• 文献检索
  • 文档翻译
  • 深度研究
  • 学术资讯
  • Suppr Zotero 插件Zotero 插件
  • 邀请有礼
  • 套餐&价格
  • 历史记录
应用&插件
Suppr Zotero 插件Zotero 插件浏览器插件Mac 客户端Windows 客户端微信小程序
定价
高级版会员购买积分包购买API积分包
服务
文献检索文档翻译深度研究API 文档MCP 服务
关于我们
关于 Suppr公司介绍联系我们用户协议隐私条款
关注我们

Suppr 超能文献

核心技术专利:CN118964589B侵权必究
粤ICP备2023148730 号-1Suppr @ 2026

文献检索

告别复杂PubMed语法,用中文像聊天一样搜索,搜遍4000万医学文献。AI智能推荐,让科研检索更轻松。

立即免费搜索

文件翻译

保留排版,准确专业,支持PDF/Word/PPT等文件格式,支持 12+语言互译。

免费翻译文档

深度研究

AI帮你快速写综述,25分钟生成高质量综述,智能提取关键信息,辅助科研写作。

立即免费体验

羟乙基淀粉在人和动物组织中的蓄积:一项系统评价。

Accumulation of hydroxyethyl starch in human and animal tissues: a systematic review.

作者信息

Wiedermann Christian J, Joannidis Michael

机构信息

Department of Internal Medicine, Central Hospital of Bolzano, Lorenz-Böhler-Street 5, 39100, Bolzano, Italy.

Division of Emergency and Intensive Care Medicine, Department of Internal Medicine, Medical University of Innsbruck, Innsbruck, Austria.

出版信息

Intensive Care Med. 2014 Feb;40(2):160-170. doi: 10.1007/s00134-013-3156-9. Epub 2013 Nov 21.

DOI:10.1007/s00134-013-3156-9
PMID:24257970
原文链接:https://pmc.ncbi.nlm.nih.gov/articles/PMC7728635/
Abstract

PURPOSE

To systematically review clinical and preclinical data on hydroxyethyl starch (HES) tissue storage.

METHODS

MEDLINE (PubMed) was searched and abstracts were screened using defined criteria to identify articles containing original data on HES tissue accumulation.

RESULTS

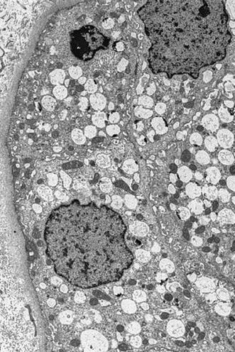
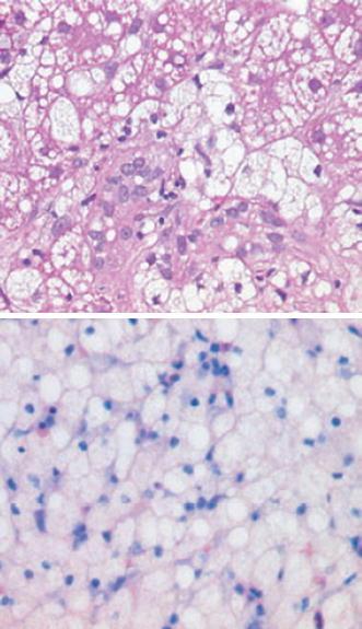
Forty-eight studies were included: 37 human studies with a total of 635 patients and 11 animal studies. The most frequent indication for fluid infusion was surgery accounting for 282 patients (45.9%). HES localization in skin was shown by 17 studies, in kidney by 12, in liver by 8, and in bone marrow by 5. Additional sites of HES deposition were lymph nodes, spleen, lung, pancreas, intestine, muscle, trophoblast, and placental stroma. Among major organs the highest measured tissue concentration of HES was in the kidney. HES uptake into intracellular vacuoles was observed by 30 min after infusion. Storage was cumulative, increasing in proportion to dose, although in 15% of patients storage and associated symptoms were demonstrated at the lowest cumulative doses (0.4 g kg(-1)). Some HES deposits were extremely long-lasting, persisting for 8 years or more in skin and 10 years in kidney. Pruritus associated with HES storage was described in 17 studies and renal dysfunction in ten studies. In one included randomized trial, HES infusion produced osmotic nephrosis-like lesions indicative of HES storage (p = 0.01) and also increased the need for renal replacement therapy (odds ratio, 9.50; 95% confidence interval, 1.09-82.7; p = 0.02). The tissue distribution of HES was generally similar in animals and humans.

CONCLUSIONS

Tissue storage of HES is widespread, rapid, cumulative, frequently long-lasting, and potentially harmful.

摘要

目的

系统回顾羟乙基淀粉(HES)组织储存的临床和临床前数据。

方法

检索MEDLINE(PubMed),并使用既定标准筛选摘要,以识别包含HES组织蓄积原始数据的文章。

结果

纳入48项研究:37项人体研究,共635例患者,11项动物研究。输液最常见的适应证是手术,占282例患者(45.9%)。17项研究显示HES定位于皮肤,12项定位于肾脏,8项定位于肝脏,5项定位于骨髓。HES沉积的其他部位有淋巴结、脾脏、肺、胰腺、肠道、肌肉、滋养层和胎盘基质。在主要器官中,测得的HES组织浓度最高的是肾脏。输液后30分钟观察到HES摄取进入细胞内空泡。储存是累积性的,与剂量成比例增加,尽管在15%的患者中,在最低累积剂量(0.4 g·kg⁻¹)时就出现了储存及相关症状。一些HES沉积物持续时间极长,在皮肤中持续8年或更长时间,在肾脏中持续10年。17项研究描述了与HES储存相关的瘙痒,10项研究描述了肾功能障碍。在一项纳入的随机试验中,HES输注产生了提示HES储存的渗透性肾病样病变(p = 0.01),并且还增加了肾脏替代治疗的需求(优势比,9.50;95%置信区间,1.09 - 82.7;p = 0.02)。HES在动物和人类中的组织分布总体相似。

结论

HES的组织储存广泛、迅速、累积、通常持久且可能有害。

https://cdn.ncbi.nlm.nih.gov/pmc/blobs/62b8/7728635/1939ca1cb632/134_2013_3156_Fig4_HTML.jpg
https://cdn.ncbi.nlm.nih.gov/pmc/blobs/62b8/7728635/27879e4a8db9/134_2013_3156_Fig1_HTML.jpg
https://cdn.ncbi.nlm.nih.gov/pmc/blobs/62b8/7728635/cb90c51bf5a8/134_2013_3156_Fig2_HTML.jpg
https://cdn.ncbi.nlm.nih.gov/pmc/blobs/62b8/7728635/41971518781f/134_2013_3156_Fig3_HTML.jpg
https://cdn.ncbi.nlm.nih.gov/pmc/blobs/62b8/7728635/1939ca1cb632/134_2013_3156_Fig4_HTML.jpg
https://cdn.ncbi.nlm.nih.gov/pmc/blobs/62b8/7728635/27879e4a8db9/134_2013_3156_Fig1_HTML.jpg
https://cdn.ncbi.nlm.nih.gov/pmc/blobs/62b8/7728635/cb90c51bf5a8/134_2013_3156_Fig2_HTML.jpg
https://cdn.ncbi.nlm.nih.gov/pmc/blobs/62b8/7728635/41971518781f/134_2013_3156_Fig3_HTML.jpg
https://cdn.ncbi.nlm.nih.gov/pmc/blobs/62b8/7728635/1939ca1cb632/134_2013_3156_Fig4_HTML.jpg

相似文献

1
Accumulation of hydroxyethyl starch in human and animal tissues: a systematic review.羟乙基淀粉在人和动物组织中的蓄积:一项系统评价。
Intensive Care Med. 2014 Feb;40(2):160-170. doi: 10.1007/s00134-013-3156-9. Epub 2013 Nov 21.
2
Hydroxyethyl starch (HES) versus other fluid therapies: effects on kidney function.羟乙基淀粉(HES)与其他液体疗法:对肾功能的影响。
Cochrane Database Syst Rev. 2013 Jul 23;2013(7):CD007594. doi: 10.1002/14651858.CD007594.pub3.
3
Hydroxyethyl starch (HES) versus other fluid therapies: effects on kidney function.羟乙基淀粉(HES)与其他液体疗法:对肾功能的影响。
Cochrane Database Syst Rev. 2010 Jan 20(1):CD007594. doi: 10.1002/14651858.CD007594.pub2.
4
Volume expanders for the prevention of ovarian hyperstimulation syndrome.用于预防卵巢过度刺激综合征的扩容剂。
Cochrane Database Syst Rev. 2016 Aug 31;2016(8):CD001302. doi: 10.1002/14651858.CD001302.pub3.
5
A systematic review of third-generation hydroxyethyl starch (HES 130/0.4) in resuscitation: safety not adequately addressed.第三代羟乙基淀粉(HES 130/0.4)复苏治疗的系统评价:安全性未得到充分解决。
Anesth Analg. 2011 Mar;112(3):635-45. doi: 10.1213/ANE.0b013e31820ad607. Epub 2011 Feb 8.
6
Smoking cessation medicines and e-cigarettes: a systematic review, network meta-analysis and cost-effectiveness analysis.戒烟药物和电子烟:系统评价、网络荟萃分析和成本效益分析。
Health Technol Assess. 2021 Oct;25(59):1-224. doi: 10.3310/hta25590.
7
Falls prevention interventions for community-dwelling older adults: systematic review and meta-analysis of benefits, harms, and patient values and preferences.社区居住的老年人跌倒预防干预措施:系统评价和荟萃分析的益处、危害以及患者的价值观和偏好。
Syst Rev. 2024 Nov 26;13(1):289. doi: 10.1186/s13643-024-02681-3.
8
Fluid resuscitation with hydroxyethyl starches in patients with sepsis is associated with an increased incidence of acute kidney injury and use of renal replacement therapy: a systematic review and meta-analysis of the literature.脓毒症患者使用羟乙基淀粉进行液体复苏与急性肾损伤发生率增加及肾脏替代治疗的使用相关:一项文献系统综述和荟萃分析
J Crit Care. 2014 Feb;29(1):185.e1-7. doi: 10.1016/j.jcrc.2013.09.031. Epub 2013 Oct 22.
9
Enzyme replacement and substrate reduction therapy for Gaucher disease.戈谢病的酶替代疗法和底物减少疗法。
Cochrane Database Syst Rev. 2015 Mar 27;2015(3):CD010324. doi: 10.1002/14651858.CD010324.pub2.
10
Colloid solutions for fluid resuscitation.用于液体复苏的胶体溶液。
Cochrane Database Syst Rev. 2012 Jul 11;2012(7):CD001319. doi: 10.1002/14651858.CD001319.pub5.

引用本文的文献

1
Characterizing extravascular lung water-A dual-contrast agent extracellular volume approach by cardiovascular magnetic resonance.通过心血管磁共振成像表征血管外肺水——双对比剂细胞外容积法
J Cardiovasc Magn Reson. 2025;27(1):101883. doi: 10.1016/j.jocmr.2025.101883. Epub 2025 Mar 20.
2
The effects of hydroxyethyl starch 130/0.4 on perioperative renal function in patients undergoing cardiac surgery: A randomised controlled trial.羟乙基淀粉130/0.4对心脏手术患者围手术期肾功能的影响:一项随机对照试验。
Ann Med Surg (Lond). 2022 Aug 24;81:104475. doi: 10.1016/j.amsu.2022.104475. eCollection 2022 Sep.
3

本文引用的文献

1
Permanent renal failure induced by pentastarch.羟乙基淀粉诱导的永久性肾衰竭
NDT Plus. 2008 Oct;1(5):322-5. doi: 10.1093/ndtplus/sfn075. Epub 2008 Jun 23.
2
Hydroxyethyl starch-induced pruritus: clinical characteristics and influence of dose, molecular weight and substitution.羟乙基淀粉诱导的瘙痒:临床特征及剂量、分子量和取代度的影响
Acta Derm Venereol. 2014 May;94(3):282-7. doi: 10.2340/00015555-1639.
3
Hydroxyethyl starch (HES) versus other fluid therapies: effects on kidney function.羟乙基淀粉(HES)与其他液体疗法:对肾功能的影响。
Assessment of Hydroxyethyl Starch (6% HES 130/0.4) Kidney Storage in Critically Ill Dogs: A Post-mortem Prospective Study.
羟乙基淀粉(6% HES 130/0.4)在重症犬肾脏储存情况的评估:一项尸检前瞻性研究
Front Vet Sci. 2022 Jan 6;8:802507. doi: 10.3389/fvets.2021.802507. eCollection 2021.
4
Stage 1-Biomarkers of Kidney Injury in Dogs Undergoing Constant Rate Infusion of Hydroxyethyl Starch 130/0.4.第一阶段——接受羟乙基淀粉130/0.4恒速输注的犬肾损伤生物标志物
Animals (Basel). 2021 Aug 31;11(9):2555. doi: 10.3390/ani11092555.
5
[Pharmacological therapy of circulatory shock].[循环休克的药物治疗]
Med Klin Intensivmed Notfmed. 2021 Sep;116(6):541-553. doi: 10.1007/s00063-021-00838-9. Epub 2021 Aug 2.
6
Colloids Yes or No? - a "Gretchen Question" Answered.胶体:是或否?——一个“格雷琴问题”的答案
Front Vet Sci. 2021 Jul 2;8:624049. doi: 10.3389/fvets.2021.624049. eCollection 2021.
7
Epidural analgesia followed by epidural hydroxyethyl starch prevented post-dural puncture headache: Twenty case reports and a review of the literature.硬膜外镇痛联合硬膜外羟乙基淀粉预防硬膜穿刺后头痛:20例病例报告及文献综述
World J Clin Cases. 2021 Mar 16;9(8):1946-1952. doi: 10.12998/wjcc.v9.i8.1946.
8
Fluids in ARDS: more pros than cons.急性呼吸窘迫综合征中的液体治疗:利大于弊。
Intensive Care Med Exp. 2020 Dec 18;8(Suppl 1):32. doi: 10.1186/s40635-020-00319-x.
9
A Modern View of the Interstitial Space in Health and Disease.健康与疾病状态下间质间隙的现代观点
Front Vet Sci. 2020 Nov 5;7:609583. doi: 10.3389/fvets.2020.609583. eCollection 2020.
10
The Beneficial Effect of HES on Vascular Permeability and Its Relationship With Endothelial Glycocalyx and Intercellular Junction After Hemorrhagic Shock.羟乙基淀粉对失血性休克后血管通透性的有益作用及其与内皮糖萼和细胞间连接的关系
Front Pharmacol. 2020 May 8;11:597. doi: 10.3389/fphar.2020.00597. eCollection 2020.
Cochrane Database Syst Rev. 2013 Jul 23;2013(7):CD007594. doi: 10.1002/14651858.CD007594.pub3.
4
Fluid resuscitation with 6 % hydroxyethyl starch (130/0.4 and 130/0.42) in acutely ill patients: systematic review of effects on mortality and treatment with renal replacement therapy.急性病患者中用 6%羟乙基淀粉(130/0.4 和 130/0.42)进行液体复苏:对死亡率和肾脏替代治疗影响的系统评价。
Intensive Care Med. 2013 Apr;39(4):558-68. doi: 10.1007/s00134-013-2840-0. Epub 2013 Feb 14.
5
Hydroxyethyl starch or saline for fluid resuscitation in intensive care.羟乙基淀粉或生理盐水用于重症监护中的液体复苏。
N Engl J Med. 2012 Nov 15;367(20):1901-11. doi: 10.1056/NEJMoa1209759. Epub 2012 Oct 17.
6
Effect of molecular weight and substitution on tissue uptake of hydroxyethyl starch: a meta-analysis of clinical studies.分子量和取代度对羟乙基淀粉组织摄取的影响:临床研究的荟萃分析。
Clin Pharmacokinet. 2012 Apr 1;51(4):225-36. doi: 10.2165/11594700-000000000-00000.
7
Hetastarch-induced osmotic nephrosis.
Anesthesiology. 2012 Sep;117(3):647. doi: 10.1097/ALN.0b013e31824de9ad.
8
Effect of fluid resuscitation on mortality and organ function in experimental sepsis models.液体复苏对实验性脓毒症模型死亡率和器官功能的影响。
Crit Care. 2009;13(6):R186. doi: 10.1186/cc8179. Epub 2009 Nov 23.
9
A case of acute renal failure due to hydroxyethyl starch.
Clin Nephrol. 2009 Mar;71(3):329-32. doi: 10.5414/cnp71329.
10
Hydroxyethylstarch impairs renal function and induces interstitial proliferation, macrophage infiltration and tubular damage in an isolated renal perfusion model.羟乙基淀粉会损害肾功能,并在孤立的肾脏灌注模型中引起间质增生、巨噬细胞浸润和肾小管损伤。
Crit Care. 2009;13(1):R23. doi: 10.1186/cc7726. Epub 2009 Feb 25.