• 文献检索
  • 文档翻译
  • 深度研究
  • 学术资讯
  • Suppr Zotero 插件Zotero 插件
  • 邀请有礼
  • 套餐&价格
  • 历史记录
应用&插件
Suppr Zotero 插件Zotero 插件浏览器插件Mac 客户端Windows 客户端微信小程序
定价
高级版会员购买积分包购买API积分包
服务
文献检索文档翻译深度研究API 文档MCP 服务
关于我们
关于 Suppr公司介绍联系我们用户协议隐私条款
关注我们

Suppr 超能文献

核心技术专利:CN118964589B侵权必究
粤ICP备2023148730 号-1Suppr @ 2026

文献检索

告别复杂PubMed语法,用中文像聊天一样搜索,搜遍4000万医学文献。AI智能推荐,让科研检索更轻松。

立即免费搜索

文件翻译

保留排版,准确专业,支持PDF/Word/PPT等文件格式,支持 12+语言互译。

免费翻译文档

深度研究

AI帮你快速写综述,25分钟生成高质量综述,智能提取关键信息,辅助科研写作。

立即免费体验

内皮素 B 受体表达与食管鳞癌的肿瘤血管生成和预后相关。

Endothelin B receptor expression correlates with tumour angiogenesis and prognosis in oesophageal squamous cell carcinoma.

机构信息

Department of Surgery, Nara Medical University, 840 Shijo-cho, Kashihara, Nara 634-8522, Japan.

Division of Clinical and Investigative Medicine, Nara Medical University, 840 Shijo-cho, Kashihara, Nara 634-8522, Japan.

出版信息

Br J Cancer. 2014 Feb 18;110(4):1027-33. doi: 10.1038/bjc.2013.784. Epub 2013 Dec 19.

DOI:10.1038/bjc.2013.784
PMID:24357795
原文链接:https://pmc.ncbi.nlm.nih.gov/articles/PMC3929870/
Abstract

BACKGROUND

The endothelin axis has been shown to have a pivotal role in several human malignancies. The aim of this study was to clarify the clinical importance of endothelin receptor type B (ETBR) in human oesophageal squamous cell carcinoma (OSCC).

METHODS

We evaluated ETBR expression in 107 patients with OSCC by immunohistochemistry. Microvessel density (MVD) and lymphatic vessel density were assessed by CD31 and D2-40 immunostaining, respectively. Furthermore, CD4, CD8, and CD45RO+ tumour-infiltrating lymphocytes (TILs) were immunohistochemically analysed.

RESULTS

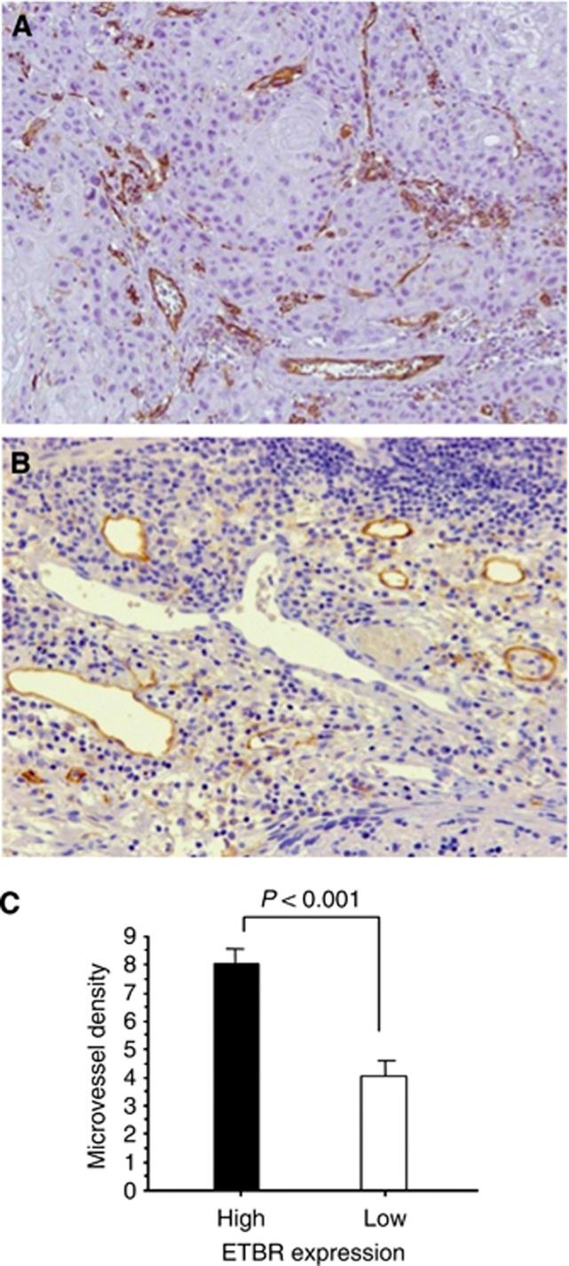
Sixty-one (57%) cases showed high expression of ETBR. Endothelin receptor type B expression was correlated with several clinicopathological factors including tumour differentiation, tumour depth, and lymph node metastasis. The overall and disease-specific survival rates were significantly lower in patients with high ETBR expression than patients with low expression. Furthermore, multivariate analysis revealed that ETBR status was an independent prognostic factor for patient survival. Mechanistic analysis indicated that MVD was significantly higher in tumour tissues with high ETBR expression compared with those with low expression, suggesting that angiogenesis may be a key mechanism in tumour progression and metastasis of OSCC mediated by ETBR expression. By contrast, there were no significant correlations between TILs and ETBR expression.

CONCLUSION

Endothelin receptor type B has a pivotal role in oesophageal cancer and may be therapeutic target for this intractable malignancy.

摘要

背景

内皮素轴在几种人类恶性肿瘤中具有关键作用。本研究旨在阐明内皮素受体 B(ETBR)在人食管鳞状细胞癌(OSCC)中的临床重要性。

方法

我们通过免疫组织化学评估了 107 例 OSCC 患者的 ETBR 表达。微血管密度(MVD)和淋巴管密度分别通过 CD31 和 D2-40 免疫染色评估。此外,还通过免疫组织化学分析了 CD4、CD8 和 CD45RO+肿瘤浸润淋巴细胞(TIL)。

结果

61 例(57%)病例表现出 ETBR 的高表达。ETBR 表达与包括肿瘤分化、肿瘤深度和淋巴结转移在内的几种临床病理因素相关。高 ETBR 表达患者的总生存率和疾病特异性生存率明显低于低表达患者。此外,多变量分析显示 ETBR 状态是患者生存的独立预后因素。机制分析表明,高 ETBR 表达的肿瘤组织中的 MVD 明显高于低表达的肿瘤组织,提示血管生成可能是 ETBR 表达介导的 OSCC 肿瘤进展和转移的关键机制。相比之下,TILs 与 ETBR 表达之间没有显著相关性。

结论

内皮素受体 B 在食管癌中具有关键作用,可能是这种难治性恶性肿瘤的治疗靶点。

https://cdn.ncbi.nlm.nih.gov/pmc/blobs/9203/3929870/a55356cc2723/bjc2013784f5.jpg
https://cdn.ncbi.nlm.nih.gov/pmc/blobs/9203/3929870/94a2ba534f63/bjc2013784f1.jpg
https://cdn.ncbi.nlm.nih.gov/pmc/blobs/9203/3929870/89af526a1594/bjc2013784f2.jpg
https://cdn.ncbi.nlm.nih.gov/pmc/blobs/9203/3929870/cc64e5d90c57/bjc2013784f3.jpg
https://cdn.ncbi.nlm.nih.gov/pmc/blobs/9203/3929870/40e9f96440e5/bjc2013784f4.jpg
https://cdn.ncbi.nlm.nih.gov/pmc/blobs/9203/3929870/a55356cc2723/bjc2013784f5.jpg
https://cdn.ncbi.nlm.nih.gov/pmc/blobs/9203/3929870/94a2ba534f63/bjc2013784f1.jpg
https://cdn.ncbi.nlm.nih.gov/pmc/blobs/9203/3929870/89af526a1594/bjc2013784f2.jpg
https://cdn.ncbi.nlm.nih.gov/pmc/blobs/9203/3929870/cc64e5d90c57/bjc2013784f3.jpg
https://cdn.ncbi.nlm.nih.gov/pmc/blobs/9203/3929870/40e9f96440e5/bjc2013784f4.jpg
https://cdn.ncbi.nlm.nih.gov/pmc/blobs/9203/3929870/a55356cc2723/bjc2013784f5.jpg

相似文献

1
Endothelin B receptor expression correlates with tumour angiogenesis and prognosis in oesophageal squamous cell carcinoma.内皮素 B 受体表达与食管鳞癌的肿瘤血管生成和预后相关。
Br J Cancer. 2014 Feb 18;110(4):1027-33. doi: 10.1038/bjc.2013.784. Epub 2013 Dec 19.
2
High microvessel and lymphatic vessel density predict poor prognosis in patients with esophageal squamous cell carcinoma.微血管和淋巴管密度高预示食管鳞癌患者预后不良。
PeerJ. 2024 Sep 27;12:e18080. doi: 10.7717/peerj.18080. eCollection 2024.
3
Prognostic importance of tumour-infiltrating memory T cells in oesophageal squamous cell carcinoma.肿瘤浸润记忆 T 细胞在食管鳞状细胞癌中的预后意义。
Clin Exp Immunol. 2012 May;168(2):186-91. doi: 10.1111/j.1365-2249.2012.04565.x.
4
The role of the endothelin axis and microvessel density in bladder cancer - correlation with tumor angiogenesis and clinical prognosis.内皮素轴和微血管密度在膀胱癌中的作用——与肿瘤血管生成及临床预后的相关性
Oncol Rep. 2007 Jul;18(1):133-8.
5
Tumor lymphangiogenesis correlates with lymph node metastasis and clinicopathologic parameters in oral squamous cell carcinoma.肿瘤淋巴管生成与口腔鳞状细胞癌的淋巴结转移及临床病理参数相关。
Cancer. 2007 Sep 15;110(6):1287-94. doi: 10.1002/cncr.22900.
6
Expression and prognostic relevance of endothelin-B receptor in vulvar cancer.内皮素-B受体在外阴癌中的表达及其预后相关性
Oncol Rep. 2007 Aug;18(2):305-11.
7
Expression of vascular endothelial growth factor (VEGF) and its receptors (Flt-1 and Flk-1) in esophageal squamous cell carcinoma.血管内皮生长因子(VEGF)及其受体(Flt-1和Flk-1)在食管鳞状细胞癌中的表达
Anticancer Res. 2002 Nov-Dec;22(6C):3977-84.
8
CD163 as a marker of M2 macrophage, contribute to predicte aggressiveness and prognosis of Kazakh esophageal squamous cell carcinoma.CD163作为M2巨噬细胞的标志物,有助于预测哈萨克族食管鳞状细胞癌的侵袭性和预后。
Oncotarget. 2017 Mar 28;8(13):21526-21538. doi: 10.18632/oncotarget.15630.
9
Expression of AEG-1 and microvessel density correlates with metastasis and prognosis of oral squamous cell carcinoma.AEG-1 的表达与微血管密度与口腔鳞状细胞癌的转移和预后相关。
Hum Pathol. 2014 Apr;45(4):858-65. doi: 10.1016/j.humpath.2013.08.030. Epub 2014 Jan 8.
10
Downregulation of KLK13 promotes the invasiveness and metastasis of oesophageal squamous cell carcinoma.KLK13 的下调促进食管鳞癌细胞的侵袭和转移。
Biomed Pharmacother. 2017 Dec;96:1008-1015. doi: 10.1016/j.biopha.2017.11.129. Epub 2017 Dec 6.

引用本文的文献

1
Endothelin and the tumor microenvironment: a finger in every pie.内皮素与肿瘤微环境:多管齐下。
Clin Sci (Lond). 2024 Jun 5;138(11):617-634. doi: 10.1042/CS20240426.
2
Advanced esophageal cancer with bone metastases: Prognostic biomarkers and palliative treatment.伴有骨转移的晚期食管癌:预后生物标志物与姑息治疗
Heliyon. 2023 Dec 9;10(1):e23510. doi: 10.1016/j.heliyon.2023.e23510. eCollection 2024 Jan 15.
3
Repurposing of the Drug Tezosentan for Cancer Therapy.将药物替唑生坦重新用于癌症治疗。

本文引用的文献

1
Prognostic importance of tumour-infiltrating memory T cells in oesophageal squamous cell carcinoma.肿瘤浸润记忆 T 细胞在食管鳞状细胞癌中的预后意义。
Clin Exp Immunol. 2012 May;168(2):186-91. doi: 10.1111/j.1365-2249.2012.04565.x.
2
CD31, EDNRB and TSPAN7 are promising prognostic markers in clear-cell renal cell carcinoma revealed by genome-wide expression analyses of primary tumors and metastases.CD31、EDNRB 和 TSPAN7 是通过对原发性肿瘤和转移灶进行全基因组表达分析发现的透明细胞肾细胞癌有前途的预后标志物。
Int J Cancer. 2012 Sep 1;131(5):E693-704. doi: 10.1002/ijc.27419. Epub 2012 Feb 28.
3
Endothelin B receptor expression in human astrocytoma: association with clinicopathological variables and survival outcomes.
Curr Issues Mol Biol. 2023 Jun 11;45(6):5118-5131. doi: 10.3390/cimb45060325.
4
Modulation of T cell function and survival by the tumor microenvironment.肿瘤微环境对T细胞功能和存活的调节
Front Cell Dev Biol. 2023 May 18;11:1191774. doi: 10.3389/fcell.2023.1191774. eCollection 2023.
5
Endothelin-axis antagonism enhances tumor perfusion in pancreatic cancer.内皮素轴拮抗作用增强胰腺癌肿瘤灌注。
Cancer Lett. 2022 Sep 28;544:215801. doi: 10.1016/j.canlet.2022.215801. Epub 2022 Jun 19.
6
Endothelin and the Cardiovascular System: The Long Journey and Where We Are Going.内皮素与心血管系统:漫长历程及未来走向
Biology (Basel). 2022 May 16;11(5):759. doi: 10.3390/biology11050759.
7
Single-cell analyses of renal cell cancers reveal insights into tumor microenvironment, cell of origin, and therapy response.单细胞分析肾细胞癌揭示肿瘤微环境、细胞起源和治疗反应的见解。
Proc Natl Acad Sci U S A. 2021 Jun 15;118(24). doi: 10.1073/pnas.2103240118.
8
Manipulation of immune‒vascular crosstalk: new strategies towards cancer treatment.免疫-血管相互作用的调控:癌症治疗的新策略
Acta Pharm Sin B. 2020 Nov;10(11):2018-2036. doi: 10.1016/j.apsb.2020.09.014. Epub 2020 Sep 28.
9
A Window of Opportunity: Targeting Cancer Endothelium to Enhance Immunotherapy.机会之窗:针对肿瘤内皮细胞以增强免疫治疗。
Front Immunol. 2020 Nov 11;11:584723. doi: 10.3389/fimmu.2020.584723. eCollection 2020.
10
Development of an Immune-Related Risk Signature for Predicting Prognosis in Lung Squamous Cell Carcinoma.用于预测肺鳞状细胞癌预后的免疫相关风险特征的开发
Front Genet. 2020 Aug 28;11:978. doi: 10.3389/fgene.2020.00978. eCollection 2020.
内皮素 B 受体在人脑星形细胞瘤中的表达:与临床病理变量和生存结局的关系。
Int J Neurosci. 2011 Nov;121(11):626-31. doi: 10.3109/00207454.2011.602808. Epub 2011 Aug 9.
4
Role of the endothelin axis and its antagonists in the treatment of cancer.内皮素轴及其拮抗剂在癌症治疗中的作用。
Br J Pharmacol. 2011 May;163(2):220-33. doi: 10.1111/j.1476-5381.2011.01217.x.
5
Perioperative management of esophageal cancer.食管癌的围手术期管理。
Nat Rev Clin Oncol. 2010 Apr;7(4):231-8. doi: 10.1038/nrclinonc.2010.20. Epub 2010 Mar 9.
6
Outcome of low-volume surgery for esophageal cancer in a high-volume referral center.低容量手术治疗高容量转诊中心食管癌的结果。
Ann Surg Oncol. 2009 Dec;16(12):3219-26. doi: 10.1245/s10434-009-0700-5. Epub 2009 Sep 24.
7
Endothelin B receptor, a new target in cancer immune therapy.内皮素B受体,癌症免疫治疗的新靶点。
Clin Cancer Res. 2009 Jul 15;15(14):4521-8. doi: 10.1158/1078-0432.CCR-08-0543. Epub 2009 Jun 30.
8
Endothelin-1 stimulates lymphatic endothelial cells and lymphatic vessels to grow and invade.内皮素-1刺激淋巴管内皮细胞和淋巴管生长并侵袭。
Cancer Res. 2009 Mar 15;69(6):2669-76. doi: 10.1158/0008-5472.CAN-08-1879. Epub 2009 Mar 10.
9
Elevation of circulating big endothelin-1: an independent prognostic factor for tumor recurrence and survival in patients with esophageal squamous cell carcinoma.循环中大内皮素-1水平升高:食管鳞状细胞癌患者肿瘤复发和生存的独立预后因素。
BMC Cancer. 2008 Nov 15;8:334. doi: 10.1186/1471-2407-8-334.
10
The endothelin axis in cancer: the promise and the challenges of molecularly targeted therapy.癌症中的内皮素轴:分子靶向治疗的前景与挑战
Can J Physiol Pharmacol. 2008 Aug;86(8):473-84. doi: 10.1139/Y08-058.