Suppr超能文献

小脑立体定向刺激对脑瘫患者左右皮肤电信息传递的影响。

Influence of cerebellar stereotactic stimulation on left-right electrodermal information transference in a patient with cerebral palsy.

机构信息

Center for Neuropsychiatric Research of Traumatic Stress, Department of Psychiatry, 1st Faculty of Medicine, Charles University, Prague, Czech Republic ; Central European Institute of Technology, Faculty of Medicine, Masaryk University, Brno, Czech Republic.

Department of Neurosurgery, Slovak Medical University, Roosevelt Hospital, Banska Bystrica, Slovak Republic.

出版信息

Neuropsychiatr Dis Treat. 2013;9:1853-8. doi: 10.2147/NDT.S52947. Epub 2013 Nov 29.

Abstract

BACKGROUND AND OBJECTIVES

Recent evidence indicates that cerebral palsy is connected to specific autonomic dysregulation between sympathetic and parasympathetic efferent pathways, likely linked to hemispheric influences. These findings suggest a hypothesis that contralateral interhemispheric disinhibition, which may occur on various levels of brain processing including motor functions, could be linked to specific functional dysregulation and structural lesions, which may play a specific role in the modulation of autonomic functions and lead to autonomic dysregulation in cerebral palsy.

METHOD

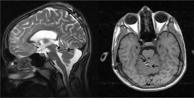
With the aim of comparing autonomic functions as they relate to interhemispheric modulatory influences during therapeutically indicated stereotactic cerebellar stimulation, we have performed bilateral electrodermal activity measurement and calculations of pointwise transinformation (PTI) in a patient with cerebral palsy. Measurement was performed during therapeutic deep cerebellar stimulation in two cerebellar areas in anterior cerebellar lobe-culmen (left electrode) and central lobule-superior cerebellar peduncle (right electrode).

RESULTS

The results indicate that information transference (PTI) is able to distinguish the states related to specific cerebellar stimulations and that lowest levels of the PTI have been found during stimulation of the central lobule-superior cerebellar peduncle (electrode deepest contact 1), indicating a significantly increased level of inhibition between the left and right sides.

CONCLUSION

The results may present potentially useful clinical findings indicating that increased PTI calculated from electrodermal activity could indirectly indicate disinhibitory activity as a possible indicator of a failure of interhemispheric communication that could explain some specific pathogenetic mechanisms in cerebral palsy. Nevertheless, these results need detailed confirmation in further research, as well as reliable clinical evaluation of their usefulness in the therapy of cerebral palsy.

摘要

背景与目的

最近的证据表明,脑瘫与交感和副交感传出通路之间特定的自主神经调节障碍有关,这种障碍可能与半球影响有关。这些发现提出了一个假设,即对侧半球间抑制的解除,这种解除可能发生在包括运动功能在内的大脑处理的各个层面上,可能与特定的功能失调和结构损伤有关,这些损伤可能在自主功能的调节中发挥特定作用,并导致脑瘫患者的自主神经调节障碍。

方法

为了比较自主功能与治疗性立体定向小脑刺激期间半球间调制影响的关系,我们对一名脑瘫患者进行了双侧皮肤电活动测量和点对点信息传递(PTI)计算。在小脑前叶-鸡冠(左侧电极)和中央小叶-上小脑脚(右侧电极)两个小脑区域进行了治疗性深部小脑刺激时进行了测量。

结果

结果表明,信息传递(PTI)能够区分与特定小脑刺激相关的状态,并且在刺激中央小叶-上小脑脚(电极最深接触 1)时,PTI 水平最低,表明左右两侧的抑制水平显著增加。

结论

这些结果可能提供了潜在的有用的临床发现,表明从皮肤电活动计算出的增加的 PTI 可能间接表明抑制解除活动,作为半球间通讯失败的可能指标,这种失败可能解释了脑瘫中的一些特定发病机制。然而,这些结果需要在进一步的研究中进行详细的确认,并对其在脑瘫治疗中的有用性进行可靠的临床评估。

https://cdn.ncbi.nlm.nih.gov/pmc/blobs/eab1/3849142/05ee8359cf8d/ndt-9-1853Fig1.jpg

文献检索

告别复杂PubMed语法,用中文像聊天一样搜索,搜遍4000万医学文献。AI智能推荐,让科研检索更轻松。

立即免费搜索

文件翻译

保留排版,准确专业,支持PDF/Word/PPT等文件格式,支持 12+语言互译。

免费翻译文档

深度研究

AI帮你快速写综述,25分钟生成高质量综述,智能提取关键信息,辅助科研写作。

立即免费体验