Suppr超能文献

腰椎疝与慢性阻塞性肺疾病(COPD)相关。

Lumbar hernia associated with chronic obstructive pulmonary disease (COPD).

机构信息

Tao Xu, MD, Department of Respiration, The People's Hospital of Yinzhou, The Affiliated Yinzhou Hospital, Ningbo University, 251 Baizhang East Road, Ningbo, Zhejiang, 315040, The People's Republic of China.

Shuwei Zhang, MD, Department of Urological Surgery, The No.2 Hospital of Yinzhou, 1 Qianhe Road, Ningbo, Zhejiang, 315040, The People's Republic of China.

出版信息

Pak J Med Sci. 2013 May;29(3):874-6.

Abstract

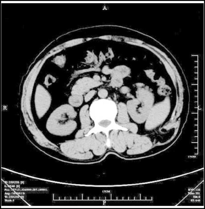
Lumbar hernias are very rare posterolateral abdominal wall hernias, and they are spontaneous in most adult patients. Here we report two cases of spontaneous lumbar hernias associated with chronic obstructive pulmonary disease (COPD). Some factors such as chronic cough, poor nutritional status and old age in patients with COPD would contribute to lumbar hernia.

摘要

腰椎疝是一种非常罕见的腹外侧壁疝,在大多数成年患者中为自发性。在此我们报告两例与慢性阻塞性肺疾病(COPD)相关的自发性腰椎疝。COPD 患者的一些因素,如慢性咳嗽、营养状况差和老年,会导致腰椎疝。

https://cdn.ncbi.nlm.nih.gov/pmc/blobs/341c/3809316/fc09e0a92895/pjms-29-874-g001.jpg

相似文献

2
Abdominal wall hernias: risk factors for infection and resource utilization.
J Surg Res. 2003 May 1;111(1):78-84. doi: 10.1016/s0022-4804(03)00077-5.
3
[Spontaneous thoracic hernias--report of two cases, surgically treated].
Magy Seb. 2010 Apr;63(2):80-3. doi: 10.1556/MaSeb.63.2010.2.5.
4
Bilateral Lumbar Hernias Following Spine Surgery: A Case Report and Laparoscopic Transabdominal Repair.
Case Rep Surg. 2020 Jul 31;2020:8859106. doi: 10.1155/2020/8859106. eCollection 2020.
5
Laparoscopic transabdominal extraperitoneal mesh repair of lumbar hernia.
J Korean Surg Soc. 2011 Dec;81 Suppl 1(Suppl 1):S74-7. doi: 10.4174/jkss.2011.81.Suppl1.S74. Epub 2011 Nov 25.
6
Primary lumbar hernia repair: the open approach.
Eur Surg Res. 2007;39(2):88-92. doi: 10.1159/000099155. Epub 2007 Feb 1.
7
Laparoscopic repair of a lumbar hernia: report of a case and extensive review of the literature.
Surg Endosc. 2013 Sep;27(9):3421-9. doi: 10.1007/s00464-013-2884-9. Epub 2013 Apr 30.
10
[Symptomatic lumbar incisional hernia after open nephrectomy: What are the risk factors?].
Prog Urol. 2016 Apr;26(5):304-9. doi: 10.1016/j.purol.2016.02.011. Epub 2016 Mar 22.

引用本文的文献

1
Bilateral Fat Containing Lumbar Hernia: A Case Report and Literature Review.
Am J Case Rep. 2019 Aug 25;20:1253-1258. doi: 10.12659/AJCR.917273.
2
Pitfalls and clinical recommendations for the primary lumbar hernia based on a systematic review of the literature.
Hernia. 2019 Feb;23(1):107-117. doi: 10.1007/s10029-018-1834-9. Epub 2018 Oct 12.

本文引用的文献

1
Lumbar hernia: anatomical basis and clinical aspects.
Surg Radiol Anat. 2008 Oct;30(7):533-7; discussion 609-10. doi: 10.1007/s00276-008-0361-2. Epub 2008 Jun 14.
2
[Nutritional Status in COPD].
Arch Bronconeumol. 2007 May;43(5):283-8.
3
Controversies in the current management of lumbar hernias.
Arch Surg. 2007 Jan;142(1):82-8. doi: 10.1001/archsurg.142.1.82.
4
Systemic effects of chronic obstructive pulmonary disease.
Eur Respir J. 2003 Feb;21(2):347-60. doi: 10.1183/09031936.03.00405703.
5
Lumbar hernia: a rare cause of large bowel obstruction.
Postgrad Med J. 1999 Apr;75(882):231-2. doi: 10.1136/pgmj.75.882.231.

文献AI研究员

20分钟写一篇综述,助力文献阅读效率提升50倍。

立即体验

用中文搜PubMed

大模型驱动的PubMed中文搜索引擎

马上搜索

文档翻译

学术文献翻译模型,支持多种主流文档格式。

立即体验