• 文献检索
  • 文档翻译
  • 深度研究
  • 学术资讯
  • Suppr Zotero 插件Zotero 插件
  • 邀请有礼
  • 套餐&价格
  • 历史记录
应用&插件
Suppr Zotero 插件Zotero 插件浏览器插件Mac 客户端Windows 客户端微信小程序
定价
高级版会员购买积分包购买API积分包
服务
文献检索文档翻译深度研究API 文档MCP 服务
关于我们
关于 Suppr公司介绍联系我们用户协议隐私条款
关注我们

Suppr 超能文献

核心技术专利:CN118964589B侵权必究
粤ICP备2023148730 号-1Suppr @ 2026

文献检索

告别复杂PubMed语法,用中文像聊天一样搜索,搜遍4000万医学文献。AI智能推荐,让科研检索更轻松。

立即免费搜索

文件翻译

保留排版,准确专业,支持PDF/Word/PPT等文件格式,支持 12+语言互译。

免费翻译文档

深度研究

AI帮你快速写综述,25分钟生成高质量综述,智能提取关键信息,辅助科研写作。

立即免费体验

人细胞因子激活猪眼组织中的 JAK-STAT 信号通路。

Human cytokines activate JAK-STAT signaling pathway in porcine ocular tissue.

机构信息

Department of Biomedicine, University of Basel and University Hospital Basel, Basel, Switzerland; Institute of Chemistry and Bioanalytics, University of Applied Sciences Northwestern Switzerland, Muttenz, Switzerland.

出版信息

Xenotransplantation. 2013 Nov-Dec;20(6):469-80. doi: 10.1111/xen.12070. Epub 2013 Nov 1.

DOI:10.1111/xen.12070
PMID:24289470
原文链接:https://pmc.ncbi.nlm.nih.gov/articles/PMC4235432/
Abstract

BACKGROUND

The JAK/STAT (Janus Tyrosine Kinase, Signal Transducers and Activators of Transcription) pathway is associated with cytokine or growth factor receptors and it is critical for growth control, developmental regulation and homeostasis. The use of porcine ocular cells as putative xenotransplants appears theoretically possible. The aim of this study was to investigate the response of various porcine ocular cells in vitro to human cytokines in regard to the activation of JAK-STAT signaling pathways.

METHODS

Porcine lens epithelial cells, pigmented iris epithelial cells and pigmented ciliary body cells were used in this study. These cells were isolated from freshly enucleated porcine eyes by enzymatic digestion. Cultured cells between passages 3-8 were used in all experiments. Electromobility shift assay (EMSA), proliferation assay, immunofluorescence staining and flow cytometry were used to evaluate the JAK-STAT signaling pathway in these cells.

RESULTS

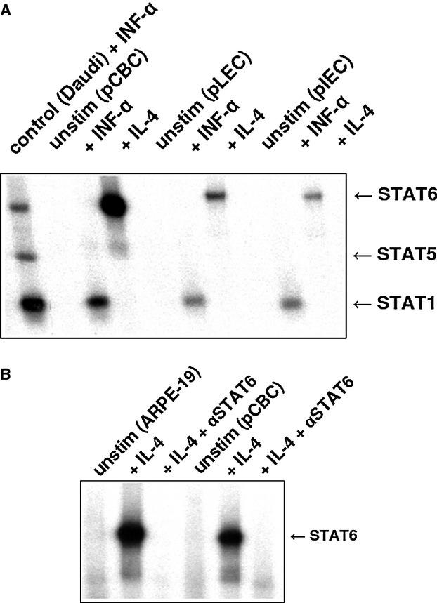
JAK/STAT signaling pathways could be activated in porcine pigmented epithelial ciliary body cells, in pigmented iris epithelial cells and in lens epithelial cells in response to porcine and human interferons and cytokines. All cells showed very strong STAT1 activation upon stimulation with porcine interferon-gamma. Porcine ocular cells also respond to human cytokines; IFN-alpha induced strong activation of STAT1 in EMSA, flow cytometry and immunofluorescence experiments whereas activation of STAT3 was less strong in EMSA, but strong in flow cytometry and immunofluorescence. Human recombinant IL-6 activated STAT3 and human IL-4 activated STAT6. With the help of immunofluorescence assay and flow cytometry we observed nuclear localization of STAT proteins after activation of porcine ocular cells with cytokines and interferons. Human IFN-α had an inhibitory effect on porcine ocular cells in proliferation assays.

CONCLUSION

Our study demonstrated that some types of human cytokines and interferon activate intracellular JAK-STAT signaling pathways in porcine ocular cells. We hypothesize that direct stimulation of the JAK-STAT pathway in porcine cells in response to human cytokines will lead to complications or failure, if pig-to-human ocular tissue xenotransplantation were to be carried out. For successful xenotransplantation among other obstacles there must be new approaches developed to regulate signaling pathways.

摘要

背景

JAK/STAT(Janus 酪氨酸激酶、信号转导子和转录激活子)途径与细胞因子或生长因子受体相关,对生长控制、发育调节和体内平衡至关重要。使用猪眼部细胞作为潜在的异种移植物在理论上似乎是可行的。本研究旨在探讨各种猪眼部细胞在体外对人细胞因子的反应,以研究 JAK-STAT 信号通路的激活情况。

方法

本研究使用猪晶状体上皮细胞、色素上皮虹膜细胞和色素睫状体细胞。这些细胞通过酶消化从新鲜取出的猪眼球中分离出来。所有实验均使用传代 3-8 代的培养细胞。采用电泳迁移率变动分析(EMSA)、增殖分析、免疫荧光染色和流式细胞术来评估这些细胞中的 JAK-STAT 信号通路。

结果

JAK/STAT 信号通路可在猪色素上皮睫状体细胞、色素虹膜上皮细胞和晶状体上皮细胞中被激活,以响应猪和人干扰素和细胞因子。所有细胞在受到猪干扰素-γ刺激后均显示出强烈的 STAT1 激活。猪眼部细胞也对人细胞因子有反应;IFN-α 在 EMSA、流式细胞术和免疫荧光实验中强烈激活 STAT1,而 STAT3 的激活在 EMSA 中较弱,但在流式细胞术和免疫荧光中较强。人重组 IL-6 激活 STAT3,人 IL-4 激活 STAT6。通过免疫荧光分析和流式细胞术,我们观察到细胞因子和干扰素激活猪眼部细胞后 STAT 蛋白的核定位。人 IFN-α 在增殖实验中对猪眼部细胞具有抑制作用。

结论

本研究表明,某些类型的人细胞因子和干扰素可激活猪眼部细胞内的 JAK-STAT 信号通路。我们假设,如果进行猪到人的眼部组织异种移植,猪细胞对人细胞因子的 JAK-STAT 途径的直接刺激将导致并发症或失败。为了成功进行异种移植,除了其他障碍之外,还必须开发新的方法来调节信号通路。

https://cdn.ncbi.nlm.nih.gov/pmc/blobs/2198/4235432/67afaea8eb91/xen0020-0469-f7.jpg
https://cdn.ncbi.nlm.nih.gov/pmc/blobs/2198/4235432/e16f18ba7f0a/xen0020-0469-f1.jpg
https://cdn.ncbi.nlm.nih.gov/pmc/blobs/2198/4235432/479efa6a5564/xen0020-0469-f2.jpg
https://cdn.ncbi.nlm.nih.gov/pmc/blobs/2198/4235432/32513dd0b7c2/xen0020-0469-f3.jpg
https://cdn.ncbi.nlm.nih.gov/pmc/blobs/2198/4235432/0c1021be1cb5/xen0020-0469-f4.jpg
https://cdn.ncbi.nlm.nih.gov/pmc/blobs/2198/4235432/2bef000508c5/xen0020-0469-f5.jpg
https://cdn.ncbi.nlm.nih.gov/pmc/blobs/2198/4235432/eef0c015f299/xen0020-0469-f6.jpg
https://cdn.ncbi.nlm.nih.gov/pmc/blobs/2198/4235432/67afaea8eb91/xen0020-0469-f7.jpg
https://cdn.ncbi.nlm.nih.gov/pmc/blobs/2198/4235432/e16f18ba7f0a/xen0020-0469-f1.jpg
https://cdn.ncbi.nlm.nih.gov/pmc/blobs/2198/4235432/479efa6a5564/xen0020-0469-f2.jpg
https://cdn.ncbi.nlm.nih.gov/pmc/blobs/2198/4235432/32513dd0b7c2/xen0020-0469-f3.jpg
https://cdn.ncbi.nlm.nih.gov/pmc/blobs/2198/4235432/0c1021be1cb5/xen0020-0469-f4.jpg
https://cdn.ncbi.nlm.nih.gov/pmc/blobs/2198/4235432/2bef000508c5/xen0020-0469-f5.jpg
https://cdn.ncbi.nlm.nih.gov/pmc/blobs/2198/4235432/eef0c015f299/xen0020-0469-f6.jpg
https://cdn.ncbi.nlm.nih.gov/pmc/blobs/2198/4235432/67afaea8eb91/xen0020-0469-f7.jpg

相似文献

1
Human cytokines activate JAK-STAT signaling pathway in porcine ocular tissue.人细胞因子激活猪眼组织中的 JAK-STAT 信号通路。
Xenotransplantation. 2013 Nov-Dec;20(6):469-80. doi: 10.1111/xen.12070. Epub 2013 Nov 1.
2
Antagonizing cytokine-mediated JAK-STAT signaling by porcine reproductive and respiratory syndrome virus.猪繁殖与呼吸综合征病毒对细胞因子介导的JAK-STAT信号通路的拮抗作用
Vet Microbiol. 2017 Sep;209:57-65. doi: 10.1016/j.vetmic.2016.12.036. Epub 2016 Dec 30.
3
Characterization of the roles of STAT1 and STAT3 signal transduction pathways in mammalian lens development.STAT1和STAT3信号转导通路在哺乳动物晶状体发育中的作用表征
Mol Vis. 2004 Feb 19;10:122-31.
4
Activation of the Jak-STAT-signaling pathway in embryonic lens cells.胚胎晶状体细胞中Jak-STAT信号通路的激活。
Dev Biol. 1998 Dec 1;204(1):277-92. doi: 10.1006/dbio.1998.9077.
5
JAK/STAT pathway plays a critical role in the proinflammatory gene expression and apoptosis of RAW264.7 cells induced by trichothecenes as DON and T-2 toxin.JAK/STAT 通路在由 DON 和 T-2 毒素等单端孢霉烯诱导的 RAW264.7 细胞的促炎基因表达和细胞凋亡中起着关键作用。
Toxicol Sci. 2012 Jun;127(2):412-24. doi: 10.1093/toxsci/kfs106. Epub 2012 Mar 27.
6
Cytokine signaling in the human brain capillary endothelial cell line hCMEC/D3.人脑血管内皮细胞系 hCMEC/D3 中的细胞因子信号转导。
Brain Res. 2010 Oct 1;1354:15-22. doi: 10.1016/j.brainres.2010.07.077. Epub 2010 Aug 6.
7
Inhibition of JAK-STAT pathway corrects salivary gland inflammation and interferon driven immune activation in Sjögren's disease.JAK-STAT 通路抑制纠正干燥综合征的唾液腺炎症和干扰素驱动的免疫激活。
Ann Rheum Dis. 2024 Jul 15;83(8):1034-1047. doi: 10.1136/ard-2023-224842.
8
Microarray approach reveals the relevance of interferon signaling pathways with rat liver restoration post 2/3 hepatectomy at cellular level.微阵列分析揭示了细胞水平上干扰素信号通路与大鼠肝 2/3 切除后肝再生的相关性。
J Interferon Cytokine Res. 2010 Jul;30(7):525-39. doi: 10.1089/jir.2009.0111.
9
Insulin-like growth factor-I receptor signal transduction and the Janus Kinase/Signal Transducer and Activator of Transcription (JAK-STAT) pathway.胰岛素样生长因子-I受体信号转导与Janus激酶/信号转导子和转录激活子(JAK-STAT)通路。
Biofactors. 2009 Jan-Feb;35(1):76-81. doi: 10.1002/biof.20.
10
Interleukin 27, like interferons, activates JAK-STAT signaling and promotes pro-inflammatory and antiviral states that interfere with dengue and chikungunya viruses replication in human macrophages.白细胞介素 27 与干扰素一样,激活 JAK-STAT 信号通路,并促进促炎和抗病毒状态,干扰登革热和基孔肯雅热病毒在人巨噬细胞中的复制。
Front Immunol. 2024 Apr 24;15:1385473. doi: 10.3389/fimmu.2024.1385473. eCollection 2024.

引用本文的文献

1
Mechanisms and application strategies of miRNA‑146a regulating inflammation and fibrosis at molecular and cellular levels (Review).miRNA-146a 在分子和细胞水平上调节炎症和纤维化的机制及应用策略(综述)。
Int J Mol Med. 2023 Jan;51(1). doi: 10.3892/ijmm.2022.5210. Epub 2022 Dec 9.
2
In Silico Prediction of Transcription Factor Collaborations Underlying Phenotypic Sexual Dimorphism in Zebrafish ().基于表型性别二态性的斑马鱼中转录因子相互作用的计算机预测()。
Genes (Basel). 2021 Jun 7;12(6):873. doi: 10.3390/genes12060873.
3
The discovery of the Flammer syndrome: a historical and personal perspective.

本文引用的文献

1
Tumor STAT1 transcription factor activity enhances breast tumor growth and immune suppression mediated by myeloid-derived suppressor cells.肿瘤 STAT1 转录因子活性增强了骨髓来源的抑制性细胞介导的乳腺癌生长和免疫抑制。
J Biol Chem. 2013 Apr 26;288(17):11676-88. doi: 10.1074/jbc.M112.441402. Epub 2013 Mar 13.
2
Stem cells: a new paradigm for disease modeling and developing therapies for age-related macular degeneration.干细胞:用于疾病建模和开发与年龄相关的黄斑变性治疗方法的新范例。
J Transl Med. 2013 Mar 1;11:53. doi: 10.1186/1479-5876-11-53.
3
IL-15 activated human peripheral blood dendritic cell kill allogeneic and xenogeneic endothelial cells via apoptosis.
弗拉默综合征的发现:历史与个人视角
EPMA J. 2017 May 22;8(2):75-97. doi: 10.1007/s13167-017-0090-x. eCollection 2017 Jun.
4
miR-146a suppresses STAT3/VEGF pathways and reduces apoptosis through IL-6 signaling in primary human retinal microvascular endothelial cells in high glucose conditions.在高糖条件下,miR-146a通过白细胞介素-6信号通路抑制原代人视网膜微血管内皮细胞中的信号转导和转录激活因子3/血管内皮生长因子通路,并减少细胞凋亡。
Vision Res. 2017 Oct;139:15-22. doi: 10.1016/j.visres.2017.03.009. Epub 2017 Apr 26.
5
Reproductive Hormone and Transcriptomic Responses of Pituitary Tissue in Anestrus Gilts Induced by Nutrient Restriction.营养限制诱导的乏情后备母猪垂体组织的生殖激素和转录组反应
PLoS One. 2015 Nov 18;10(11):e0143219. doi: 10.1371/journal.pone.0143219. eCollection 2015.
6
Blocking the bFGF/STAT3 interaction through specific signaling pathways induces apoptosis in glioblastoma cells.通过特定信号通路阻断碱性成纤维细胞生长因子(bFGF)/信号转导和转录激活因子3(STAT3)的相互作用可诱导胶质母细胞瘤细胞凋亡。
J Neurooncol. 2014 Oct;120(1):33-41. doi: 10.1007/s11060-014-1529-8. Epub 2014 Jul 22.
IL-15 激活的人外周血树突状细胞通过凋亡杀伤同种异体和异种内皮细胞。
Cytokine. 2013 Jan;61(1):118-26. doi: 10.1016/j.cyto.2012.09.004. Epub 2012 Oct 9.
4
Human T-cell proliferation in response to thrombin-activated GTKO pig endothelial cells.人 T 细胞对凝血酶激活的 GTKO 猪内皮细胞的增殖反应。
Xenotransplantation. 2012 Sep-Oct;19(5):311-6. doi: 10.1111/j.1399-3089.2012.00718.x. Epub 2012 Sep 13.
5
Cloning and characterization of porcine interferon-δ-related genes identified by genomic database screening.通过基因组数据库筛选鉴定猪干扰素-δ相关基因的克隆与特性分析。
J Interferon Cytokine Res. 2012 Aug;32(8):378-85. doi: 10.1089/jir.2011.0095. Epub 2012 Jul 16.
6
Increased human tumor necrosis factor-α levels induce procoagulant change in porcine endothelial cells in vitro.肿瘤坏死因子-α水平升高可诱导体外培养的猪血管内皮细胞促凝改变。
Xenotransplantation. 2012 May-Jun;19(3):186-95. doi: 10.1111/j.1399-3089.2012.00704.x.
7
The JAK-STAT pathway at twenty.JAK-STAT 通路研究进展 20 年
Immunity. 2012 Apr 20;36(4):503-14. doi: 10.1016/j.immuni.2012.03.013.
8
Molecular characterization of the porcine STAT4 and STAT6 genes.猪 STAT4 和 STAT6 基因的分子特征。
Mol Biol Rep. 2012 Jun;39(6):6959-65. doi: 10.1007/s11033-012-1523-1. Epub 2012 Feb 7.
9
RPE and neuronal differentiation of allotransplantated porcine ciliary epithelium-derived cells.同种异体移植猪睫状体上皮来源细胞的视网膜色素上皮细胞和神经元分化
Mol Vis. 2011;17:2580-95. Epub 2011 Oct 5.
10
Clinical xenotransplantation: the next medical revolution?临床异种移植:下一场医学革命?
Lancet. 2012 Feb 18;379(9816):672-83. doi: 10.1016/S0140-6736(11)61091-X. Epub 2011 Oct 20.