:免疫组化标志物的应用
Appl Immunohistochem Mol Morphol. 2010 Oct;18(5):414-21. doi: 10.1097/PAI.0b013e3181ddf7b9.
6
The utility of using immunohistochemistry in the differentiation of metastatic, cutaneous clear cell renal cell carcinoma and clear cell hidradenoma.免疫组织化学在转移性皮肤透明细胞肾细胞癌和透明细胞汗腺瘤鉴别诊断中的应用。
J Cutan Pathol. 2017 Jul;44(7):612-615. doi: 10.1111/cup.12946. Epub 2017 May 16.
7
Clear cell papillary cystadenoma of the epididymis and mesosalpinx: immunohistochemical differentiation from metastatic clear cell renal cell carcinoma.附睾和输卵管系膜透明细胞乳头状囊腺瘤:与转移性透明细胞肾细胞癌的免疫组化鉴别
Am J Surg Pathol. 2005 Apr;29(4):520-3. doi: 10.1097/01.pas.0000155160.36154.ml.
8
Identification and validation of novel prognostic markers in Renal Cell Carcinoma.肾细胞癌中新型预后标志物的鉴定与验证
Dan Med J. 2017 Oct;64(10).
9
Immunophenotypic comparison of salivary gland oncocytoma and metastatic renal cell carcinoma.涎腺嗜酸性细胞瘤与转移性肾细胞癌的免疫表型比较。
Laryngoscope. 2005 Jun;115(6):1097-100. doi: 10.1097/01.MLG.0000163497.61332.77.
10
Impact of histologic subtype and sarcomatoid transformation on metastasis in renal cell carcinoma: a single institute experience in 149 patients.组织学亚型和肉瘤样转化对肾细胞癌转移的影响:一家机构对149例患者的经验
Abdom Radiol (NY). 2016 Feb;41(2):295-302. doi: 10.1007/s00261-015-0569-7.

引用本文的文献

1
Antibody-Based Therapeutics for the Treatment of Renal Cell Carcinoma: Challenges and Opportunities.基于抗体的肾癌治疗药物:挑战与机遇。
Oncologist. 2023 Apr 6;28(4):297-308. doi: 10.1093/oncolo/oyac263.
2
Painful, bleeding fingertip papule.疼痛、出血的指尖丘疹。
JAAD Case Rep. 2022 Jan 21;21:130-132. doi: 10.1016/j.jdcr.2021.11.033. eCollection 2022 Mar.
3
Development and initial clinical testing of a multiplexed circulating tumor cell assay in patients with clear cell renal cell carcinoma.开发并初步临床试验检测用于透明细胞肾细胞癌患者的多重循环肿瘤细胞检测。

本文引用的文献

1
PAX2 and PAX8 expression in primary and metastatic renal tumors: a comprehensive comparison.PAX2 和 PAX8 在原发性和转移性肾肿瘤中的表达:全面比较。
Arch Pathol Lab Med. 2012 Dec;136(12):1541-51. doi: 10.5858/arpa.2012-0072-OA.
2
Sarcomatoid renal cell carcinoma.肉瘤样肾细胞癌
J Urol. 2012 Aug;188(2):601-2. doi: 10.1016/j.juro.2012.05.021. Epub 2012 Jun 15.
3
Limitations of preoperative biopsy in patients with metastatic renal cell carcinoma: comparison to surgical pathology in 405 cases.术前活检在转移性肾细胞癌患者中的局限性:405 例手术病理比较。
Mol Oncol. 2021 Sep;15(9):2330-2344. doi: 10.1002/1878-0261.12931. Epub 2021 Mar 3.
4
Laparoscopic cytoreductive nephrectomy and adrenalectomy for metachronous RCC metastases-Case report.腹腔镜下减瘤性肾切除术及肾上腺切除术治疗异时性肾细胞癌转移——病例报告
Int J Surg Case Rep. 2020;74:268-272. doi: 10.1016/j.ijscr.2020.08.046. Epub 2020 Aug 29.
5
The Clinical Activity of PD-1/PD-L1 Inhibitors in Metastatic Non-Clear Cell Renal Cell Carcinoma.PD-1/PD-L1 抑制剂在转移性非透明细胞肾细胞癌中的临床活性。
Cancer Immunol Res. 2018 Jul;6(7):758-765. doi: 10.1158/2326-6066.CIR-17-0475. Epub 2018 May 10.
6
Implication of PHF2 Expression in Clear Cell Renal Cell Carcinoma.PHF2表达在透明细胞肾细胞癌中的意义
J Pathol Transl Med. 2017 Jul;51(4):359-364. doi: 10.4132/jptm.2017.03.16. Epub 2017 Jun 13.
7
Long-term follow-up and clinical course of a rare case of von Hippel-Lindau disease: A case report and review of the literature.一例罕见的冯·希佩尔-林道病的长期随访及临床病程:病例报告并文献复习
Oncol Lett. 2016 May;11(5):3273-3278. doi: 10.3892/ol.2016.4387. Epub 2016 Mar 29.
8
Pulmonary metastasectomy from renal cell carcinoma including 3 cases with sarcomatoid component.肾细胞癌肺转移瘤切除术,包括3例伴有肉瘤样成分的病例。
Gen Thorac Cardiovasc Surg. 2016 Mar;64(3):149-52. doi: 10.1007/s11748-016-0623-6. Epub 2016 Jan 25.
BJU Int. 2012 Dec;110(11):1742-6. doi: 10.1111/j.1464-410X.2012.11124.x. Epub 2012 Apr 13.
4
Impact of pathological tumour characteristics in patients with sarcomatoid renal cell carcinoma.肉瘤样肾细胞癌患者的肿瘤病理学特征的影响。
BJU Int. 2012 Jun;109(11):1600-6. doi: 10.1111/j.1464-410X.2011.10785.x. Epub 2012 Jan 5.
5
Renal cell carcinoma with rhabdoid features.具有横纹肌样特征的肾细胞癌。
J Urol. 2011 Aug;186(2):675-6. doi: 10.1016/j.juro.2011.05.016. Epub 2011 Jun 17.
6
Adult renal cell carcinoma with rhabdoid morphology represents a neoplastic dedifferentiation analogous to sarcomatoid carcinoma.成人肾细胞癌伴横纹肌样形态学表现为一种类似于肉瘤样癌的肿瘤去分化。
Ann Diagn Pathol. 2011 Oct;15(5):333-7. doi: 10.1016/j.anndiagpath.2011.03.002. Epub 2011 Jun 12.
7
Immunohistochemical diagnosis of renal neoplasms.肾肿瘤的免疫组织化学诊断。
Arch Pathol Lab Med. 2011 Jan;135(1):92-109. doi: 10.5858/2010-0478-RAR.1.
8
The therapy of kidney cancer with biomolecular drugs.生物分子药物治疗肾癌。
Cancer Treat Rev. 2010 Nov;36 Suppl 3:S16-20. doi: 10.1016/S0305-7372(10)70015-3.
9
The utility of PAX-2 and renal cell carcinoma marker immunohistochemistry in distinguishing papillary renal cell carcinoma from nonrenal cell neoplasms with papillary features.PAX-2和肾细胞癌标志物免疫组化在鉴别乳头状肾细胞癌与具有乳头状特征的非肾细胞肿瘤中的应用。
Appl Immunohistochem Mol Morphol. 2010 Dec;18(6):494-8. doi: 10.1097/PAI.0b013e3181e78ff8.
10
The use of immunohistochemistry in the diagnosis of metastatic clear cell renal cell carcinoma: a review of PAX-8, PAX-2, hKIM-1, RCCma, and CD10.免疫组织化学在转移性透明细胞肾细胞癌诊断中的应用:PAX-8、PAX-2、hKIM-1、RCCma 和 CD10 的综述。
Adv Anat Pathol. 2010 Nov;17(6):377-93. doi: 10.1097/PAP.0b013e3181f89400.