• 文献检索
  • 文档翻译
  • 深度研究
  • 学术资讯
  • Suppr Zotero 插件Zotero 插件
  • 邀请有礼
  • 套餐&价格
  • 历史记录
应用&插件
Suppr Zotero 插件Zotero 插件浏览器插件Mac 客户端Windows 客户端微信小程序
定价
高级版会员购买积分包购买API积分包
服务
文献检索文档翻译深度研究API 文档MCP 服务
关于我们
关于 Suppr公司介绍联系我们用户协议隐私条款
关注我们

Suppr 超能文献

核心技术专利:CN118964589B侵权必究
粤ICP备2023148730 号-1Suppr @ 2026

文献检索

告别复杂PubMed语法,用中文像聊天一样搜索,搜遍4000万医学文献。AI智能推荐,让科研检索更轻松。

立即免费搜索

文件翻译

保留排版,准确专业,支持PDF/Word/PPT等文件格式,支持 12+语言互译。

免费翻译文档

深度研究

AI帮你快速写综述,25分钟生成高质量综述,智能提取关键信息,辅助科研写作。

立即免费体验

伴有非典型组织病理学表现的眼眶血管外皮细胞瘤快速生长。

Rapid growth of an orbital hemangiopericytoma with atypical histopathological findings.

作者信息

Pacheco Luiz Frederico, Fernandes Bruno F, Miyamoto Cristina, Maloney Shawn C, Arthurs Bryan, Burnier Miguel N

机构信息

Department of Ophthalmology, McGill University Health Center, Montreal, QC, Canada ; Faculty of Medicine, Federal University of Rio de Janeiro, Rio De Janeiro, Brazil.

Department of Ophthalmology, McGill University Health Center, Montreal, QC, Canada.

出版信息

Clin Ophthalmol. 2014;8:31-3. doi: 10.2147/OPTH.S47901. Epub 2013 Dec 10.

DOI:10.2147/OPTH.S47901
PMID:24353402
原文链接:https://pmc.ncbi.nlm.nih.gov/articles/PMC3862697/
Abstract

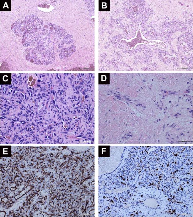
Hemangiopericytoma is a rare vascular tumor that originates from pericytes. The orbit is a rare location for this particular tumor, and corresponds to 0.8% to 3% of all primary orbital tumors. We report a case of a hemangiopericytoma in a 45-year-old man that had an unusual presentation, as a rapidly growing mass in the anterior right inferior orbit. Given that there are no clinical or radiological signs pathognomonic of this tumor, a careful histopathological examination is necessary to confirm the diagnosis. In our case, it presented also with unusual histopathological findings. The clinical features, radiological findings, differential diagnosis and treatment of this challenging entity are reviewed in this case report.

摘要

血管外皮细胞瘤是一种起源于周细胞的罕见血管肿瘤。眼眶是这种特殊肿瘤的罕见发病部位,占所有原发性眼眶肿瘤的0.8%至3%。我们报告了一例45岁男性的血管外皮细胞瘤,其表现不寻常,为右眼下前部眼眶迅速生长的肿块。鉴于该肿瘤没有特异性的临床或放射学征象,因此需要仔细的组织病理学检查来确诊。在我们的病例中,还呈现出不寻常的组织病理学表现。本病例报告对这个具有挑战性的疾病的临床特征、放射学表现、鉴别诊断及治疗进行了综述。

https://cdn.ncbi.nlm.nih.gov/pmc/blobs/f264/3862697/40fbf76b33bd/opth-8-031Fig2.jpg
https://cdn.ncbi.nlm.nih.gov/pmc/blobs/f264/3862697/202a46458373/opth-8-031Fig1.jpg
https://cdn.ncbi.nlm.nih.gov/pmc/blobs/f264/3862697/40fbf76b33bd/opth-8-031Fig2.jpg
https://cdn.ncbi.nlm.nih.gov/pmc/blobs/f264/3862697/202a46458373/opth-8-031Fig1.jpg
https://cdn.ncbi.nlm.nih.gov/pmc/blobs/f264/3862697/40fbf76b33bd/opth-8-031Fig2.jpg

相似文献

1
Rapid growth of an orbital hemangiopericytoma with atypical histopathological findings.伴有非典型组织病理学表现的眼眶血管外皮细胞瘤快速生长。
Clin Ophthalmol. 2014;8:31-3. doi: 10.2147/OPTH.S47901. Epub 2013 Dec 10.
2
Orbital solitary fibrous tumors: a multi-centered histopathological and immunohistochemical analysis with radiological description.眼眶孤立性纤维性肿瘤:多中心组织病理学和免疫组织化学分析及影像学描述。
Ann Saudi Med. 2020 May-Jun;40(3):227-233. doi: 10.5144/0256-4947.2020.227. Epub 2020 Jun 4.
3
Orbital solitary fibrous tumor: encompassing terminology for hemangiopericytoma, giant cell angiofibroma, and fibrous histiocytoma of the orbit: reappraisal of 41 cases.眼眶孤立性纤维瘤:涵盖血管外皮细胞瘤、巨细胞血管纤维瘤和眼眶纤维组织细胞瘤的术语:41 例回顾性研究。
Hum Pathol. 2011 Jan;42(1):120-8. doi: 10.1016/j.humpath.2010.05.021. Epub 2010 Nov 5.
4
Very rare localization of a retroperitoneal hemangiopericytoma revealed by lumbosciatalgia: A case report.以腰骶部疼痛为表现的腹膜后血管外皮细胞瘤的极罕见定位:病例报告
Int J Surg Case Rep. 2018;53:127-131. doi: 10.1016/j.ijscr.2018.10.056. Epub 2018 Oct 30.
5
Case of primary orbital hemangiopericytoma.原发性眼眶血管外皮细胞瘤病例。
Jpn J Ophthalmol. 1983;27(1):90-5.
6
Unusual occurrence of orbital hemangiopericytoma in the zygomatic bone of an adolescent: a case report.
Eye Vis (Lond). 2018 May 13;5:10. doi: 10.1186/s40662-018-0105-2. eCollection 2018.
7
Solitary fibrous tumor of the orbit: Computed tomography and histopathological findings.眼眶孤立性纤维瘤:计算机断层扫描及组织病理学表现
J Cancer Res Ther. 2019 Jul-Sep;15(3):719-721. doi: 10.4103/jcrt.JCRT_1194_16.
8
Orbital hemangiopericytoma: CT, MR, and angiographic findings.眼眶血管外皮细胞瘤:CT、MR及血管造影表现
Comput Med Imaging Graph. 1994 May-Jun;18(3):217-22. doi: 10.1016/0895-6111(94)90033-7.
9
Orbital hemangiopericytoma in an Asian population.亚洲人群中的眼眶血管外皮细胞瘤
J Formos Med Assoc. 2014 Jun;113(6):356-63. doi: 10.1016/j.jfma.2012.08.004. Epub 2012 Sep 10.
10
Solitary fibrous tumor of the orbit.眼眶孤立性纤维瘤
J Craniofac Surg. 2002 Sep;13(5):641-4. doi: 10.1097/00001665-200209000-00009.

引用本文的文献

1
Rare Diseases of the Orbit.眼眶部罕见病
Laryngorhinootologie. 2021 Apr;100(S 01):S1-S79. doi: 10.1055/a-1384-4641. Epub 2021 Apr 30.
2
A Clinical Case of 5 Times Irradiated Recurrent Orbital Hemangiopericytoma.1例5次放疗的复发性眼眶血管外皮细胞瘤临床病例
Case Rep Oncol. 2021 Feb 25;14(1):78-84. doi: 10.1159/000513030. eCollection 2021 Jan-Apr.
3
Giant Perivascular Epithelioid Cell Tumor of the Orbit: A Clinicopathological Analysis and Review of the Literature.眼眶巨大血管周上皮样细胞瘤:临床病理分析及文献复习

本文引用的文献

1
Ultrastructural spectrum of solitary fibrous tumor: a unique perivascular tumor with alternative lines of differentiation.孤立性纤维性肿瘤的超微结构谱:一种具有不同分化途径的独特血管周围肿瘤。
Virchows Arch. 2005 Jun;446(6):646-52. doi: 10.1007/s00428-005-1261-z. Epub 2005 May 21.
2
Hemangiopericytoma of the head and neck.
Am J Otolaryngol. 2000 Jul-Aug;21(4):238-43. doi: 10.1053/ajot.2000.8378.
3
Haemangiopericytoma: current status, diagnosis and management.血管外皮细胞瘤:现状、诊断与治疗
Ocul Oncol Pathol. 2018 Sep;4(5):272-279. doi: 10.1159/000484425. Epub 2018 Feb 6.
4
Sacro-anterior haemangiopericytoma: a case report.骶前血管外皮细胞瘤:病例报告。
Cancer Biol Med. 2014 Jun;11(2):139-43. doi: 10.7497/j.issn.2095-3941.2014.02.010.
Eur J Surg Oncol. 1997 Aug;23(4):282-5. doi: 10.1016/s0748-7983(97)90534-5.
4
Primary orbital hemangiopericytoma: a case report.
Zhonghua Yi Xue Za Zhi (Taipei). 1997 Jun;59(6):382-5.
5
Hemangiopericytoma of the orbit: a clinicopathologic study of 30 cases.
Hum Pathol. 1982 Mar;13(3):210-8. doi: 10.1016/s0046-8177(82)80179-2.
6
Haemangiopericytoma.血管外皮细胞瘤
Br J Ophthalmol. 1984 Feb;68(2):124-7. doi: 10.1136/bjo.68.2.124.
7
Hemangiopericytoma. A clinicopathologic study and long-term followup of 60 patients.血管外皮细胞瘤。60例患者的临床病理研究及长期随访
Cancer. 1975 Dec;36(6):2232-44. doi: 10.1002/cncr.2820360942.
8
Primary orbital hemangiopericytoma. An aggressive and potentially malignant neoplasm.
Arch Ophthalmol. 1978 Apr;96(4):666-73. doi: 10.1001/archopht.1978.03910050362013.