Suppr超能文献

大鼠前列腺腺癌中基质细胞群体的上皮起源

The epithelial origin of a stromal cell population in adenocarcinoma of the rat prostate.

作者信息

Beckman W C, Camps J L, Weissman R M, Kaufman S L, Sanofsky S J, Reddick R L, Siegal G P

出版信息

Am J Pathol. 1987 Sep;128(3):555-65.

Abstract

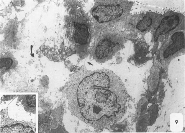
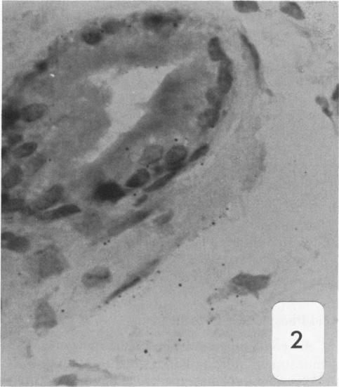
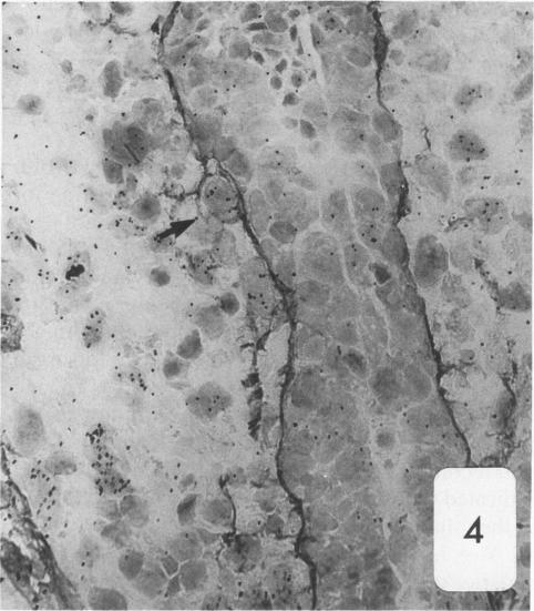
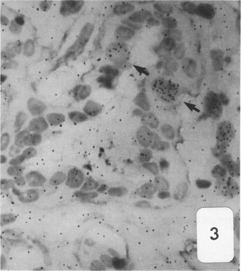
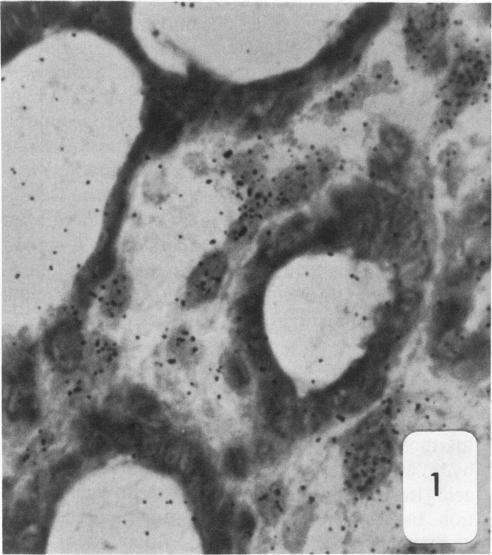
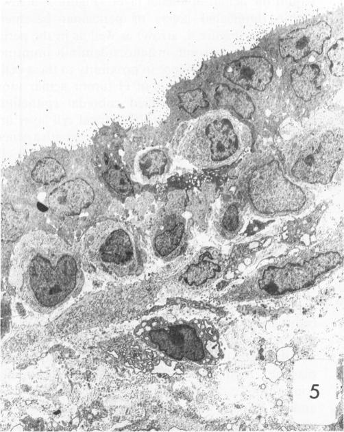
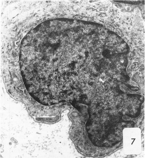
Dunning R3327-H rat prostate adenocarcinoma cells, when grown in syngeneic (Copenhagen) rats or nude mice, produce tumors with prominent hypercellular stroma. The authors have previously demonstrated the presence of anomalous steroid-sensitive cells in both the epithelium and stromal compartments of this model system. In order to better understand the histogenesis of these cells, the authors studied samples of the tumor which were radiolabeled overnight with tritiated dihydrotestosterone (3H-DHT). Frozen sections of the tissues were thaw-mounted onto autoradiographic emulsion-coated slides to permit silver grain identification in association with nuclei of androgen-sensitive cells. Surprisingly, numerous silver grains were found to be associated with nuclei of large cells within the stroma. Therefore, these cells were termed "epithelioid" pending confirmation of their origin. To further define these cells and their relationship to the surrounding matrix, autoradiograms have now been examined immunohistochemically with antibodies directed against the basement membrane glycoprotein, laminin, as well as antibodies specific for intermediate cytoskeletal filaments. Following identification of acinar basement membranes, epithelioid cells were identifiable both in the stroma and in the acinar epithelial cell layer. Histochemical staining with acid phosphatase, a marker for prostatic epithelium, was performed and shown to be present in acinar epithelial cells as well as in epithelioid cells. Additionally, fluorescence-activated cell sorting was employed to characterize the DNA content of cell types within the H tumor. Epithelioid cells were found to be in highest concentration in an aneuploid peak with a ploidy of approximately 6N. The autoradiographic, immunohistochemical, cytometric, and ultramicroscopic studies suggest that 1) epithelioid cells are epithelial derived stromal cells; 2) these epithelioid cells arise by pathologic division of aneuploid neoplastic precursor cells of approximately 3N ploidy, which are found within the prostatic epithelium; and 3) the resulting 6N cells degrade the basement membrane locally, invade the stroma, and populate it. Here, they can be distinguished from fibroblasts by their size, acid phosphatase activity, and hormone receptor content. Thus, the term "epithelioid" is inappropriate; and these cells should be regarded simply as large neoplastic epithelial (LNE) cells. The presence of this cell type suggests that this tumor subline represents a useful naturally occurring model for the study of the initial stages of neoplastic transformation.

摘要

邓宁R3327 - H大鼠前列腺腺癌细胞在同基因(哥本哈根)大鼠或裸鼠体内生长时,会产生具有显著细胞增多性基质的肿瘤。作者此前已证明在该模型系统的上皮和基质区室中均存在异常的类固醇敏感细胞。为了更好地理解这些细胞的组织发生,作者研究了用氚化双氢睾酮(3H - DHT)过夜进行放射性标记的肿瘤样本。将组织的冰冻切片解冻后贴在涂有放射自显影乳剂的载玻片上,以便确定与雄激素敏感细胞核相关的银颗粒。令人惊讶的是,发现大量银颗粒与基质内大细胞的核相关。因此,在确认其起源之前,这些细胞被称为“上皮样细胞”。为了进一步定义这些细胞及其与周围基质的关系,现在已用针对基底膜糖蛋白层粘连蛋白的抗体以及针对中间细胞骨架丝的特异性抗体对放射自显影片进行免疫组织化学检查。在确定腺泡基底膜后,在上皮样细胞的基质和腺泡上皮细胞层中均可识别出上皮样细胞。用酸性磷酸酶进行组织化学染色,酸性磷酸酶是前列腺上皮的标志物,结果显示其存在于腺泡上皮细胞以及上皮样细胞中。此外,采用荧光激活细胞分选技术来表征H肿瘤内细胞类型的DNA含量。发现上皮样细胞在非整倍体峰中浓度最高,其倍性约为6N。放射自显影、免疫组织化学、细胞计量学和超微结构研究表明:1)上皮样细胞是上皮来源的基质细胞;2)这些上皮样细胞由前列腺上皮内约3N倍性的非整倍体肿瘤前体细胞的病理性分裂产生;3)产生的6N细胞局部降解基底膜,侵入基质并在其中聚集。在这里,它们可以通过大小、酸性磷酸酶活性和激素受体含量与成纤维细胞区分开来。因此,“上皮样”这个术语并不恰当;这些细胞应简单地视为大肿瘤上皮(LNE)细胞。这种细胞类型的存在表明该肿瘤亚系是研究肿瘤转化初始阶段的一个有用的自然发生模型。

https://cdn.ncbi.nlm.nih.gov/pmc/blobs/5df2/1899676/fca373a95c89/amjpathol00144-0180-a.jpg

文献检索

告别复杂PubMed语法,用中文像聊天一样搜索,搜遍4000万医学文献。AI智能推荐,让科研检索更轻松。

立即免费搜索

文件翻译

保留排版,准确专业,支持PDF/Word/PPT等文件格式,支持 12+语言互译。

免费翻译文档

深度研究

AI帮你快速写综述,25分钟生成高质量综述,智能提取关键信息,辅助科研写作。

立即免费体验