Suppr超能文献

根据体型,在结直肠癌发展过程以及正常结直肠黏膜中PLZF的表达,作为结直肠癌风险的标志物。

PLZF expression during colorectal cancer development and in normal colorectal mucosa according to body size, as marker of colorectal cancer risk.

作者信息

Mariani Francesco, Sena Paola, Magnani Giulia, Mancini Stefano, Palumbo Carla, Ponz de Leon Maurizio, Roncucci Luca

机构信息

Department of Diagnostic, Clinical and Public Health Medicine, University of Modena and Reggio Emilia, 41124 Modena, Italy.

Department of Biomedical, Metabolic and Neural Sciences, University of Modena and Reggio Emilia, 41124 Modena, Italy.

出版信息

ScientificWorldJournal. 2013 Nov 14;2013:630869. doi: 10.1155/2013/630869. eCollection 2013.

Abstract

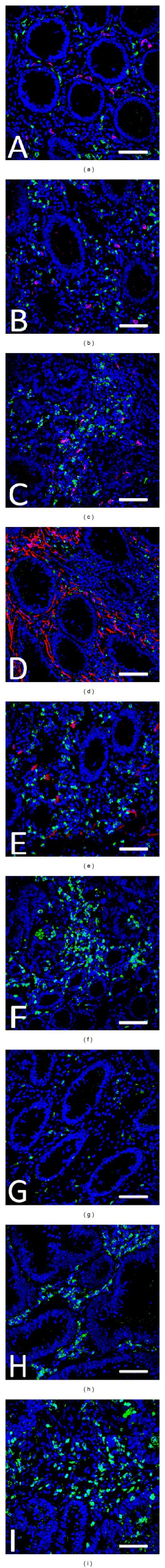
Promyelocytic leukemia zinc finger protein (PLZF) is a protein involved in various signaling, growth regulatory, and differentiation pathways, including development/function of some T cells. Here, we aimed at the detection of PLZF during colorectal carcinogenesis, using immunofluorescence, and at the evaluation of the colocalization of PLZF with CD2 and CD56 positive cells (T, γ δ , NK, and NKT cells), using confocal-microscopy, along colorectal carcinogenesis, since its earliest stages, that is, dysplastic aberrant crypt foci (ACF). Furthermore, we analyzed PLZF in the normal colonic mucosa (NM) according to anthropometric parameters of the subject. NM exhibited strong CD56 fluorescent staining. This infiltration was lost in both ACF and colorectal carcinoma (CRC), while PLZF presence increased from NM to ACF and CRC. Strong association was found between CD56+ colonic mucosa cell infiltration and body mass index. Interestingly, an increased stromal PLZF-reactivity was present in NM of obese subjects. This study shows that overexpression of PLZF and exclusion of NK cells in dysplastic microenvironment are very early events in the stepwise sequence leading to CRC and that lower levels of CD56+ cells in NM, together with increased levels of PLZF+ cells, can be a reflection of colon cancer risk due to obesity.

摘要

早幼粒细胞白血病锌指蛋白(PLZF)是一种参与多种信号传导、生长调节和分化途径的蛋白质,包括某些T细胞的发育/功能。在此,我们旨在利用免疫荧光检测结直肠癌发生过程中的PLZF,并利用共聚焦显微镜评估PLZF与CD2和CD56阳性细胞(T细胞、γδT细胞、自然杀伤细胞和自然杀伤T细胞)在结直肠癌发生过程中从最早阶段即发育异常的隐窝灶(ACF)开始的共定位情况。此外,我们根据受试者的人体测量参数分析了正常结肠黏膜(NM)中的PLZF。NM呈现出强烈的CD56荧光染色。在ACF和结直肠癌(CRC)中这种浸润均消失,而PLZF的表达从NM到ACF再到CRC逐渐增加。发现CD56 +结肠黏膜细胞浸润与体重指数之间存在强关联。有趣的是,肥胖受试者的NM中存在基质PLZF反应性增加的情况。这项研究表明,发育异常微环境中PLZF的过表达和自然杀伤细胞的排除是导致CRC的逐步序列中的非常早期事件,并且NM中较低水平的CD56 +细胞以及较高水平的PLZF +细胞可能反映了肥胖导致的结肠癌风险。

https://cdn.ncbi.nlm.nih.gov/pmc/blobs/3765/3848341/6787a5a88bd3/TSWJ2013-630869.001.jpg

文献检索

告别复杂PubMed语法,用中文像聊天一样搜索,搜遍4000万医学文献。AI智能推荐,让科研检索更轻松。

立即免费搜索

文件翻译

保留排版,准确专业,支持PDF/Word/PPT等文件格式,支持 12+语言互译。

免费翻译文档

深度研究

AI帮你快速写综述,25分钟生成高质量综述,智能提取关键信息,辅助科研写作。

立即免费体验