Suppr超能文献

腹腔镜修补双侧腰疝的经腹腹膜前手术:三例报告及文献复习

Laparoscopic repair the transabdominal preperitoneal procedure for bilateral lumbar hernia: Three cases report and review of literature.

作者信息

Huang Di-Yu, Pan Long, Chen Ming-Yu, Fang Jing

机构信息

Department of General Surgery, Sir Run-Run Shaw Hospital, Zhejiang University, Hangzhou 310016, Zhejiang Province, China.

出版信息

World J Clin Cases. 2018 Sep 26;6(10):398-405. doi: 10.12998/wjcc.v6.i10.398.

Abstract

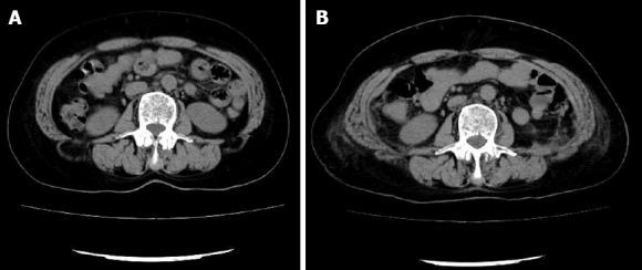
A lumbar hernia is a rare entity, and a bilateral lumbar hernia is much rarer. From May 2015 to October 2017, we treated only three patients with bilateral lumbar hernias. One patient came to the hospital presenting with right-sided abdominal pain, and the other two patients presented with bilateral lumbar masses. The previous bilateral lumbar hernia reported in the literature was repaired by open surgery. The laparoscopic approach the transabdominal preperitoneal (TAPP) procedure with the self-gripping Parietex ProGrip™ mesh was performed at our center. The laparoscopic repair was conducted by a skilled hernia surgeon, and was successfully performed in the three patients. The patients resumed a semi-liquid diet and had no activity restriction after six hours following the operation. No antibiotics were used after the surgery. The operative times of the three patients were 120 min, 85 min, and 130 min. The blood loss volumes of the three patients were 20 mL, 5 mL, and 5 mL. The visual analogue scale pain scores of the three patients were 1, 2, and 2 on postoperative day 1, and were 1, 2, and 1 on postoperative day 3. No perioperative complications, such as bulge, wound infection and hematoma, occurred after the surgery. All of the patients were discharged on the third day after the operation. There was no chronic pain and no hernia recurrence during the follow-up. This study showed that the laparoscopic TAPP approach with the self-gripping mesh is safe and feasible, and can be considered an alternative method for the treatment of bilateral lumbar hernias.

摘要

腰椎疝是一种罕见的病症,双侧腰椎疝则更为罕见。2015年5月至2017年10月,我们仅治疗了3例双侧腰椎疝患者。1例患者因右侧腹痛入院,另外2例患者表现为双侧腰部肿块。文献中报道的既往双侧腰椎疝均通过开放手术修复。我们中心采用腹腔镜经腹腹膜前(TAPP)手术并使用自固定的百达思ProGrip™补片。腹腔镜修复手术由一位经验丰富的疝外科医生进行,3例患者均手术成功。术后6小时患者即可恢复半流质饮食且无活动限制。术后未使用抗生素。3例患者的手术时间分别为120分钟、85分钟和130分钟。3例患者的失血量分别为20毫升、5毫升和5毫升。3例患者术后第1天的视觉模拟评分疼痛分数分别为1分、2分和2分,术后第3天分别为1分、2分和1分。术后未发生围手术期并发症,如隆起、伤口感染和血肿。所有患者均在术后第3天出院。随访期间无慢性疼痛且无疝复发。本研究表明,使用自固定补片的腹腔镜TAPP手术方法安全可行,可被视为治疗双侧腰椎疝的一种替代方法。

https://cdn.ncbi.nlm.nih.gov/pmc/blobs/6d62/6163131/166cb785ad09/WJCC-6-398-g001.jpg

文献AI研究员

20分钟写一篇综述,助力文献阅读效率提升50倍。

立即体验

用中文搜PubMed

大模型驱动的PubMed中文搜索引擎

马上搜索

文档翻译

学术文献翻译模型,支持多种主流文档格式。

立即体验