Suppr超能文献

Morphology and incidence of the "posttherapeutic lymphoid cell" in the bone marrow of children with acute lymphoblastic leukemia.

作者信息

Schuurmans Stekhoven J H, Langenhuysen C A, Bakkeren J A, Holland R, Höller I, De Vaan G A, Schretlen E D

出版信息

Am J Pathol. 1986 Jul;124(1):46-52.

Abstract

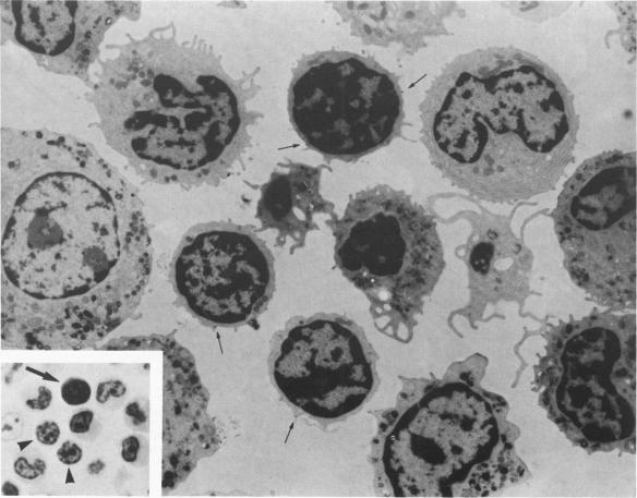
In the posttherapeutic bone marrow of a group of 30 children with acute lymphoblastic leukemia (ALL), small numbers of a particular lymphoid cell with a comparatively large size and large dark nucleus were found. This cell was called the "posttherapeutic lymphoid cell." This type of cell is easily distinguishable in the May-Grünwald-Giemsa-stained smears as well as in semi- and ultrathin Epon sections. Immunoelectron-microscopically it proved to be positive for common ALL. It is hypothesized that the cell might be characteristic for ALL. However, it appeared that this cell could equally be found in non-Hodgkin's malignant lymphoma after a treatment comparable to that in ALL. Furthermore, the cell could be detected in the posttherapeutic bone marrow of children with nonlymphoid malignancies as well as the marrow of very young children (under 2 years of age) with nonmalignant diseases. The results showed that the cell in question is not associated with a particular disease but, rather, represents a special type of lymphoid cell in the regenerating or actively proliferating bone marrow.

摘要
https://cdn.ncbi.nlm.nih.gov/pmc/blobs/7792/1888181/14af7ea725e2/amjpathol00154-0054-a.jpg

文献AI研究员

20分钟写一篇综述,助力文献阅读效率提升50倍。

立即体验

用中文搜PubMed

大模型驱动的PubMed中文搜索引擎

马上搜索

文档翻译

学术文献翻译模型,支持多种主流文档格式。

立即体验