• 文献检索
  • 文档翻译
  • 深度研究
  • 学术资讯
  • Suppr Zotero 插件Zotero 插件
  • 邀请有礼
  • 套餐&价格
  • 历史记录
应用&插件
Suppr Zotero 插件Zotero 插件浏览器插件Mac 客户端Windows 客户端微信小程序
定价
高级版会员购买积分包购买API积分包
服务
文献检索文档翻译深度研究API 文档MCP 服务
关于我们
关于 Suppr公司介绍联系我们用户协议隐私条款
关注我们

Suppr 超能文献

核心技术专利:CN118964589B侵权必究
粤ICP备2023148730 号-1Suppr @ 2026

文献检索

告别复杂PubMed语法,用中文像聊天一样搜索,搜遍4000万医学文献。AI智能推荐,让科研检索更轻松。

立即免费搜索

文件翻译

保留排版,准确专业,支持PDF/Word/PPT等文件格式,支持 12+语言互译。

免费翻译文档

深度研究

AI帮你快速写综述,25分钟生成高质量综述,智能提取关键信息,辅助科研写作。

立即免费体验

表现为肉瘤的髂旁放线菌性足菌肿,阑尾炎的晚期并发症:一例报告

Para-iliac actinomycetoma presenting as sarcoma, a late complication of appendicitis: A case report.

作者信息

Navarre Pierre, Cantin Marie-Andrée, Isler Marc H

机构信息

Hôpital Sainte-Justine, Montréal, QC, Canada; Hôpital Maisonneuve-Rosemont, Montréal, QC, Canada; Université de Montréal, Montréal, QC, Canada.

Hôpital Sainte-Justine, Montréal, QC, Canada; Université de Montréal, Montréal, QC, Canada.

出版信息

Int J Surg Case Rep. 2014;5(2):43-6. doi: 10.1016/j.ijscr.2013.11.002. Epub 2013 Nov 21.

DOI:10.1016/j.ijscr.2013.11.002
PMID:24434727
原文链接:https://pmc.ncbi.nlm.nih.gov/articles/PMC3921643/
Abstract

INTRODUCTION

Actinomycosis is known to mimic several types of neoplasms, leading to morbid surgical interventions.

PRESENTATION OF CASE

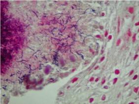
We report the particular case of an extensive right para-iliac actinomycetoma presenting as a sarcoma, which to our knowledge has not yet been described in the literature, in a patient with previous ruptured appendicitis. Thanks to the collaborative work between the orthopedic and general surgeons, pathologist and microbiologist, the diagnosis of actinomycosis was made pre-operatively, saving this 15-year-old patient from a tumor resection protocol.

DISCUSSION

Actinomycetomas have often been reported to present in the same way as several abdominal and gynecological neoplasms, and on rare occasions been described as mimicking other soft-tissue sarcomas, leading to unnecessary morbid tumor resection protocols. The most common cause of abdominal actinomycosis is perforated appendicitis, and may present several years later.

CONCLUSION

While faced with a soft tissue mass transgressing tissue planes and possibly extending to the region of the right lower quadrant, especially with a history of previous perforated appendicitis, one should consider the possibility of an abscess caused by pathogens of intestinal origin, including the gram positive anaerobe Actinomycosis israelii. Failure to actively search for this pathogen, which is not detectable with routine staining techniques and may take up to 1-2 weeks to isolate, may lead to unnecessary morbid surgical procedures.

摘要

引言

放线菌病已知可模仿多种类型的肿瘤,导致进行有害的外科手术干预。

病例介绍

我们报告了一例特殊病例,一名既往有阑尾炎穿孔史的患者出现广泛的右侧髂旁放线菌肿,表现为肉瘤,据我们所知,该病例在文献中尚未有描述。由于骨科医生、普通外科医生、病理学家和微生物学家的协作,术前做出了放线菌病的诊断,使这名15岁的患者免于肿瘤切除方案。

讨论

放线菌肿常被报道与多种腹部和妇科肿瘤的表现相同,少数情况下被描述为模仿其他软组织肉瘤,导致不必要的有害肿瘤切除方案。腹部放线菌病最常见的原因是阑尾炎穿孔,可能在数年后出现。

结论

当面对一个跨越组织平面并可能延伸至右下腹区域的软组织肿块时,尤其是有既往阑尾炎穿孔史的患者,应考虑由肠道源性病原体引起脓肿的可能性,包括革兰氏阳性厌氧菌以色列放线菌。未能积极寻找这种病原体(常规染色技术无法检测到,分离可能需要长达1 - 2周时间)可能导致不必要的有害外科手术。

https://cdn.ncbi.nlm.nih.gov/pmc/blobs/f4e1/3921643/7f9aa99ee24a/gr5.jpg
https://cdn.ncbi.nlm.nih.gov/pmc/blobs/f4e1/3921643/4530cb3e0986/gr1.jpg
https://cdn.ncbi.nlm.nih.gov/pmc/blobs/f4e1/3921643/15459ec56866/gr2.jpg
https://cdn.ncbi.nlm.nih.gov/pmc/blobs/f4e1/3921643/c6721986d20c/gr3.jpg
https://cdn.ncbi.nlm.nih.gov/pmc/blobs/f4e1/3921643/502c5b0075f1/gr4.jpg
https://cdn.ncbi.nlm.nih.gov/pmc/blobs/f4e1/3921643/7f9aa99ee24a/gr5.jpg
https://cdn.ncbi.nlm.nih.gov/pmc/blobs/f4e1/3921643/4530cb3e0986/gr1.jpg
https://cdn.ncbi.nlm.nih.gov/pmc/blobs/f4e1/3921643/15459ec56866/gr2.jpg
https://cdn.ncbi.nlm.nih.gov/pmc/blobs/f4e1/3921643/c6721986d20c/gr3.jpg
https://cdn.ncbi.nlm.nih.gov/pmc/blobs/f4e1/3921643/502c5b0075f1/gr4.jpg
https://cdn.ncbi.nlm.nih.gov/pmc/blobs/f4e1/3921643/7f9aa99ee24a/gr5.jpg

相似文献

1
Para-iliac actinomycetoma presenting as sarcoma, a late complication of appendicitis: A case report.表现为肉瘤的髂旁放线菌性足菌肿,阑尾炎的晚期并发症:一例报告
Int J Surg Case Rep. 2014;5(2):43-6. doi: 10.1016/j.ijscr.2013.11.002. Epub 2013 Nov 21.
2
A rare case of subacute appendicitis, actinomycosis as the final pathology reports: A case report and literature review.一例罕见的亚急性阑尾炎,最终病理报告为放线菌病:病例报告及文献综述
Int J Surg Case Rep. 2017;36:46-49. doi: 10.1016/j.ijscr.2017.04.033. Epub 2017 May 15.
3
Actinomycosis as a rare cause of acute appendicitis: Case report and comprehensive literature review.放线菌病作为急性阑尾炎的罕见病因:病例报告及文献综述
Int J Surg Case Rep. 2024 Aug;121:109975. doi: 10.1016/j.ijscr.2024.109975. Epub 2024 Jun 27.
4
Appendicular Actinomycosis: Behind the Curtains of Appendicitis.阑尾放线菌病:阑尾炎背后的真相
Cureus. 2022 Sep 28;14(9):e29709. doi: 10.7759/cureus.29709. eCollection 2022 Sep.
5
Challenging Diagnosis of Abdominal Actinomycosis: A Case Report of a 59-Year-Old Male With Acute Appendicitis-Like Presentation.腹部放线菌病的疑难诊断:一例表现为急性阑尾炎的59岁男性病例报告
Cureus. 2024 Oct 6;16(10):e70966. doi: 10.7759/cureus.70966. eCollection 2024 Oct.
6
Actinomycetoma of the colon presenting as abdominal wall abscess. Case report and review of the literature.以腹壁脓肿为表现的结肠放线菌瘤。病例报告及文献复习。
Int J Surg Case Rep. 2021 Mar;80:105679. doi: 10.1016/j.ijscr.2021.105679. Epub 2021 Feb 21.
7
Appendiceal actinomycosis mimicking malignant tumor: a rare case report.酷似恶性肿瘤的阑尾放线菌病:1例罕见病例报告
Ann Med Surg (Lond). 2024 Jan 3;86(2):1076-1079. doi: 10.1097/MS9.0000000000001564. eCollection 2024 Feb.
8
Abdominal actinomycosis mimicking acute appendicitis.酷似急性阑尾炎的腹部放线菌病。
BMJ Case Rep. 2015 Nov 26;2015:bcr2015212888. doi: 10.1136/bcr-2015-212888.
9
A rare finding of Actinomyces odontolyticus abdominal actinomycosis presenting as abdominal wall and pericolic pseudotumoral mass.放线菌属龋齿放线菌腹部放线菌病的罕见表现为腹壁和结肠旁假性肿块。
Ann Ital Chir. 2021 Sep 27;10:S2239253X21035684.
10
Comparison of immunofluorescence and culture for the detection of Actinomyces israelii in wearers of intra-uterine contraceptive devices.宫内节育器佩戴者中检测以色列放线菌的免疫荧光法与培养法的比较
J Med Microbiol. 1991 Oct;35(4):224-8. doi: 10.1099/00222615-35-4-224.

引用本文的文献

1
Diagnosing granulomatous disease during appendectomy.在阑尾切除术中诊断肉芽肿性疾病。
Clin Case Rep. 2021 Nov 16;9(11):e05074. doi: 10.1002/ccr3.5074. eCollection 2021 Nov.
2
Actinomycosis presenting as an anterior abdominal mass after laparoscopic cholecystectomy.放线菌病表现为腹腔镜胆囊切除术后的前腹壁肿块。
BMJ Case Rep. 2017 May 22;2017:bcr-2017-220357. doi: 10.1136/bcr-2017-220357.

本文引用的文献

1
Retroperitoneal fibrosis and obstructive uropathy due to actinomycosis: case report of a treatment approach.放线菌病所致腹膜后纤维化及梗阻性尿路病:一种治疗方法的病例报告
Int Surg. 2009 Oct-Dec;94(4):283-8.
2
Actinomycosis: diagnosis and management.放线菌病:诊断与管理
South Med J. 2008 Oct;101(10):1019-23. doi: 10.1097/SMJ.0b013e3181864c1f.
3
Abdominal actinomycosis.腹部放线菌病
Int J Surg. 2007 Dec;5(6):441-8. doi: 10.1016/j.ijsu.2006.06.009. Epub 2006 Aug 10.
4
[Pelvic pseudotumoral actinomycosis with multisegmental lumbosacral root failure. A case report].
Gynecol Obstet Fertil. 2005 Sep;33(9):586-9. doi: 10.1016/j.gyobfe.2005.05.024.
5
[Actinomycosis of the buttock].[臀部放线菌病]
Ann Dermatol Venereol. 2005 May;132(5):462-5. doi: 10.1016/s0151-9638(05)79309-1.
6
Abdominal actinomycosis; an analysis of 122 cases.腹部放线菌病;122例分析
Surgery. 1950 Nov;28(5):781-800.
7
Rare presentation of actinomycosis as an abdominal mass: report of a case.放线菌病罕见地表现为腹部肿块:一例报告。
Dis Colon Rectum. 2000 Jun;43(6):872-5. doi: 10.1007/BF02238030.
8
[Abdominal actinomycosis presenting as a malignant tumor--report of a case and review of the literature].[表现为恶性肿瘤的腹部放线菌病——1例报告并文献复习]
Orv Hetil. 1999 Oct 31;140(44):2453-6.
9
Retroperitoneal actinomycosis masquerading as inflammatory pseudotumor.伪装成炎性假瘤的腹膜后放线菌病。
J Pediatr Surg. 1997 Apr;32(4):618-20. doi: 10.1016/s0022-3468(97)90721-1.
10
Coincidental occurrence of actinomycosis and Ewing's sarcoma in a child.一名儿童同时发生放线菌病和尤因肉瘤。
Pediatr Radiol. 1982;12(2):99-101. doi: 10.1007/BF00972444.