• 文献检索
  • 文档翻译
  • 深度研究
  • 学术资讯
  • Suppr Zotero 插件Zotero 插件
  • 邀请有礼
  • 套餐&价格
  • 历史记录
应用&插件
Suppr Zotero 插件Zotero 插件浏览器插件Mac 客户端Windows 客户端微信小程序
定价
高级版会员购买积分包购买API积分包
服务
文献检索文档翻译深度研究API 文档MCP 服务
关于我们
关于 Suppr公司介绍联系我们用户协议隐私条款
关注我们

Suppr 超能文献

核心技术专利:CN118964589B侵权必究
粤ICP备2023148730 号-1Suppr @ 2026

文献检索

告别复杂PubMed语法,用中文像聊天一样搜索,搜遍4000万医学文献。AI智能推荐,让科研检索更轻松。

立即免费搜索

文件翻译

保留排版,准确专业,支持PDF/Word/PPT等文件格式,支持 12+语言互译。

免费翻译文档

深度研究

AI帮你快速写综述,25分钟生成高质量综述,智能提取关键信息,辅助科研写作。

立即免费体验

PPARγ/NF-κB 信号通路在妊娠肝内胆汁淤积症发病机制中的作用。

Roles of PPARγ/NF-κB signaling pathway in the pathogenesis of intrahepatic cholestasis of pregnancy.

机构信息

Department of Gynecology and Obstetrics, Wuxi Maternal and Child Health Hospital, the Affiliated Hospital of Nanjing Medical University, Wuxi, Jiangsu, China ; Department of Pharmacology, College of Pharmaceutical Sciences, Soochow University, Suzhou, Jiangsu, China.

Department of Gynecology and Obstetrics, Wuxi Maternal and Child Health Hospital, the Affiliated Hospital of Nanjing Medical University, Wuxi, Jiangsu, China.

出版信息

PLoS One. 2014 Jan 29;9(1):e87343. doi: 10.1371/journal.pone.0087343. eCollection 2014.

DOI:10.1371/journal.pone.0087343
PMID:24489901
原文链接:https://pmc.ncbi.nlm.nih.gov/articles/PMC3906154/
Abstract

BACKGROUND

Intrahepatic cholestasis of pregnancy (ICP) is the most prevalent pregnancy specific liver disease. However, the pathogenesis and etiology of ICP is poorly understood.

AIM

To assess the expression of peroxisome proliferator-activated receptorγ (PPARγ) and nuclear factor kappa B (NF-κB) in placenta and HTR-8/SVneo cell, and evaluate the serum levels of cytokines, bile acids, hepatic function and lipids in control and ICP patients and the fetal outcome, in order to explore the role of PPARγ/NF-κB signaling pathway in the possible mechanism of ICP.

METHODS

Clinical data of the pregnant women were collected and serum levels of cytokines, bile acids, hepatic function and lipids were measured. Expressions of PPARγ and NF-κB in placenta and HTR-8/SVneo cell were determined. The new-born information was collected to demonstrate the relationship between PPARγ/NF-κB signaling pathway and ICP.

RESULTS

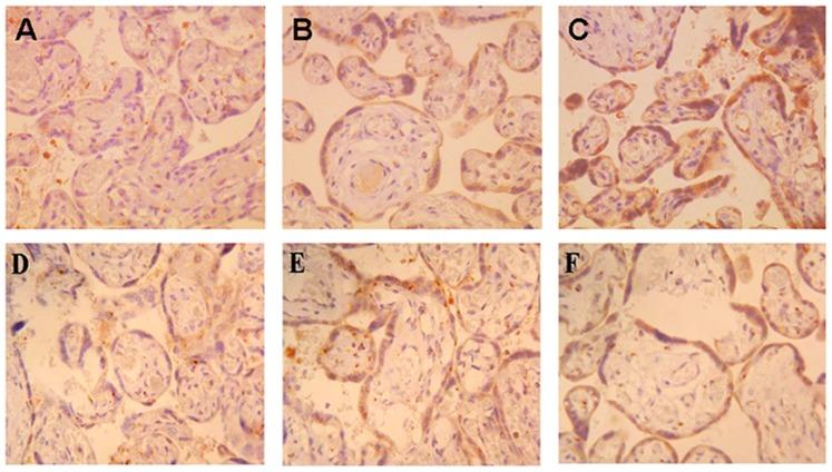
The serum levels of bile acids, hepatic function, triglycerides (TG), total cholesterol (TC), IL-6, IL-12 and TNF-α in ICP group were significantly increased (P<0.01), and serum level of IL-4 was significantly decreased (P<0.01). PPARγ and NF-κB staining were found in the membrane and cytoplasm of placental trophoblast cell. The expression of PPARγ and NF-κB were significantly higher in ICP group and taurocholate acid (TCA) treated HTR-8/SVneo cell (P<0.01). The new-born information in severe ICP group were significantly different as compared to that in control group (P<0.05), and part of information in mild ICP group were also difference to that in control group (P<0.05).

CONCLUSIONS

The higher expressions of PPARγ and NF-κB in ICP placenta and TCA treated HTR-8/SVneo cell, together with the abnormal serum levels of cytokines, might induced by the imbalance of inflammatory and immune reaction, and then disturb placental bile acid and serum lipids transportation, finally result in fatal cholestasis which probably be one of the mechanism of ICP.

摘要

背景

妊娠肝内胆汁淤积症(ICP)是最常见的妊娠特异性肝脏疾病。然而,ICP 的发病机制和病因尚不清楚。

目的

评估过氧化物酶体增殖物激活受体γ(PPARγ)和核因子κB(NF-κB)在胎盘和 HTR-8/SVneo 细胞中的表达,评估对照组和 ICP 患者的血清细胞因子、胆汁酸、肝功能和血脂水平以及胎儿结局,以探讨 PPARγ/NF-κB 信号通路在 ICP 可能机制中的作用。

方法

收集孕妇的临床资料,检测血清细胞因子、胆汁酸、肝功能和血脂水平,测定胎盘和 HTR-8/SVneo 细胞中 PPARγ 和 NF-κB 的表达,收集新生儿信息,以证明 PPARγ/NF-κB 信号通路与 ICP 的关系。

结果

ICP 组血清胆汁酸、肝功能、甘油三酯(TG)、总胆固醇(TC)、白细胞介素-6(IL-6)、白细胞介素-12(IL-12)和肿瘤坏死因子-α(TNF-α)水平明显升高(P<0.01),白细胞介素-4(IL-4)水平明显降低(P<0.01)。胎盘滋养层细胞的膜和细胞质中均发现 PPARγ 和 NF-κB 染色。ICP 组和牛磺胆酸(TCA)处理的 HTR-8/SVneo 细胞中 PPARγ 和 NF-κB 的表达明显升高(P<0.01)。重度 ICP 组新生儿信息与对照组有明显差异(P<0.05),轻度 ICP 组部分信息与对照组也有差异(P<0.05)。

结论

ICP 胎盘和 TCA 处理的 HTR-8/SVneo 细胞中 PPARγ 和 NF-κB 的高表达,以及细胞因子、胆汁酸和血清脂质代谢的失衡,可能是炎症和免疫反应失衡引起的,从而干扰胎盘胆汁酸和血清脂质的转运,最终导致致命性胆汁淤积,这可能是 ICP 的机制之一。

https://cdn.ncbi.nlm.nih.gov/pmc/blobs/f959/3906154/757e39a56f1b/pone.0087343.g005.jpg
https://cdn.ncbi.nlm.nih.gov/pmc/blobs/f959/3906154/d20e77aed4f1/pone.0087343.g001.jpg
https://cdn.ncbi.nlm.nih.gov/pmc/blobs/f959/3906154/6ffa13bc98a9/pone.0087343.g002.jpg
https://cdn.ncbi.nlm.nih.gov/pmc/blobs/f959/3906154/a5fa2b0b55d1/pone.0087343.g003.jpg
https://cdn.ncbi.nlm.nih.gov/pmc/blobs/f959/3906154/a2aaa74b629f/pone.0087343.g004.jpg
https://cdn.ncbi.nlm.nih.gov/pmc/blobs/f959/3906154/757e39a56f1b/pone.0087343.g005.jpg
https://cdn.ncbi.nlm.nih.gov/pmc/blobs/f959/3906154/d20e77aed4f1/pone.0087343.g001.jpg
https://cdn.ncbi.nlm.nih.gov/pmc/blobs/f959/3906154/6ffa13bc98a9/pone.0087343.g002.jpg
https://cdn.ncbi.nlm.nih.gov/pmc/blobs/f959/3906154/a5fa2b0b55d1/pone.0087343.g003.jpg
https://cdn.ncbi.nlm.nih.gov/pmc/blobs/f959/3906154/a2aaa74b629f/pone.0087343.g004.jpg
https://cdn.ncbi.nlm.nih.gov/pmc/blobs/f959/3906154/757e39a56f1b/pone.0087343.g005.jpg

相似文献

1
Roles of PPARγ/NF-κB signaling pathway in the pathogenesis of intrahepatic cholestasis of pregnancy.PPARγ/NF-κB 信号通路在妊娠肝内胆汁淤积症发病机制中的作用。
PLoS One. 2014 Jan 29;9(1):e87343. doi: 10.1371/journal.pone.0087343. eCollection 2014.
2
PPARγ provides anti-inflammatory and protective effects in intrahepatic cholestasis of pregnancy through NF-κB pathway.过氧化物酶体增殖物激活受体 γ 通过 NF-κB 通路在妊娠肝内胆汁淤积症中发挥抗炎和保护作用。
Biochem Biophys Res Commun. 2018 Oct 12;504(4):834-842. doi: 10.1016/j.bbrc.2018.09.035. Epub 2018 Sep 12.
3
Bile acids evoke placental inflammation by activating Gpbar1/NF-κB pathway in intrahepatic cholestasis of pregnancy.胆汁酸通过激活妊娠肝内胆汁淤积症中的Gpbar1/NF-κB途径引发胎盘炎症。
J Mol Cell Biol. 2016 Dec;8(6):530-541. doi: 10.1093/jmcb/mjw025. Epub 2016 Jul 8.
4
High concentraction of taurocholic acid induced apoptosis in HTR-8/SVneo cells via overexpression of ERp29 and activation of p38.高浓度牛磺胆酸通过上调内质网蛋白29(ERp29)的表达和激活p38诱导HTR-8/SVneo细胞凋亡。
Placenta. 2014 Jul;35(7):496-500. doi: 10.1016/j.placenta.2014.03.023. Epub 2014 Apr 14.
5
Effect of Histone Deacetylase HDAC3 on Cytokines IL-18, IL-12 and TNF-α in Patients with Intrahepatic Cholestasis of Pregnancy.组蛋白去乙酰化酶HDAC3对妊娠期肝内胆汁淤积症患者细胞因子IL-18、IL-12和TNF-α的影响
Cell Physiol Biochem. 2017;42(4):1294-1302. doi: 10.1159/000478958. Epub 2017 Jul 11.
6
Lithocholic acid activates mTOR signaling inducing endoplasmic reticulum stress in placenta during intrahepatic cholestasis of pregnancy.胆酸激活 mTOR 信号诱导妊娠期肝内胆汁淤积症胎盘内质网应激。
Life Sci. 2019 Feb 1;218:300-307. doi: 10.1016/j.lfs.2018.12.050. Epub 2018 Dec 31.
7
[Expression of suppressor of cytokine signaling 3 and its significance in human placenta with pregnant intrahepatic cholestasis].细胞因子信号转导抑制因子3在妊娠肝内胆汁淤积症患者胎盘组织中的表达及意义
Zhonghua Fu Chan Ke Za Zhi. 2010 Jun;45(6):406-10.
8
The role of ERp29/FOS/EMT pathway in excessive apoptosis of placental trophoblast cells in intrahepatic cholestasis of pregnancy.内质网蛋白 29/FOS/上皮间质转化通路在妊娠肝内胆汁淤积症中胎盘滋养层细胞过度凋亡中的作用。
Placenta. 2024 Mar 25;148:20-30. doi: 10.1016/j.placenta.2024.01.021. Epub 2024 Feb 8.
9
Rosiglitazone blocks first trimester in-vitro placental injury caused by NF-κB-mediated inflammation.罗格列酮阻断 NF-κB 介导的炎症引起的第一孕期体外胎盘损伤。
Sci Rep. 2019 Feb 14;9(1):2018. doi: 10.1038/s41598-018-38336-2.
10
Resveratrol regulates the silent information regulator 1-nuclear factor-κB signaling pathway in intrahepatic cholestasis of pregnancy.白藜芦醇调节妊娠肝内胆汁淤积症中的沉默信息调节因子1-核因子-κB信号通路。
Hepatol Res. 2018 Nov;48(12):1031-1044. doi: 10.1111/hepr.13198. Epub 2018 Aug 8.

引用本文的文献

1
Dysregulated Hepatic Expression of Glucose Transporter Type-1, Toll-Like Receptor 4, and Nuclear Factor Kappa B in Estrogen-Induced Cholestasis Pregnant Rats with Placental Ischemia-Reperfusion Stress.胎盘缺血再灌注应激下雌激素诱导的胆汁淤积妊娠大鼠中葡萄糖转运蛋白1、Toll样受体4和核因子κB的肝脏表达失调
Matern Fetal Med. 2020 Nov 17;4(1):17-23. doi: 10.1097/FM9.0000000000000079. eCollection 2022 Jan.
2
Interplay of NF-κB and PPAR-γ transcription factors in patients with juvenile systemic lupus erythematosus.青少年系统性红斑狼疮患者中核因子-κB与过氧化物酶体增殖物激活受体-γ转录因子的相互作用
Lupus Sci Med. 2025 Jan 8;12(1):e001263. doi: 10.1136/lupus-2024-001263.
3

本文引用的文献

1
Lithocholic acid-induced placental tumor necrosis factor-α upregulation and syncytiotrophoblast cell apoptosis in intrahepatic cholestasis of pregnancy.胆酸诱导的胎盘肿瘤坏死因子-α上调和妊娠肝内胆汁淤积症中合体滋养层细胞凋亡。
Hepatol Res. 2014 May;44(5):532-41. doi: 10.1111/hepr.12150. Epub 2013 May 31.
2
Nuclear control of the inflammatory response in mammals by peroxisome proliferator-activated receptors.过氧化物酶体增殖物激活受体对哺乳动物炎症反应的核控制。
PPAR Res. 2013;2013:613864. doi: 10.1155/2013/613864. Epub 2013 Mar 7.
3
Primary bile acids as potential biomarkers for the clinical grading of intrahepatic cholestasis of pregnancy.
Comprehensive Analysis of scRNA-Seq and Bulk RNA-Seq Reveals Transcriptional Signatures of Macrophages in Intrahepatic Cholestasis of Pregnancy.
单细胞RNA测序与批量RNA测序的综合分析揭示妊娠肝内胆汁淤积症中巨噬细胞的转录特征
J Inflamm Res. 2024 Sep 30;17:6863-6874. doi: 10.2147/JIR.S471374. eCollection 2024.
4
Hepatic Nuclear Receptors in Cholestasis-to-Cholangiocarcinoma Pathology.胆汁淤积至胆管癌病理过程中的肝脏核受体
Am J Pathol. 2025 Mar;195(3):409-421. doi: 10.1016/j.ajpath.2024.07.023. Epub 2024 Sep 24.
5
Unlocking new avenues for neuropsychiatric disease therapy: the emerging potential of Peroxisome proliferator-activated receptors as promising therapeutic targets.解锁神经精神疾病治疗的新途径:过氧化物酶体增殖物激活受体作为有前途的治疗靶点的新兴潜力。
Psychopharmacology (Berl). 2024 Aug;241(8):1491-1516. doi: 10.1007/s00213-024-06617-6. Epub 2024 May 27.
6
Impact of NF-κB Signaling and Sirtuin-1 Protein for Targeted Inflammatory Intervention.NF-κB信号传导和沉默调节蛋白-1对靶向炎症干预的影响
Curr Pharm Biotechnol. 2025;26(8):1207-1220. doi: 10.2174/0113892010301469240409082212.
7
FGF21 Inhibits Hypoxia/Reoxygenation-induced Renal Tubular Epithelial Cell Injury by Regulating the PPARγ/NF-κB Signaling Pathway.成纤维细胞生长因子 21 通过调控 PPARγ/NF-κB 信号通路抑制低氧/复氧诱导的肾小管上皮细胞损伤。
Cell Biochem Biophys. 2024 Jun;82(2):909-918. doi: 10.1007/s12013-024-01242-8. Epub 2024 Mar 8.
8
Serum placental growth factor, total cholesterol, and triglycerides for prediction of intrahepatic cholestasis of pregnancy.血清胎盘生长因子、总胆固醇和甘油三酯预测妊娠肝内胆汁淤积症。
Medicine (Baltimore). 2023 Dec 15;102(50):e36178. doi: 10.1097/MD.0000000000036178.
9
Cardiovascular complications are resolved by tuna protein hydrolysate supplementation in rats fed with a high-fat diet.金枪鱼蛋白水解物可缓解高脂饮食大鼠的心血管并发症。
Sci Rep. 2023 Jul 28;13(1):12280. doi: 10.1038/s41598-023-39538-z.
10
Ginsenosides Restore Lipid and Redox Homeostasis in Mice with Intrahepatic Cholestasis through SIRT1/AMPK Pathways.人参皂苷通过 SIRT1/AMPK 通路恢复肝内胆汁淤积小鼠的脂质和氧化还原稳态。
Nutrients. 2022 Sep 22;14(19):3938. doi: 10.3390/nu14193938.
原发性胆汁酸作为妊娠期肝内胆汁淤积症临床分级的潜在生物标志物。
Int J Gynaecol Obstet. 2013 Jul;122(1):5-8. doi: 10.1016/j.ijgo.2013.02.015. Epub 2013 Apr 4.
4
The Role of PPARs in Placental Immunology: A Systematic Review of the Literature.过氧化物酶体增殖物激活受体(PPARs)在胎盘免疫学中的作用:文献系统评价。
PPAR Res. 2013;2013:970276. doi: 10.1155/2013/970276. Epub 2013 Mar 10.
5
Homeobox genes and down-stream transcription factor PPARγ in normal and pathological human placental development.同源盒基因和下游转录因子 PPARγ 在正常和病理性人胎盘发育中的作用。
Placenta. 2013 Apr;34(4):299-309. doi: 10.1016/j.placenta.2013.01.005. Epub 2013 Feb 26.
6
Expression of corticotrophin-releasing hormone and its receptor in patients with intrahepatic cholestasis of pregnancy.促肾上腺皮质激素释放激素及其受体在妊娠肝内胆汁淤积症患者中的表达。
Placenta. 2013 May;34(5):401-6. doi: 10.1016/j.placenta.2013.02.006. Epub 2013 Mar 9.
7
A clinical approach to intrahepatic cholestasis of pregnancy.妊娠期肝内胆汁淤积症的临床处理方法。
Am J Perinatol. 2014 Jan;31(1):1-8. doi: 10.1055/s-0033-1333673. Epub 2013 Jan 28.
8
Stereological assessment of placental morphology in intrahepatic cholestasis of pregnancy.肝内胆汁淤积症妊娠胎盘形态的体视学评估。
Placenta. 2012 Nov;33(11):914-8. doi: 10.1016/j.placenta.2012.08.005. Epub 2012 Sep 25.
9
Placental PPARγ regulates spatiotemporally diverse genes and a unique metabolic network.胎盘 PPARγ 调控时空多样的基因和独特的代谢网络。
Dev Biol. 2012 Dec 1;372(1):143-55. doi: 10.1016/j.ydbio.2012.08.021. Epub 2012 Aug 29.
10
Intrahepatic cholestasis of pregnancy levels of sulfated progesterone metabolites inhibit farnesoid X receptor resulting in a cholestatic phenotype.妊娠肝内胆汁淤积症中硫酸孕烯醇酮代谢物的水平抑制法尼醇 X 受体,导致胆汁淤积表型。
Hepatology. 2013 Feb;57(2):716-26. doi: 10.1002/hep.26055. Epub 2013 Jan 8.