Suppr超能文献

Jadassohn皮脂腺痣中发生六种肿瘤:一例报告。

Development of six tumors in a sebaceus nevus of jadassohn: report of a case.

作者信息

Gozel Serap, Donmez Melahat, Akdur Noyan Can, Yikilkan Hulya

机构信息

Department of Pathology, Ankara Training and Research Hospital, Ankara, Turkey.

Department of Family Medicine, Diskapi Yildirim Beyazit Training and Research Hospital, Ankara, Turkey. ; Department of Family Medicine, University of Antwerp, Antwerp, Belgium.

出版信息

Korean J Pathol. 2013 Dec;47(6):569-74. doi: 10.4132/KoreanJPathol.2013.47.6.569. Epub 2013 Dec 24.

Abstract

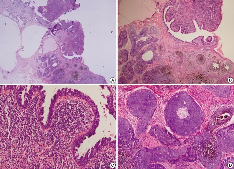
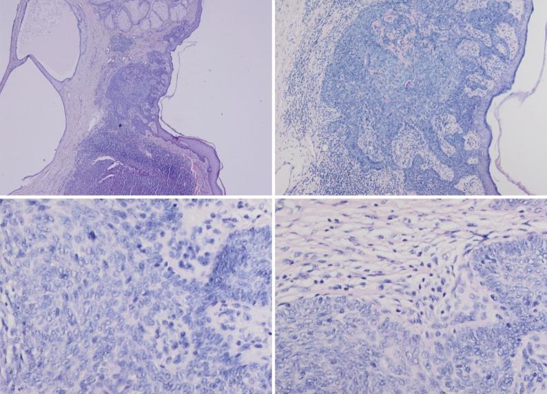
Nevus sebaceus of Jadassohn is a congenital cutaneous hamartoma comprised of multiple skin structures. It has the potential to develop into variety of neoplasms of various epidermal adnexal origins. While multiple tumors may occasionally arise, it is unusual for more than four tumors to arise simultaneously within a single sebaceus nevus. Here in, we report a case of a 70-year-old woman with six neoplastic proliferations including a syringocystadenoma papilliferum, pigmented trichoblastoma, tubular apocrine adenoma, sebaceoma, tumors of follicular infundibulum and superficial epithelioma with sebaceus differentiation arising in a long standing nevus sebaceus on the scalp. Our case is extraordinary because a single nevus sebaceus contained six neoplastic proliferations with differentiation toward the folliculosebaceous-apocrine unit.

摘要

Jadassohn皮脂腺痣是一种由多种皮肤结构组成的先天性皮肤错构瘤。它有可能发展成各种起源于表皮附属器的肿瘤。虽然偶尔可能会出现多个肿瘤,但在单个皮脂腺痣内同时出现四个以上肿瘤的情况并不常见。在此,我们报告一例70岁女性病例,其头皮上长期存在的皮脂腺痣发生了六种肿瘤性增殖,包括乳头状汗管囊腺瘤、色素性毛母细胞瘤、管状大汗腺腺瘤、皮脂腺瘤、毛囊漏斗部肿瘤以及具有皮脂腺分化的浅表上皮瘤。我们的病例非同寻常,因为单个皮脂腺痣包含六种向毛囊皮脂腺大汗腺单位分化的肿瘤性增殖。

https://cdn.ncbi.nlm.nih.gov/pmc/blobs/25b6/3887160/bf4e3952103b/kjpathol-47-569-g001.jpg

文献AI研究员

20分钟写一篇综述,助力文献阅读效率提升50倍。

立即体验

用中文搜PubMed

大模型驱动的PubMed中文搜索引擎

马上搜索

文档翻译

学术文献翻译模型,支持多种主流文档格式。

立即体验