Suppr超能文献

Lipoprotein glomerulopathy associated with a mutation in apolipoprotein e.

作者信息

Magistroni Riccardo, Bertolotti Marco, Furci Luciana, Fano Rita Adriana, Leonelli Marco, Pisciotta Livia, Pellegrini Elisa, Calabresi Laura, Bertolini Stefano, Calandra Sebastiano

机构信息

Department of Surgical, Medical, Dental and Morphological Sciences with Transplant Interest, Oncological and Regenerative Medicine, University of Modena and Reggio Emilia.

Department of Biomedical, Metabolic and Neural Sciences, University of Modena and Reggio Emilia.

出版信息

Clin Med Insights Case Rep. 2013 Dec 5;6:189-96. doi: 10.4137/CCRep.S12209. eCollection 2013.

Abstract

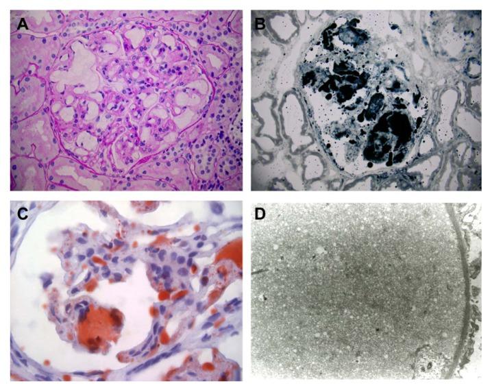
Lipoprotein glomerulopathy is a pathological condition characterized by lipid accumulation in the glomerular capillaries that has been associated with the presence of rare mutants of apolipoprotein E (ApoE). We describe a 51-year-old Italian patient presenting Type III hyperlipidemia and proteinuria in whom renal biopsy showed capillary ectasia and intraluminal lipid deposits, suggesting the diagnosis of lipoprotein glomerulopathy. The patient, who had elevated plasma ApoE level, was found to be heterozygous for a mutation in ApoE (Arg150Cys), designated apoEMODENA. This mutation induces the formation of ApoE dimers that are detectable under non-reducing conditions. Treatment with hypolipidemic drugs did not result in a complete remission of the proteinuria and was accompanied by a slow but progressive worsening of renal function with the persistence of intracapillary lipid thrombi. The introduction of low-density lipoprotein aphaeresis combined with a more aggressive lipid lowering and antihypertensive therapy resulted in the remission of proteinuria and a substantial improvement of renal function. Switching from low-density lipoprotein aphaeresis to plasma filtration did not result in an equivalent control of renal damage. The patient died of intracranial hemorrhage during an acute episode of malignant hypertension.

摘要
https://cdn.ncbi.nlm.nih.gov/pmc/blobs/dd10/3859823/3cbf50249de5/ccrep-6-2013-189f1.jpg

文献AI研究员

20分钟写一篇综述,助力文献阅读效率提升50倍。

立即体验

用中文搜PubMed

大模型驱动的PubMed中文搜索引擎

马上搜索

文档翻译

学术文献翻译模型,支持多种主流文档格式。

立即体验