Division of Abdominal Imaging, Department of Radiology, Seoul National University College of Medicine, Seoul 110-744, Korea.
Korean J Radiol. 2013 Nov-Dec;14(6):894-904. doi: 10.3348/kjr.2013.14.6.894. Epub 2013 Nov 5.
To compare the diagnostic performance of gadoxetic acid-enhanced magnetic resonance (MR) imaging with that of triple-phase multidetector-row computed tomography (MDCT) in the detection of liver metastasis.
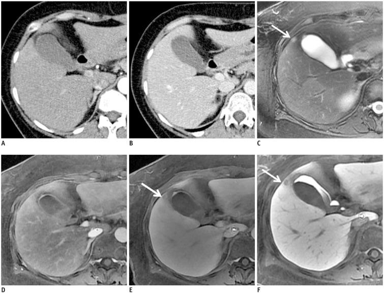
Our institutional review board approved this retrospective study and waived informed consent. The study population consisted of 51 patients with hepatic metastases and 62 patients with benign hepatic lesions, who underwent triple-phase MDCT and gadoxetic acid-enhanced MRI within one month. Two radiologists independently and randomly reviewed MDCT and MRI images regarding the presence and probability of liver metastasis. In order to determine additional value of hepatobiliary-phase (HBP), the dynamic-MRI set alone and combined dynamic-and-HBP set were evaluated, respectively. The standard of reference was a combination of pathology diagnosis and follow-up imaging. For each reader, diagnostic accuracy was compared using the jackknife alternative free-response receiver-operating-characteristic (JAFROC).
For both readers, average JAFROC figure-of-merit (FOM) was significantly higher on the MR image sets than on the MDCT images: average FOM was 0.582 on the MDCT, 0.788 on the dynamic-MRI set and 0.847 on the combined HBP set, respectively (p < 0.0001). The differences were more prominent for small (≤ 1 cm) lesions: average FOM values were 0.433 on MDCT, 0.711 on the dynamic-MRI set and 0.828 on the combined HBP set, respectively (p < 0.0001). Sensitivity increased significantly with the addition of HBP in gadoxetic acid-enhanced MR imaging (p < 0.0001).
Gadoxetic acid-enhanced MRI shows a better performance than triple-phase MDCT for the detection of hepatic metastasis, especially for small (≤ 1 cm) lesions.
比较钆塞酸增强磁共振成像(MRI)与三期多层螺旋 CT(MDCT)在肝转移瘤诊断中的性能。
本回顾性研究经机构审查委员会批准,且豁免了知情同意。研究人群包括 51 例肝转移患者和 62 例肝良性病变患者,这些患者均在一个月内接受了三期 MDCT 和钆塞酸增强 MRI 检查。两位放射科医生独立、随机地对 MDCT 和 MRI 图像进行了阅片,以评估肝转移瘤的存在和可能性。为了确定肝胆期(HBP)的附加价值,分别评估了单纯动态 MRI 组和联合动态-HBP 组。参考标准是病理学诊断和随访影像学的综合结果。对于每个读者,采用 Jackknife 替代自由响应接受者操作特性(JAFROC)比较诊断准确性。
对于两位读者,MRI 图像组的平均 JAFROC 特征曲线下面积(FOM)均显著高于 MDCT 图像组:MDCT 组、单纯动态 MRI 组和联合 HBP 组的平均 FOM 分别为 0.582、0.788 和 0.847(p < 0.0001)。对于小(≤1cm)病变,差异更为显著:MDCT 组、单纯动态 MRI 组和联合 HBP 组的平均 FOM 值分别为 0.433、0.711 和 0.828(p < 0.0001)。随着 HBP 的加入,钆塞酸增强 MRI 的诊断敏感度显著提高(p < 0.0001)。
与三期 MDCT 相比,钆塞酸增强 MRI 在肝转移瘤的诊断中具有更好的性能,尤其是对小(≤1cm)病变。