Department of Surgical Pathology, Toho University School of Medicine, 6-11-1 Omori-Nishi, Ota-Ku, Tokyo 143-8541, Japan.
Division of Pulmonary Medicine, Toho University School of Medicine, 6-11-1 Omori-Nishi, Ota-Ku, Tokyo 143-8541, Japan.
Mediators Inflamm. 2013;2013:809798. doi: 10.1155/2013/809798. Epub 2013 Nov 20.
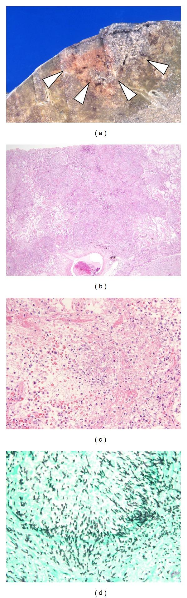
This paper opens with a discussion on the significance of invasive fungal infections in advanced contemporary medicine, with an emphasis on the intractability of disease management and the difficulties of diagnosis. This is followed by a discussion concerning classification, histopathological features, and pathophysiology. While it has been largely accepted that Aspergillus species is recognized by cellular receptors and attacked by neutrophils, the radiological and macroscopic findings linking infection with neutropenia remain unconfirmed. In an effort to gain a better understanding of the pathophysiology and pathogenesis of invasive aspergillosis, we wish to emphasize the utility of radiological and histopathological examinations since these can provide detailed information on the extremely complex interaction between the causative microbes and tissue responses. A review of noninvasive or semi-invasive aspergillosis is also provided, with particular emphasis on chronic necrotizing pulmonary aspergillosis, which is recognized as a transition form of simple pulmonary aspergilloma and invasive pulmonary aspergillosis, although few findings have been reported in this area.
本文首先讨论了侵袭性真菌感染在现代医学中的重要性,重点讨论了疾病管理的棘手性和诊断的困难。接着讨论了分类、组织病理学特征和发病机制。虽然人们普遍认为曲霉菌属被细胞受体识别并被中性粒细胞攻击,但与中性粒细胞减少症相关的感染的放射学和宏观发现仍未得到证实。为了更好地理解侵袭性曲霉病的发病机制和发病机制,我们希望强调放射学和组织病理学检查的效用,因为这些检查可以提供有关致病微生物和组织反应之间极其复杂相互作用的详细信息。本文还回顾了非侵入性或半侵袭性曲霉病,特别强调了慢性坏死性肺曲霉病,尽管在这一领域报道的发现很少,但它被认为是单纯性肺曲霉肿和侵袭性肺曲霉病的一种过渡形式。